Добавить в корзинуПозвонить
Найти в Дзене

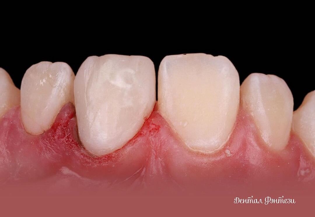
Случай из практики: тройной коронковый перелом

Ксении 10 лет. Родители привели ее к нам с серьезной травмой зуба после удара качелями. Детский стоматолог Нино Пхакадзе в экстренном порядке провела лечение. Сохранила нерв, чтобы зуб продолжил получать питание и закончил своё формирование. В таком случае он прослужит потом столько же, сколько и стоящий рядом нетравмированный зуб. В первый визит врач изготовила временную коронку – на то время, пока идет работа над постоянной керамической. Острая проблема была решена и зуб защищен. Стоматолог-ортопед Владислава Наумова провела сканирование и отправила в лабораторию задание на изготовление коронки, которая бы в точности повторяла «родной» зуб Ксении. Через несколько дней зубной техник изготовил постоянную коронку для восстановления зуба после травмы. Мы напечатали модель челюсти на 3D-принтере и примерили коронку. Она отлично подошла по всем параметрам. Доктор аккуратно и точно установила коронку с применением коффердама и дентального микроскопа. Ксения и ее родители в восторге от резул

Ксении 10 лет. Родители привели ее к нам с серьезной травмой зуба после удара качелями.

Детский стоматолог Нино Пхакадзе в экстренном порядке провела лечение. Сохранила нерв, чтобы зуб продолжил получать питание и закончил своё формирование. В таком случае он прослужит потом столько же, сколько и стоящий рядом нетравмированный зуб.

В первый визит врач изготовила временную коронку – на то время, пока идет работа над постоянной керамической. Острая проблема была решена и зуб защищен.

-2

Стоматолог-ортопед Владислава Наумова провела сканирование и отправила в лабораторию задание на изготовление коронки, которая бы в точности повторяла «родной» зуб Ксении.

-3

Через несколько дней зубной техник изготовил постоянную коронку для восстановления зуба после травмы.

-4

Мы напечатали модель челюсти на 3D-принтере и примерили коронку. Она отлично подошла по всем параметрам.

-5

Доктор аккуратно и точно установила коронку с применением коффердама и дентального микроскопа.

-6

Ксения и ее родители в восторге от результата!

-7

А вот и улыбка Ксении после лечения. Разве кто-то теперь догадается о травме?

-8

Комфортного вам лечения! И ждем вас в Дентал Фэнтези!

dentalfantasy.ru

Запись на прием: +7 495 106-81-81.

Наши клиники:

· Молодогвардейская ул., 2 к. 1

· Проспект Мира, 36 стр. 1

· Ленинградское ш., 92 а

· ул. Гарибальди, 15

· ул. Ефремова, 10, стр. 1, к. 4/5