Добавить в корзинуПозвонить
Найти в Дзене

Случай из практики: 7 лет спустя

Глебу на момент обращения в Дентал Фэнтези - 16 лет. Травму зуба он получил 7 лет назад и все это время проходил со сломанным зубом, хотя и наблюдался у стоматолога. Моя коллега, стоматолог-терапевт Мария Логвиненко приступила к решению проблемы и за 1 визит выполнила эстетичную реставрацию зуба композитным материалом. Самое сложное — выполнить реставрацию таким образом, чтобы она не отличалась от соседних зубов ни по форме, ни по оттенку. И даже восстановить естественный режущий край, как у рядом стоящих зубов. Комфортного вам лечения! И ждем вас в Дентал Фэнтези! dentalfantasy.ru Запись на прием: +7 495 106-81-81. Наши клиники: · Молодогвардейская ул., 2 к. 1 · Проспект Мира, 36 стр. 1 · Ленинградское ш., 92 а · ул. Гарибальди, 15 · ул. Ефремова, 10, стр. 1, к. 4/5

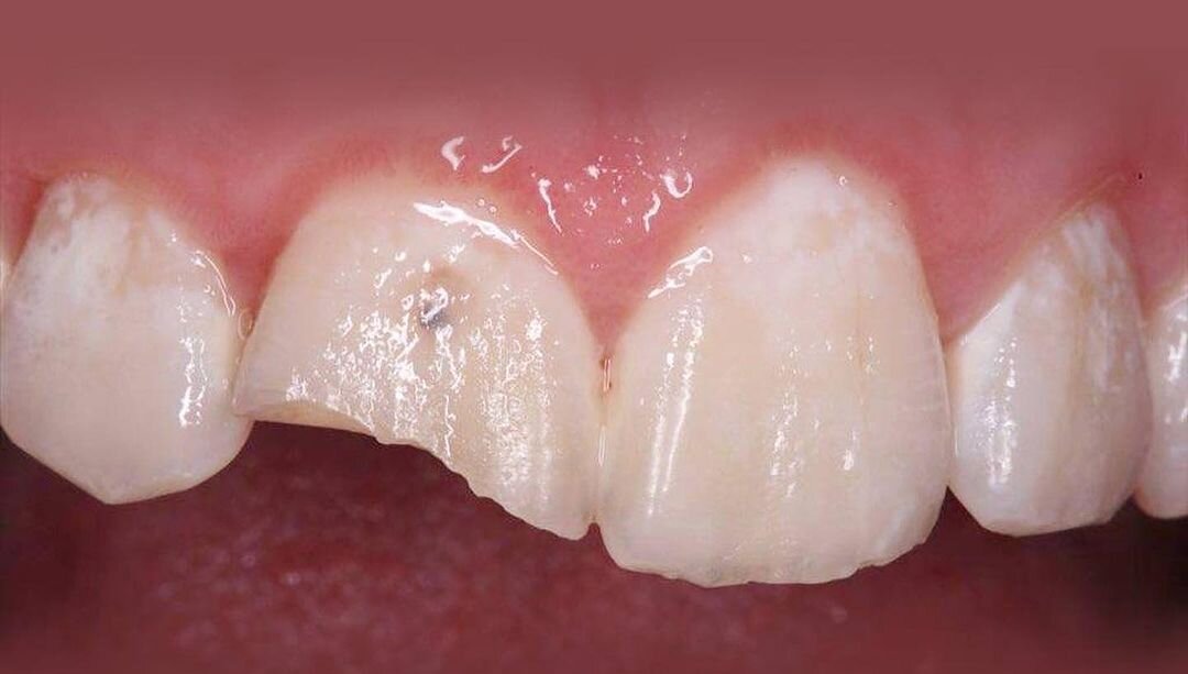
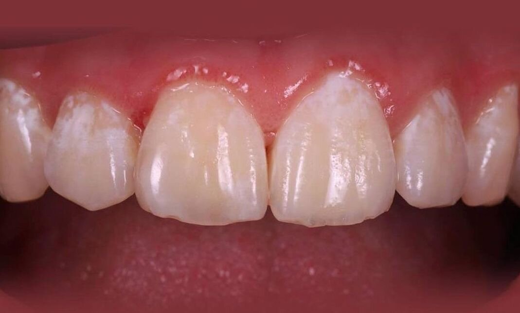
Глебу на момент обращения в Дентал Фэнтези - 16 лет. Травму зуба он получил 7 лет назад и все это время проходил со сломанным зубом, хотя и наблюдался у стоматолога.

Моя коллега, стоматолог-терапевт Мария Логвиненко приступила к решению проблемы и за 1 визит выполнила эстетичную реставрацию зуба композитным материалом.

-2

Самое сложное — выполнить реставрацию таким образом, чтобы она не отличалась от соседних зубов ни по форме, ни по оттенку. И даже восстановить естественный режущий край, как у рядом стоящих зубов.

-3
-4

Комфортного вам лечения! И ждем вас в Дентал Фэнтези!

dentalfantasy.ru

Запись на прием: +7 495 106-81-81.

Наши клиники:

· Молодогвардейская ул., 2 к. 1

· Проспект Мира, 36 стр. 1

· Ленинградское ш., 92 а

· ул. Гарибальди, 15

· ул. Ефремова, 10, стр. 1, к. 4/5