Найти в Дзене

Акрил-титан "Все-на-4", на мультиюнитах, нижняя челюсть.

В этой статье рассмотрим относительно классическое решение для восстановления полной функции челюсти на четырёх имплантатах
(вариантов много), с помощью титан-акрилового протеза с гарнитурными зубами (уже изготовленными заранее фабрично из композита/акрила/полиметилметакрилата, в данном случае фирмы Tribos).
Бонусы данного варианта протезирования:
▪ 4 имплантата поставить куда бюджетнее 6-ти или 8-ми. И этого достаточно для того чтобы изготовить протез на всю челюсть.(обязательно надо смотреть на состояние кости, и индивидуальные особенности.
▪ Весь протез единый, с помощью титановой балки можно добиться равномерного распределения нагрузки на импланататы.
▪ Акрил-титановый протез бюджетнее в производстве. Начинаем путь новой работы:
Этап 1.
Изготовление индивидуальной ложки и прикручиваемого прикусного шаблона.
С первоначальных слепков, как обычно, изготавливается индивидуальная ложка и прикручиваемый прикусной шаблон, в данном случае имеем прототип/временный протез,

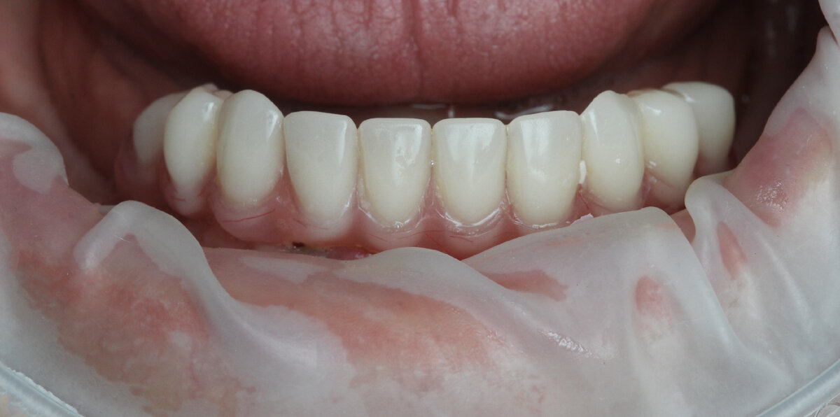
Готовый к фиксации в полости рта акрил-титановый протез нижней челюсти.
Готовый к фиксации в полости рта акрил-титановый протез нижней челюсти.

В этой статье рассмотрим относительно классическое решение для восстановления полной функции челюсти на четырёх имплантатах
(вариантов много), с помощью титан-акрилового протеза с гарнитурными зубами (уже изготовленными заранее фабрично из композита/акрила/полиметилметакрилата, в данном случае фирмы Tribos).

Бонусы данного варианта протезирования:

▪ 4 имплантата поставить куда бюджетнее 6-ти или 8-ми. И этого достаточно для того чтобы изготовить протез на всю челюсть.(обязательно надо смотреть на состояние кости, и индивидуальные особенности.

▪ Весь протез единый, с помощью
титановой балки можно добиться равномерного распределения нагрузки на импланататы.

▪ Акрил-титановый протез бюджетнее в производстве.

Начинаем путь новой работы:

Этап 1.

Изготовление индивидуальной ложки и прикручиваемого прикусного шаблона.

С первоначальных слепков, как обычно, изготавливается индивидуальная ложка и прикручиваемый прикусной шаблон, в данном случае имеем прототип/временный протез, на который можем ориентироваться (фото ниже):
Ложка с трансфер-чеками отправляется на снятие нового, рабочего!, слепка.

Снятые Доктором новые данные:

Этап. 2

Диагностическая постановка.
После отливки модели по индивидуальной ложке была подготовлена Диагностическая постановка, для примерки в полости рта (восковой прототип будущей работы с гарнитурными зубами).

Диагностическая постановка отправляется на примерку.

После успешной примерки диагностической постановки:

Этап 3.

Изготовление готового протеза.
По подтвержденной постановке - изготовлена титановая балка, установлены зубы и произведена варка протеза:

Протез отправляется в Стоматологическую клинику на окончательную фиксацию.

На этом работа пока завершена, далее, возможно, будет протезирование верхней челюсти пациента.

Небольшое видео перед фиксацией работы.

Всем спасибо за внимание!

На канале дзен будут разные клинические ситуации, их решение, в этапах или небольших постах/видео.

Если было интересно - будем рады обратной реакции.😊

Зуботехническая лаборатория "ФАБЕРДЕНТ" Москва