Найти в Дзене
Мир моими глазами

В стоматологию как пациент

Обленилась я в край. Да и мысли как-то плохо формулируются. Но я ж должна поныть и рассказать вам, как я сходила на консультацию к ортодонту. Скооолько я созревала….. исчисляется уже в годах. И вот наконец-то дошла. Предварительно сделала панорамный снимок, чтобы наш разговор с доктором был более информативный и предметный. Почему я вообще пошла консультироваться насчет прикуса? Для этого у меня оказалось несколько причин и это явно не вопрос красоты и эстетики. Во-первых меня пугает рецессия, которая медленно, но уверенно дает о себе знать. Во-вторых жевательные зубы нижней челюсти завалились в сторону языка, а нижний фронт расположился, скажем так нетипично, хоть и зафиксирован лингвальным ретейнером. Ну и надо разобраться с моим гипертонусом жевательных мышц. Временами становится невыносимо, голова болит, уши тоже, а прожевать жесткую пищу- это как сделать приседания со штангой. В свое время я уже прошла ортодонтическое лечение, не самое удачное. В тот момент мне конечно из моег

Лучшие друзья кариеса и мои друзья тоже))
Лучшие друзья кариеса и мои друзья тоже))

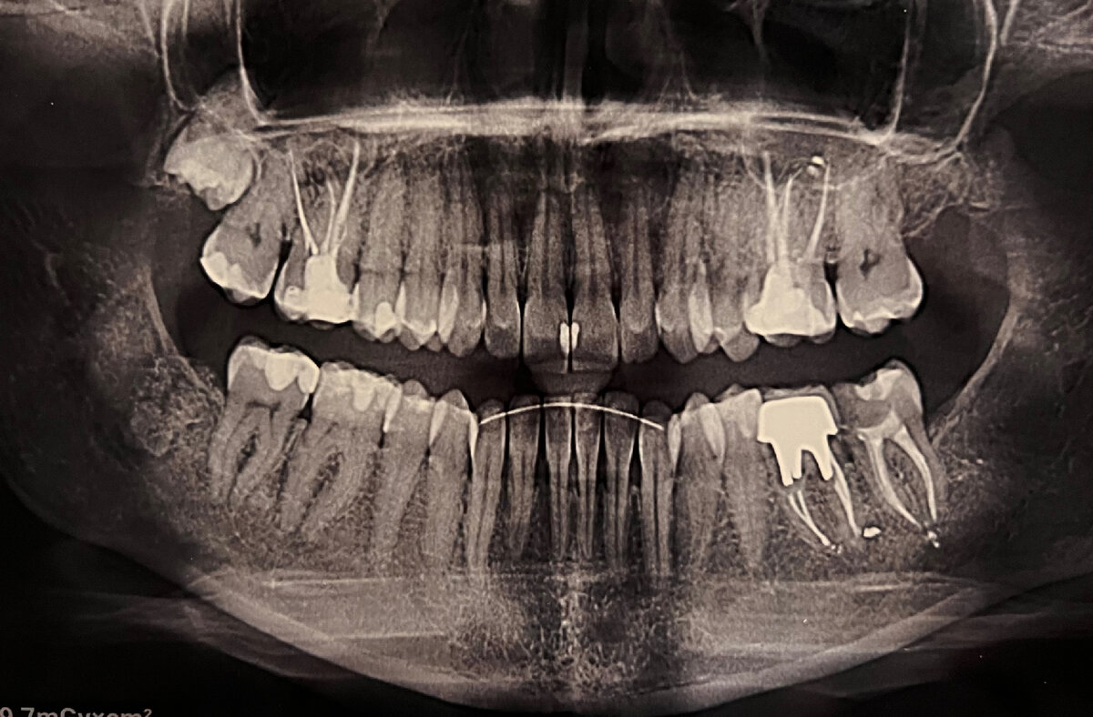
Обленилась я в край. Да и мысли как-то плохо формулируются. Но я ж должна поныть и рассказать вам, как я сходила на консультацию к ортодонту.

Скооолько я созревала….. исчисляется уже в годах. И вот наконец-то дошла. Предварительно сделала панорамный снимок, чтобы наш разговор с доктором был более информативный и предметный.

Почему я вообще пошла консультироваться насчет прикуса? Для этого у меня оказалось несколько причин и это явно не вопрос красоты и эстетики. Во-первых меня пугает рецессия, которая медленно, но уверенно дает о себе знать. Во-вторых жевательные зубы нижней челюсти завалились в сторону языка, а нижний фронт расположился, скажем так нетипично, хоть и зафиксирован лингвальным ретейнером. Ну и надо разобраться с моим гипертонусом жевательных мышц. Временами становится невыносимо, голова болит, уши тоже, а прожевать жесткую пищу- это как сделать приседания со штангой.

В свое время я уже прошла ортодонтическое лечение, не самое удачное. В тот момент мне конечно из моего забора навели красоту, а вот по функциональности остались вопросы. Точнее на тот момент их не было, они потом стали проявляться, эти вопросы. С тех пор прошло более 10 лет, точнее не могу сказать, не помню и всё тут 🤷🏼‍♀️ Но вот ситуация с зубами и прикусом в целом меня стала беспокоить все больше.

Лечение это дорогое, длительное и от того еще более тщательно я выбираю врача. Да простят меня все доктора, но получить диплом- это еще не значит быть великим и могучим. Сколько всего творится в кабинетах, пациентам лучше не знать, а стоматологи и без меня осведомлены 🙈

И вот как раз потому что я вижу много, слышу не меньше, я знаю, что лечить могут дорого, плохо и в конце доказывать вам, что так и должно быть. Или вообще, сами виноваты, а мы сделали все что могли (а по сути как получилось).

Вернусь к самой консультации. Шла с настроем молчать и не подкидывать доктору мыслей. Собственно так и начала. На вопрос что меня беспокоит, я попросила посмотреть меня и оценить взглядом специалиста, что у меня может быть не так.

Консультировала меня девушка, ну как девушка -плюс минус моя ровесница 🤭. То что она говорила, как обосновывала те или иные свои умозаключения- мне понравилось. По крайней мере у меня было впечатление, что человек знает зачем, что и почему, а не просто родители хотели дочку стоматолога )))

Что я вынесла из нашего общения? Хорошего мало, снова одни расстройства(((

Я вот когда на руки получила панорамный снимок, первым делом начала выискивать свои кисты в районе верхних 6-к. Их в свое время обнаружили на КТ верхней челюсти. Не видно, я вообще не считаю ОРТО сильно информативным снимком. Ну так, посмотреть расположение корней, понять какие «живые» или как там по стоматологически- витальные и интактные (🤓не зря же я достаю стоматологов своими вопросами). А вот какие-то хронические моменты не всегда можно разглядеть.

Так вот я так уперлась в поиск этих кист, что даже не обратила внимание на проблему на нижнем фронте((( рецессия сильнее, чем мне хотелось думать. А думать я вообще об этом не хочу, потому что боюсь

Вот как раз под ретейнером видно снижение уровня кости
Вот как раз под ретейнером видно снижение уровня кости

Так что главное мое расстройство- это рецессия. Дальше неутешительная новость, что ортодонтическое лечение может и усугубить этот процесс. Вопрос, а что делать то? Все эти костные пластики, парадонтологические операции не внушают мне доверия. Почему? По наблюдениям из практик различных врачей с которыми приходилось работать. Вот мне почему-то кажется, что я попадаю вечно в процент не самых удачных исходов операций.

Девушка ортодонт не стала меня стращать, пугать и настаивать на обязательности установки брекет системы. Но, она второй ортодонт, который сказал, что убирать ретейнер мне нельзя. Скажем так, он сейчас выступает в роли шины.

Пока мы с ней остановились на том, что мне нужна консультация гнатолога. Без этого может и не стоит заниматься напрасными зубодвижениями. А лечение у гнатолога, это вообще отдельная песня. Продавай машину и годами мечтай о том, что скоро все закончится. На это я точно не пойду. Хочу сходить на консультацию, но на лечение точно не подпишусь. И так на минуточку, консультация стоит 6000 😩. Девушке ортодонту так и сказала, что на общение с гнатологом я тоже буду зреть долго.

А из приятного знаете что? Во время консультации, ортодонт сама даже сказала, что по сути я все знаю, легко объяснять понимающему человеку. А еще приятнее мне стало, когда на ресепшен она попросила не брать с меня оплату за консультацию)) во мне почти коллегу признали)) Вышла довольная своим багажом знаний)) не все еще забылось))

На этом пока история застопорилась, отложила я этот вопрос на полочку, буду зреть 🤷🏼‍♀️

Что у вас нового? Как отдохнули?