Добавить в корзинуПозвонить
Найти в Дзене

Абсцесс головного мозга

Абсцесс головного мозга представляет собой ограниченное накопление гноя внутри черепной полости. Существуют три вида абсцессов: внутримозговые, субдуральные и эпидуральные. Симптомы абсцесса головного мозга зависят от его локализации и размера. Они не являются специфичными и могут быть характерными для других объемных образований. Для диагностики абсцесса головного мозга используются КТ или МРТ головного мозга. Маленькие абсцессы могут поддаваться консервативному лечению. Абсцессы, расположенные рядом с желудочками головного мозга или вызывающие резкий рост внутричерепного давления, требуют хирургического вмешательства или стереотаксической пункции, если операция невозможна. Подробнее: https://drkotlyar.ru/diseases/brain-abscess Причины абсцесса мозга Среди микроорганизмов, вызывающих гематогенные абсцессы головного мозга, наиболее распространены стрептококки, часто в сочетании с бактериотидами (Bacteroides spp.). Enterobacteriaceae (включая Proteus vulgaris) характерны для гематогенны
Оглавление
Источник: https://drkotlyar.ru
Источник: https://drkotlyar.ru

Абсцесс головного мозга представляет собой ограниченное накопление гноя внутри черепной полости. Существуют три вида абсцессов: внутримозговые, субдуральные и эпидуральные. Симптомы абсцесса головного мозга зависят от его локализации и размера. Они не являются специфичными и могут быть характерными для других объемных образований. Для диагностики абсцесса головного мозга используются КТ или МРТ головного мозга. Маленькие абсцессы могут поддаваться консервативному лечению. Абсцессы, расположенные рядом с желудочками головного мозга или вызывающие резкий рост внутричерепного давления, требуют хирургического вмешательства или стереотаксической пункции, если операция невозможна.

Подробнее: https://drkotlyar.ru/diseases/brain-abscess

Причины абсцесса мозга

Среди микроорганизмов, вызывающих гематогенные абсцессы головного мозга, наиболее распространены стрептококки, часто в сочетании с бактериотидами (Bacteroides spp.). Enterobacteriaceae (включая Proteus vulgaris) характерны для гематогенных и отогенных абсцессов. При открытых черепно-мозговых травмах, приводящих к абсцессу мозга, преобладают стафилококки (St. aureus), реже Enterobacteriaceae.

У пациентов с иммунодефицитными состояниями (после трансплантации органов и тканей, ВИЧ-инфекция) часто обнаруживается Aspergillus fumigatus в культуре содержимого абсцесса головного мозга. Однако в 25-30% случаев не удается идентифицировать возбудителя инфекции, так как культура содержимого абсцесса оказывается стерильной.

Следующие патологические состояния могут спровоцировать развитие этого заболевания:

  • Воспалительные процессы в легких часто вызывают образование абсцессов головного мозга. Чаще всего это происходит из-за бронхоэктатической болезни, эмпиемы плевры, хронической пневмонии или абсцесса легкого. Бактериальный эмбол может образоваться из инфицированного тромба и переместиться по кровеносным сосудам мозга, где затем фиксируется в мелких сосудах, таких как прекапилляры, капилляры или артериолы. Хронический или острый бактериальный эндокардит, инфекции ЖКТ и сепсис также могут играть незначительную роль в развитии абсцессов.
  • Абсцесс мозга может развиться в результате прямого проникновения инфекции в черепную полость при открытой черепно-мозговой травме. Обычно в мирное время такие случаи составляют 15-20% всех абсцессов мозга. Однако во время военных действий, таких как минно-взрывные или огнестрельные ранения, их доля значительно увеличивается.
  • Патологии ЛОР-органов. При гнойно-воспалительных процессах в придаточных пазухах носа (синуситах), среднем и внутреннем ухе существуют два способа распространения инфекции: обратное движение через синусы твердой мозговой оболочки и мозговые вены; и прямое проникновение инфекции через твердую оболочку мозга. Во втором случае, воспалительный очаг сначала формируется в мозговых оболочках, а затем распространяется на прилежащие участки мозга.
  • Осложнения после операций. Абсцессы мозга, которые возникают в результате инфекционных осложнений внутри черепной полости после нейрохирургических вмешательств (вентрикулиты, менингиты), обычно наблюдаются у серьезно больных, ослабленных пациентов.
  • Другие заболевания. Хронический (или острый) бактериальный эндокардит, инфекции ЖКТ и сепсис могут играть незначительную роль в развитии гематогенных абсцессов.

Патогенез абсцесса мозга

Абсцесс мозга проходит через несколько этапов в своем развитии.

  • В первые 1-3 суток возникает ограниченное воспаление мозговой ткани, иначе говоря - ранний церебрит или энцефалит. На этой стадии воспаление может быть обратимым, и оно может саморазрешиться или же поддается антибактериальному лечению.
  • В течение 4-9 суток, при недостаточной защите организма или неправильном лечении, воспалительный процесс продолжается, и в результате этого образуется полость, заполненная гноем, которая может увеличиваться в размерах.
  • На 10-13 сутках формируется защитная капсула из соединительной ткани вокруг гнойного очага, которая предотвращает распространение гнойного процесса.
  • В течение третьей недели капсула уплотняется, и вокруг нее образуется зона глиоза. Дальнейшее развитие зависит от вирулентности микроорганизмов, вызвавшей абсцесс, реакции организма и эффективности лечебных и диагностических мероприятий. Возможно разрешение абсцесса мозга, но чаще происходит увеличение его размеров или образование новых очагов воспаления по периферии капсулы.

Симптомы абсцесса мозга

На сегодняшний день не обнаружено симптомов, характерных именно для абсцесса мозга. Клиническая картина абсцессов головного мозга похожа на симптомы объемного образования, клинические проявления могут варьироваться от головной боли до серьезных общемозговых симптомов, сопровождающихся потерей сознания и явными признаками поражения головного мозга. В некоторых случаях первым проявлением заболевания может быть эпилептический приступ. Возможны также симптомы менингита (при субдуральных процессах). Абсцессы головного мозга в эпидуральной области часто связаны с остеомиелитом черепа. Наблюдается постепенное усиление симптоматики.

Диагностика абсцесса мозга

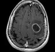
Для определения абсцесса головного мозга большую важность имеет тщательное изучение анамнеза, наличие гнойной инфекции и резкое начало инфекционного процесса. Наличие воспалительного процесса, сопровождающегося появлением и усилением неврологических симптомов, является основанием для проведения дополнительного нейровизуализационного исследования. Точность диагностирования абсцесса головного мозга с использованием КТ зависит от стадии его формирования. На ранних стадиях заболевания диагноз затруднителен. В начальной фазе энцефалита (1-3 сутки) КТ обнаруживает зону сниженной плотности, имеющую неправильную форму. Введенное контрастное вещество накапливается неравномерно, в основном в периферических частях очага, реже в его центре.

На поздних стадиях энцефалита очаг приобретает округлые и ровные контуры. Контрастное вещество равномерно распределяется по периферии очага, не меняя плотности его центральной зоны. Однако при повторной КТ через 30-40 минут наблюдается диффузия контраста в центр капсулы, а также его присутствие в периферической зоне, что не свойственно злокачественным опухолям. Абсцесс мозга, заключенный в капсулу, выглядит на КТ как округлое объемное образование с четкими и ровными контурами повышенной плотности (фиброзная капсула). В центре капсулы наблюдается зона сниженной плотности (гной), а по периферии видна зона отека. Введенное контрастное вещество скапливается в виде кольца вдоль контура фиброзной капсулы, с небольшой примыкающей зоной глиоза.

Отсутствие определения контрастного вещества на повторной компьютерной томографии через 30-40 минут должно быть учтено при анализе результатов исследования. Следует помнить, что противовоспалительные препараты, такие как глюкокортикостероиды и салицилаты, могут существенно влиять на накопление контраста в очаге.

Магнитно-резонансная томография головного мозга является более точным методом диагностики. На ранних стадиях формирования мозгового абсцесса (1-9 суток) энцефалитический очаг выглядит следующим образом: на Т1-взвешенных изображениях - снижение сигнала, на Т2-взвешенных изображениях - повышение сигнала. На поздних стадиях (капсулированный абсцесс) на Т1-взвешенных изображениях абсцесс представляет собой зону сниженного сигнала в центре и на периферии (в зоне отека), а контур капсулы имеет повышенный сигнал. На Т2-взвешенных изображениях центр абсцесса может быть изо- или гипоинтенсивным, а периферическая зона (зона отека) - гиперинтенсивной. Контур капсулы четко виден.

При подозрении на абсцесс головного мозга важно провести дифференциальную диагностику с глиальными опухолями и метастатическими опухолями полушарий мозга. Если существуют сомнения в диагнозе, рекомендуется провести МЗ-спектроскопию, которая позволит определить различное содержание аминокислот и лактата в опухолях и абсцессах головного мозга. Другие методы диагностики и дифференциальной диагностики абсцесса головного мозга являются малоинформативными. Увеличение скорости оседания эритроцитов, повышенное содержание С-реактивного белка в крови, наличие лейкоцитоза и лихорадки - это характерные симптомы практически любых воспалительных процессов, включая внутричерепные инфекции. Бактериологические анализы крови при абсцессах головного мозга в 80-90% случаев не выявляют патогенов.

Лечение абсцесса мозга

В случае энцефалитической стадии абсцесса (до двух недель) и небольшого абсцесса головного мозга (диаметром до трех сантиметров), рекомендуется использовать консервативное лечение, основанное на эмпирической антибактериальной терапии. В некоторых ситуациях может потребоваться стереотаксическая биопсия для окончательного подтверждения диагноза и выделения возбудителя.

Хирургическое вмешательство является обязательным в случаях, когда абсцессы вызывают дислокацию мозга и повышение внутричерепного давления, а также когда они расположены в области желудочковой системы (поскольку попадание гноя в эту систему может привести к смертельным исходам). Травматические абсцессы головного мозга, которые находятся вблизи инородного тела, также требуют хирургического лечения, поскольку консервативное лечение в данном случае неэффективно. Грибковые абсцессы, несмотря на плохой прогноз, также требуют обязательного хирургического вмешательства.

В случае, когда абсцессы мозга находятся в жизненно важных и глубинных структурах, таких как зрительный бугор, ствол мозга и подкорковые ядра, хирургическое лечение может быть противопоказано. В таких ситуациях возможно использование стереотаксического метода лечения. Он включает в себя пункцию абсцесса мозга, его опорожнение, промывание полости и введение антибактериальных препаратов. Промывание полости может быть проведено однократно или многократно с использованием катетера, установленного на несколько суток.

Тяжелые соматические заболевания не являются абсолютным противопоказанием для хирургического лечения, поскольку стереотаксическая операция может быть выполнена под местной анестезией. Единственным абсолютным противопоказанием для операции может быть крайне тяжелое состояние пациента, например, терминальная кома, чаще всего в таких случаях практически любое хирургическое вмешательство противопоказано.

Медикаментозное лечение

Для достижения эффективной антибактериальной терапии при отсутствии возможности выделения возбудителя, основной целью является охватывание широкого спектра возбудителей.

  • В лечении абсцесса головного мозга (без черепно-мозговой травмы или нейрохирургического вмешательства в анамнезе) рекомендуется следующий терапевтический алгоритм: использование ванкомицина, цефалоспоринов третьего поколения (цефотаксим, цефтриаксон, цефиксим) и метронидазола. В случае посттравматического абсцесса головного мозга метронидазол может быть заменен на рифампицин.
  • У пациентов с иммунодефицитными состояниями (за исключением ВИЧ) наиболее часто возбудителем абсцесса головного мозга является Cryptococcus neoformans, реже Сandida spp или Aspergillius spp. Поэтому в таких случаях рекомендуется применение амфотерицина В или липосомального амфотерицина В. После исчезновения абсцесса (подтвержденного нейровизуализационными исследованиями) рекомендуется применение флуконазола в течение 10 недель, а затем уменьшение дозы вдвое и продолжение его применения в качестве поддерживающей терапии.
  • У пациентов с ВИЧ, у которых образуется абсцесс головного мозга, наиболее часто возбудителем является Toxoplasma gondii. Поэтому в начальном лечении пациентов рекомендуется использовать сульфадиазин с пириметамином, чтобы учитывать вероятность этого возбудителя.

После определения возбудителя из результатов посева, необходимо изменить лечение, учитывая чувствительность к антибиотикам. Если посев является негативным, следует продолжить начальную эмпирическую антибактериальную терапию. Интенсивное антибактериальное лечение должно продолжаться не менее 6 недель, после чего рекомендуется переход на пероральные антибиотики и продолжить лечение еще 6 недель.

Назначение глюкокортикоидов рекомендуется только в случае адекватной антибактериальной терапии, так как они способны уменьшить воспаление и вызвать обратное развитие капсулы абсцесса головного мозга только при положительном прогнозе. В других случаях их применение может привести к распространению воспалительного процесса за пределы первичного очага.

Хирургическое лечение

Простое или приточно-отточное дренирование являются основными методами хирургического лечения внутримозговых абсцессов. Суть этих методов заключается в установке катетера в полость абсцесса, через который происходит удаление гноя и введение антибактериальных препаратов. Дополнительно, можно установить второй катетер меньшего диаметра на несколько дней для проведения промывания раствором (обычно используется 0,9% раствор хлорида натрия). Дренирование абсцесса необходимо сопровождать антибактериальной терапией, начиная с эмпирического назначения и затем, учитывая чувствительность выделенного патогена к антибиотикам.

Альтернативный подход к хирургическому лечению абсцесса головного мозга - стереотаксическая аспирация содержимого без установки дренажа. Этот метод имеет ряд преимуществ, таких как меньшие требования к квалификации медицинского персонала и сниженный риск вторичной инфекции. Однако в большинстве случаев требуется повторная аспирация.

В случае наличия нескольких абсцессов головного мозга, первоочередной задачей является дренирование самого опасного очага, который может вызвать серьезные осложнения, такие как прорыв гноя в желудочковую систему или дислокация мозга. Также важным фактором является клиническая картина. В случае эмпиемы или субдурального абсцесса головного мозга, применяется дренирование без использования приточно-отточной системы.

Источник: https://drkotlyar.ru