Добавить в корзинуПозвонить
Найти в Дзене
Ординарные заметки

Себацеома

Себацеома – редкая доброкачественная придатковая опухоль с сальной дифференцировкой. Представлена округлыми дольками преимущественно из незрелых базалоидных клеток в сочетании с небольшим количеством зрелых себацитов (которых менее 50%) Терминология Эпидемилогия Этиология и патогенез Локализация Клинические проявления Лечение При установленном диагнозе лечение не требуется. Если на исследование была взята только часть образования, рекомендуется полное удаление. Макро Себацеома – это солитарный, желто-коричневый или телесного цвета узел или папула. Изъязвления для нее не характерны, но если таковое присутствует следует подозревать злокачественную опухоль. Размер обычно до 1 см, но может достигать и 5 см. Редко себацеомы  могут развиваться из предсуществующих невусов сальных желез. Себациомы ассоциированные с синдромом Мюир-Торре могут быть мультифокальными. Микро Себацеома – это узел в дерме с различной степенью вовлечения эпидермиса, который представлен хорошо отграниченными дольками,
Оглавление

Себацеома – редкая доброкачественная придатковая опухоль с сальной дифференцировкой. Представлена округлыми дольками преимущественно из незрелых базалоидных клеток в сочетании с небольшим количеством зрелых себацитов (которых менее 50%)

Терминология

  • Термин себацеома применяют для образований, в которых базалоидных клеток более 50%, если базалоидных клеток менее 50%, используют термин аденома сальных желез.
  • Термин себацейная эпителиома не рекомендуется (WHO), т.к. он неоднозначен и предполагает злокачественный потенциал.

Эпидемилогия

  • Ж:М = 4:1
  • Может быть в любом возрасте, но чаще диапазон 60-90 лет.
  • Себацеомы могут быть спорадическими или ассоциированы с синдромом Мюир-Торре.

Этиология и патогенез

  • Себацеомы предположительно возникают из-за мутаций генов системы репарации ошибочно спаренных азотистых оснований MLH1, MSH2, MSH6 и PMS2, разновидность таких мутаций обуславливает развитие синдрома Мюир-Торре.
  • Патогенез до конца не изучен. Однако, хорошо известны факторы риска: инсоляция, радиация, приобретенная иммуносупрессия. При NGS-секвенировании себацеом были обнаружены мутации семейства генов RAS (HRAS and KRAS), TP53, CDKN2A, EGFRи CTNNB1). Наиболее часто встречаются аномалии TP53.

Локализация

  • В большинстве случаев лицо и волосистая часть головы, т.е. области богатые сальными железами.
  • При других локализация следует задуматься о наличии синдрома Мюир-Торре.

Клинические проявления

  • В клинике себацеомы часто принимают за базальноклеточный или плоскоклеточный рак кожи.
  • Большинство себацеом очень медленно растут и не вызывают никаких симптомов.
  • Синдром Мюир-Торре (СМТ) – это редкий наследственный аутосомно-доминантный синдром, фенотипический вариант синдрома наследственного неполипозного рака толстой кишки (синдром Линча). Его вызывают мутации в одном из аллелей генов системы репарации ДНК (MLH1, MSH2, MSH6 и PMS2). СМТ ассоциирован с новообразованием сальных желез (чаще всего это аденома сальных желез, по данным некоторых авторов – себацеома), карциномой толстой кишки и другими висцеральными аденокарциномами. Критерии для постановки диагноза синдрома Мьюира-Торре включают, хотя бы одно новообразование сальных желез и, хотя бы одну висцеральную злокачественную опухоль в какой-то момент жизни пациента.
    При 
    СМТ чаще всего мутации обнаруживаются в гене MSH2
    Если есть вероятность наличия 
    СМТ, следует провести генетическое исследование
    Не следует использовать ИГХ для дифдиагностики герминальной и соматической мутаций MLH1

Лечение

При установленном диагнозе лечение не требуется. Если на исследование была взята только часть образования, рекомендуется полное удаление.

Макро

Себацеома – это солитарный, желто-коричневый или телесного цвета узел или папула. Изъязвления для нее не характерны, но если таковое присутствует следует подозревать злокачественную опухоль. Размер обычно до 1 см, но может достигать и 5 см. Редко себацеомы  могут развиваться из предсуществующих невусов сальных желез. Себациомы ассоциированные с синдромом Мюир-Торре могут быть мультифокальными.

источник фото wikipedia
источник фото wikipedia

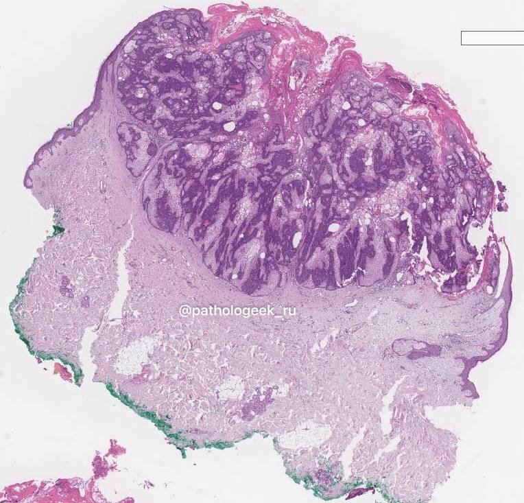
Микро

Себацеома – это узел в дерме с различной степенью вовлечения эпидермиса, который представлен хорошо отграниченными дольками, состоящими по большей части из мономорфных незрелых базалоидных клеток в сочетании с небольшим количеством зрелых себоцитов (<50%), беспорядочно рассеянных по всей опухоли. У зрелых себоцитов большое количество цитоплазматических вакуолей, которые придают ядру фестончатый вид. Могут присутствовать протоково-подобные структуры и кисты, которые часто характеризуются оэзинофильной кутикулой и иногда демонстрируют голокриновый тип секреции. Так же могут наблюдаться воронкоподобные структуры, плоскоклеточная метаплазия и апокриновая дифференцировка. Базалоидные клетки – активно делящиеся эпителиальные клетки, поэтому допускается высокая митотическая активность, о которой не следует волноваться. Однако патологических митозов и некрозов быть не должно. Были описаны разнообразные паттерны роста: ретикулярный/с мелким рельефом («рифленый»), крибриформный, синусоидальный/лабиринтный, с признаками по типу телец Верокаи, карциноид-подобный и железисто-подобный варианты. Иногда даже в пределах одной опухоли. При этом клинические проявления остаются неизменными.

-2
-3
-4
-5

ИГХ+: ЕМА, D2-40, Factor XIIIa

ИГХ-: BerEP4, S100

Дифдиагноз

Себацеому нужно уметь отличать от карциномы сальных желез: для последней характерны крупный размер опухоли, инвазивный рост, значительный ядерный плеоморфизм, выраженные ядрышки, патологические митозы. Так же ее нужно дифференцировать от базальноклеточной (отсутствие периферического палисада и cleft-артефактов)и плоскоклеточной карцином.

Диагностические критерии:

  • Солитарный, желто-коричневый узел/папула
  • Хорошо отграниченные дольки, состоящие преимущественно из мелких мономорфных незрелых, но без признаков атипии, базалоидных клеток в сочетании со зрелыми себацитами, которых менее 50% и которые беспорядочно рассеянны по всей опухоли.

Спасибо, что дочитали разбор “себацеома”, надеюсь вам понравилось. Пожалуйста, поддержите проект Pathologeek.ru, здесь вы можете перевести любую сумму на его развитие, или просто поставьте лайк и поделитесь статьей с друзьями!

Мой телеграм-канал.