Добавить в корзинуПозвонить
Найти в Дзене

Последствия болезни Блаунта

Болезнью Блаунта (или Эрлахера-Блаунта-Биезиня) называется искривление ног в верхней части голени, преимущественно О-подобное. В редких случаях встречается Х-подобная деформация. Изменения развиваются в берцовой большой кости, поэтому состояние также называют «остеохондрозом большеберцовой кости, деформирующим». Заболевание известно с давних времен и сегодня принято различать два его основных варианта. В одном случае патологические изменения обнаруживаются в обеих конечностях у малышей первых лет жизни (инфантильная форма), в другом – только в одной ноге у детей старше 6 лет (подростковая форма). Этой патологией в прошлых столетиях часто страдали дети, которые с ранних лет работали на фабриках, что и обусловило еще одно ее специфическое название – «фабричная нога». В современной медицине существует классификация вариантов болезни в зависимости от выраженности разрушения костной ткани и отклонения от вертикали (деформационного угла). Заболеваемость составляет порядка трех человек на дес

Болезнью Блаунта (или Эрлахера-Блаунта-Биезиня) называется искривление ног в верхней части голени, преимущественно О-подобное. В редких случаях встречается Х-подобная деформация. Изменения развиваются в берцовой большой кости, поэтому состояние также называют «остеохондрозом большеберцовой кости, деформирующим».

Заболевание известно с давних времен и сегодня принято различать два его основных варианта. В одном случае патологические изменения обнаруживаются в обеих конечностях у малышей первых лет жизни (инфантильная форма), в другом – только в одной ноге у детей старше 6 лет (подростковая форма).

Этой патологией в прошлых столетиях часто страдали дети, которые с ранних лет работали на фабриках, что и обусловило еще одно ее специфическое название – «фабричная нога».

В современной медицине существует классификация вариантов болезни в зависимости от выраженности разрушения костной ткани и отклонения от вертикали (деформационного угла).

Заболеваемость составляет порядка трех человек на десять тысяч населения, однако предполагается, что часть легких случаев просто остается недиагностированными. Также в некоторых странах Карибского бассейна болеет один ребенок из 1200. Интересно, что проблема чаще встречается среди девочек, однако существуют отдельные регионы с более высокой заболеваемостью у мальчиков.

Болезнь связывают с диспропорцией развития конечностей. Так, у костей коленной области есть два участка – ростовые зоны – где, собственно, и происходит рост. Находятся эти зоны на наружной и внутренней поверхностях кости (внешней, иначе латеральной, и медиальной). Уменьшение интенсивности или прекращение роста в медиальной зоне на фоне нормального развития латеральной ведет к деформации конечности.

Последствиями болезни Блаунта оказываются не только эстетические нарушения, но и серьезные проблемы здоровья в целом, вплоть до утраты способности передвигаться.

Причины и симптомы

С чем связаны деформационные изменение и нарушение развития в одной из ростовых зон достоверно не известно. Считается, что проблема в первую очередь обусловлена с недостаточным поступлением необходимых элементов к костной ткани, что ведет к разрушению последней.

-2

Факторы, благоприятствующие развитию заболевания, включают:

  • наследственность;
  • анатомические особенности устройства костно-мышечной системы;
  • эндокринные заболевания и обменные нарушения;
  • слишком раннее начало самостоятельной ходьбы ребенком (до достижения 10 месяцев);
  • ожирение;
  • чрезмерная нагрузка на ноги, которая не соответствует развитию опорно-двигательного аппарата, и пр.

Основным симптомом болезни оказывается заметное искривление в области голени, постепенно усиливающееся.

Для инфантильной формы характерно практически бессимптомное течение. В то же время подростковый вариант заболевания отличается значительным болевым синдромом, искривлением пальцев стоп, нарастанием нестабильности коленного сустава и пр.

Любой вариант болезни Блаунта при отсутствии адекватного и своевременного лечения ведет к наступлению весьма серьезных последствий.

Возможные осложнения и последствия

Основным и первым последствием болезни Блаунта оказывается нарушение двигательных возможностей: появляется хромота, походка становится переваливающейся, «утиной».

Патология постепенно прогрессирует, приводя к заметному уменьшению одной или обеих ног.

Мышцы со временем атрофируются, значительно уменьшаясь в объеме и ослабевая. Распределение нагрузки по всей опорно-двигательной системе нарушается, что провоцирует возникновение патологий в остальных ее элементах. У больных выявляются различные деформации позвоночника, перекос таза, плоскостопие, изменения в суставах и/или позвоночнике (остеоартрозы, спондилоартрозы, грыжи, протрузии и пр.).

Нарастает диспропорция конечностей. Руки визуально выглядят более длинными, чем ноги. При этом рост ребенка становится значительно меньше, чем это положено для его возраста.

Еще одним последствием болезни Блаунта становится развитие нестабильности сочленения колена из-за патологий связочного аппарата, а также деформационные изменения кости бедра. Постепенно патологические процессы возникают и в иных элементах сустава и околосуставных тканях (менисках, сухожилиях и пр.).

Очень частым осложнением заболевания является разрушение хрящевой ткани в коленном сочленении и раннее развитие артроза колена. В свою очередь на фоне дистрофических и дегенеративных процессов в суставе развиваются воспалительные, появляются артриты.

При отсутствии лечения функция коленного сустава нарушается. Ребенок постепенно теряет возможность ходить и становится инвалидом.

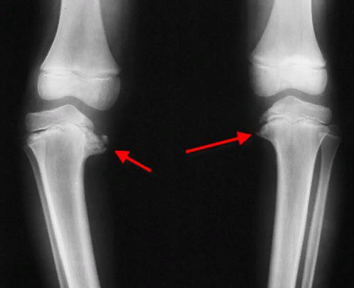
Для точной постановки диагноза используются инструментальные методы обследования, которые позволяют дифференцировать заболевание от физиологического варианта искривления ног у малышей, а также иных патологических состояний (костной дисплазии и пр.).

-3

Читайте о лечении на https://pervaya-medklinika.ru/posledstviya-bolezni-blaunta/