Эндопротезирование коленного сустава — это хирургическая процедура, при которой поврежденные или заболевшие части коленного сустава заменяются искусственными компонентами, изготовленными из металла, пластика или керамики. Цель операции — восстановить функцию сустава, уменьшить боль и повысить качество жизни пациента.
Процедура эндопротезирования коленного сустава считается достаточно безопасной и эффективной, и современные технологии и материалы делают ее еще более успешной для большинства пациентов.
Показания к операции
Замена коленного сустава рекомендуется, когда консервативное лечение не приносит желаемого облегчения и коленной боли и/или ограничения двигательной функции, что серьезно снижает качество жизни пациента. Самыми распространенными заболеваниями и состояниями, при которых может потребоваться эндопротезирование коленного сустава, являются остеоартроз, ревматоидный артрит и посттравматический артрит.
Остеоартроз — это хроническое заболевание, при котором хрящ коленного сустава стирается, что вызывает боль и жесткость. Ревматоидный артрит — это системное воспалительное заболевание, которое может поражать любые суставы в теле, включая коленные. Посттравматический артрит может развиться после травмы коленного сустава, например, перелома, дислокации или серьезной связочной травмы.
В некоторых случаях замена коленного сустава может быть рекомендовано при наличии других заболеваний или состояний, таких как врожденные аномалии коленного сустава, аваскулярный некроз, опухоли суставов и др. Эта операция также может быть рассмотрена для пациентов с серьезными повреждениями или деформациями, возникшими в результате травмы или инфекции.
Противопоказания к операции
Противопоказания к эндопротезированию коленного сустава могут включать ряд состояний и факторов, которые могут увеличить риски операции или ухудшить исходы лечения. Например, активное инфекционное заболевание в области колена или в другом месте организма может стать серьезным противопоказанием, так как это увеличивает риск инфекционных осложнений после операции. Существующие кожные заболевания в области оперативного вмешательства также могут быть противопоказаниями из-за возможности инфекции. Серьезные системные заболевания, такие как нестабильная ишемическая болезнь сердца, декомпенсированная сердечная недостаточность или нестабильные заболевания легких могут увеличить риск хирургического вмешательства. Также противопоказанием может служить высокий уровень сахара в крови, который не контролируется лечением, так как это может увеличить риск инфекционных осложнений.
Высокий уровень нейрологических или неврологических нарушений, которые могут повлиять на способность пациента восстановить мобильность после операции, может также служить противопоказанием. Например, у пациентов с неконтролируемыми неврологическими заболеваниями, такими как Паркинсонизм, может быть больше трудностей с восстановлением после операции. Некоторые личные факторы, такие как ожирение и курение, также могут быть рассмотрены как противопоказания, поскольку они могут увеличивать риски операции и ухудшать исходы лечения. Ожирение увеличивает нагрузку на коленный сустав и может увеличить риск осложнений, таких как инфекция или неудачное сращивание. Курение может замедлить процесс заживления и увеличивать риск инфекционных осложнений.
Можно ли делать операцию людям с лишним весом?
Люди с лишним весом часто сталкиваются с проблемами суставов из-за дополнительного давления на них, особенно на коленные суставы. Эндопротезирование коленного сустава может быть решением для улучшения качества жизни таких пациентов, однако лишний вес может внести определенные сложности в хирургическое вмешательство и последующее восстановление.
Лишний вес может увеличить риск различных осложнений, таких как инфекции раны, тромбоз, а также проблемы с имплантатом, включая его быстрый износ или смещение. Кроме того, операция может быть технически сложнее из-за большего количества жировой ткани и более высокого давления на сустав во время операции. Врачи могут рекомендовать пациентам с лишним весом похудеть перед операцией, чтобы уменьшить риски и способствовать лучшему исходу процедуры. Потеря веса может помочь уменьшить давление на суставы, улучшить общее состояние здоровья и ускорить процесс восстановления после операции.
Но это не означает, что эндопротезирование коленного сустава полностью исключено для людей с лишним весом.
В конечном итоге решение о проведении операции принимается на индивидуальной основе после тщательного медицинского обследования и консультации с опытным ортопедическим хирургом. Врач будет оценивать общее состояние здоровья пациента, степень повреждения сустава, а также риски и выгоды от операции в каждом конкретном случае. Пациентам с лишним весом может потребоваться дополнительная подготовка к операции, включая увеличение физической активности, здоровое питание и, возможно, консультации с диетологом. Это поможет создать более благоприятные условия для успешного хирургического вмешательства и восстановления.
Насколько эффективна операция
Операция по эндопротезированию коленного сустава считается высокоэффективной процедурой, которая может значительно улучшить качество жизни пациентов, страдающих от хронической боли в коленях и ограниченной подвижности. Согласно статистическим данным, большинство пациентов испытывают значительное улучшение и удовлетворение от результатов операции. Успешность операции часто измеряется улучшением функции сустава, уменьшением боли и улучшением общего качества жизни.
Отзывы пациентов и врачей в большинстве случаев положительные. Пациенты часто сообщают о значительном улучшении боли и функции коленного сустава, что позволяет им возвращаться к активному образу жизни, включая занятия физической активностью и спортом.
Врачи также подчеркивают, что эндопротезирование коленного сустава может быть эффективным решением для пациентов с тяжелыми формами артроза или других заболеваний суставов, когда другие методы лечения не приносят желаемого облегчения.
Однако, как и любая хирургическая операция, эндопротезирование коленного сустава имеет свои риски и возможные осложнения, которые могут повлиять на общий успех процедуры. Поэтому важно обсудить все возможные риски и преимущества с вашим врачом, а также иметь реалистичные ожидания относительно результатов операции.
Также важно отметить, что долгосрочный успех операции может зависеть от ряда факторов, включая уровень физической активности пациента, общее состояние здоровья и соблюдение рекомендаций по реабилитации. Благодаря продолжающимся исследованиям и технологическим инновациям эффективность эндопротезирования коленного сустава продолжает улучшаться, предлагая пациентам возможность вести активный и здоровый образ жизни.
Виды операции
В области эндопротезирования коленного сустава существует несколько основных методик и технологий. Тотальное эндопротезирование коленного сустава (ТЭКС) является наиболее распространенным типом операции, при котором заменяются все три компонента коленного сустава: бедренная, голеностопная и чашеобразная кости. Этот тип операции обычно рекомендуется для пациентов с продвинутым артрозом или другими серьезными заболеваниями суставов.
Есть также частичное эндопротезирование коленного сустава, при котором заменяется только одна или две части коленного сустава, сохраняя как можно больше здоровой кости и хряща. Это может быть хорошей альтернативой для пациентов с менее серьезным повреждением сустава. Ревизионное эндопротезирование коленного сустава предназначено для замены существующих искусственных суставов, которые могли бы износиться или повреждаться со временем. Это более сложная операция, чем первичное эндопротезирование, и часто требует специализированных навыков и технологий.
Роботизированные и компьютерно-ассистированные технологии также играют важную роль в современном эндопротезировании коленного сустава, помогая хирургам достичь большей точности при позиционировании и установке имплантатов. Эти технологии могут улучшить результаты операции и уменьшить вероятность осложнений, таких как несоосность имплантатов.
Подготовка к операции
Подготовка к операции по эндопротезированию коленного сустава включает как медицинские, так и психологические аспекты. Медицинская подготовка начинается с тщательного медицинского осмотра, включая лабораторные тесты, рентгеновские снимки и, возможно, другие диагностические процедуры для оценки состояния коленного сустава и общего здоровья пациента. В зависимости от состояния здоровья пациента могут потребоваться консультации других специалистов, таких как кардиологи или эндокринологи.
Врач может также дать рекомендации по изменению приема некоторых лекарств перед операцией, например, прекращение приема препаратов, влияющих на свертываемость крови. В некоторых случаях может быть рекомендовано предварительное снижение веса и улучшение физической формы для уменьшения рисков операции и улучшения исходов.
Психологическая подготовка также важна. Это может быть стрессовым временем для многих пациентов, и понимание что ожидать от операции, процесса восстановления и возможных осложнений может помочь снизить уровень тревожности. Обсуждение ваших опасений и вопросов с вашим врачом, а также с семьей и друзьями, может быть полезным.
Также полезно разработать план для периода восстановления после операции, включая организацию транспорта, помощь в домашних делах и уход за собой в первые несколько недель после операции. Подготовка вашего дома, установка безопасных путей передвижения и убедившись, что у вас есть необходимые предметы первой необходимости, также могут помочь уменьшить стресс в период восстановления.
Ход операции
Операция по эндопротезированию коленного сустава начинается с введения обезболивающего средства для обеспечения комфорта пациента во время процедуры. После этого хирург делает разрез на передней поверхности колена для доступа к суставу. Размер и форма разреза могут варьироваться в зависимости от конкретной техники, используемой хирургом.
Затем хирург удаляет поврежденные или заболевшие области кости и хряща, сохраняя как можно больше здоровой ткани. После этого хирург точно измеряет оставшиеся части кости для выбора правильного размера и формы искусственного сустава. Искусственные компоненты коленного сустава затем устанавливаются и фиксируются на месте с помощью специального костного цемента или бесцементных методов фиксации. После того как компоненты установлены и проверены на правильное положение и функционирование, хирург закрывает разрез и наружные ткани, возможно, устанавливает дренаж для уменьшения отека и заканчивает операцию.
Реабилитация
Реабилитация после эндопротезирования коленного сустава является критически важным этапом, который помогает пациентам восстановить силу, гибкость и функциональность коленного сустава. Процесс восстановления начинается уже в первые дни после операции с простыми упражнениями на подвижность и постепенным возвращением к ходьбе с помощью ходунков или трости. Восстановительные упражнения продолжаются в течение нескольких недель или месяцев и включают растяжку, укрепление мышц и упражнения на баланс. Физиотерапевт или хирург может рекомендовать индивидуализированный план упражнений для ускорения процесса восстановления и достижения лучших результатов.
Медикаментозное восстановление также играет важную роль в процессе реабилитации. Это может включать в себя прием обезболивающих средств для управления болевыми ощущениями, а также возможно, антибиотики для предотвращения инфекций. Также могут быть рекомендованы противовоспалительные препараты для уменьшения отеков и воспаления в области операции. Все препараты должны приниматься строго по назначению врача, и пациентам следует сообщить врачу о любых побочных эффектах или проблемах, которые могут возникнуть во время процесса восстановления.
Возможные осложнения
После операции по эндопротезированию коленного сустава могут возникнуть различные осложнения, хотя большинство из них редки. Инфекции могут развиться в области операции или внутри самого сустава, что может привести к необходимости дальнейшего лечения антибиотиками или даже дополнительной операции. Тромбоз вен — ещё одно возможное осложнение, связанное с образованием кровяных сгустков в венах, что может быть потенциально опасным и требовать медицинского вмешательства. Некоторые пациенты могут столкнуться с проблемами, связанными с имплантатом, включая его ослабление или смещение, что может потребовать повторной операции. Также возможны боли в колене и окружающих тканях, которые могут сохраняться длительное время после операции, затрудняя процесс восстановления. Контрактура, или уменьшение диапазона движения в суставе, может также возникнуть, если пациент не следует рекомендациям по реабилитации или не выполняет упражнения по восстановлению подвижности.
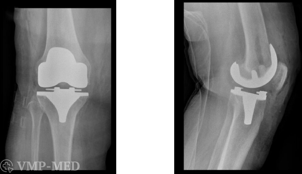
Виды эндопротезов
Эндопротезы коленного сустава бывают различных видов, и их конструкция и материалы могут значительно варьироваться. Основные материалы, используемые для изготовления эндопротезов, включают металл, керамику и пластик. Металлические компоненты обычно изготавливаются из высокопрочных сплавов, таких как титан или нержавеющая сталь, и обладают долговечностью и высокой устойчивостью к износу. Керамические компоненты также демонстрируют хорошую устойчивость к износу и могут обеспечить более гладкое скольжение суставных поверхностей. Пластиковые компоненты, обычно изготовленные из высокомолекулярного полиэтилена, могут служить в качестве подушечек между металлическими или керамическими компонентами, минимизируя трение и износ.
Существует несколько основных конструкций эндопротезов коленного сустава. Тотальные эндопротезы предназначены для замены всех поврежденных частей коленного сустава, в то время как частичные эндопротезы заменяют только определенные области. Некоторые эндопротезы разработаны так, чтобы имитировать естественную анатомию и движение колена, в то время как другие могут иметь более упрощенную конструкцию. Важным фактором является выбор между цементными и бесцементными эндопротезами. Цементные эндопротезы закрепляются с помощью специального костного цемента, что обеспечивает немедленную фиксацию, в то время как бесцементные эндопротезы разработаны так, чтобы кость могла прирасти к имплантату со временем, создавая более естественное и долгосрочное соединение.
Выбор определенного типа эндопротеза и материалов может зависеть от многих факторов, включая возраст пациента, уровень физической активности, анатомические особенности и предпочтения хирурга. Обсуждение этих вопросов с вашим хирургом поможет вам лучше понять, какой тип эндопротеза будет наилучшим выбором для вашей уникальной ситуации.
Как выбрать хорошего врача и проверенную клинику
Выбор квалифицированного врача и надежной клиники для операции по эндопротезированию коленного сустава — важное решение, которое может значительно повлиять на исход процедуры. При поиске врача и клиники рекомендуется обратить внимание на несколько ключевых аспектов.
Опыт и квалификация врача в области эндопротезирования коленного сустава критически важны. Врач должен иметь специализированное обучение и обширный опыт проведения данного типа операций. Это можно узнать, обратившись к лицензионным медицинским органам, а также через рекомендации других пациентов и врачей.
Также важно выбрать клинику с хорошей репутацией и высоким уровнем медицинского обслуживания. Наличие современного медицинского оборудования и высококвалифицированный персонал могут способствовать успешному исходу операции. Отзывы других пациентов и рейтинги клиник, доступные онлайн, могут помочь оценить уровень удовлетворенности пациентов и качество обслуживания.
Выбирая ВМП-Медицину вы получите:
- Стратегию вашего лечения и реабилитации
- Оперирующего хирурга — заведующего отделением
- Госпитализацию в течение 5 дней
- Импланты ведущих американских и немецких производителей
Беремся за самые сложные случаи. Предоставляем “второе мнение” и, при необходимости, организуем врачебный консилиум. https://vmp-medicine.ru/
