Добавить в корзинуПозвонить
Найти в Дзене
Parodoctor

Хотели раздвинуть горизонты, а слетела крыша. Как маскируется "тяжёлый" пародонтит под "норму" и каковы реальные прогнозы.

Некоторые стоматологи вылечить обещают всё и сами в это верят вопреки всему, вопреки неудачам. Аж дух захватывает от чудес. И пробивает на смех. Во дают... Пациенты верят. И несут деньги с восхищением. Вы криволапые, а там - технологии. Ну и что, что всё противоречит здравому смыслу? "Ах, обмануть меня не трудно. Я сам обманываться рад". Потому что трудно бывает принять реальность. Свой розовый мир - он уютный. А злой доктор наговаривает. Никаких особых проблем и тут как гром среди ясного неба - удалять нужно ВСЕ зубы. Такое, вообще, бывает? Ага. Кроме шуток, бывает. Кровили дёсны? Немножко, потом прошло от полоскалок и мазалок. Не особо запомнилось. Подвижности же почти нет! Какое ещё удаление? Плохая шутка, очень плохая. Сами зубы пусть и не идеальный вид имеют, но очень даже ничего. Точно не сильно хуже, чем у других. А вот и он - "тихий убийца зубов". Хронический генерализованный пародонтИТ ТЯЖЁЛОЙ СТЕПЕНИ тяжести. Неприятно познакомиться, но никто вас и не спрашивал. Знакомс
Оглавление

Некоторые стоматологи вылечить обещают всё и сами в это верят вопреки всему, вопреки неудачам. Аж дух захватывает от чудес. И пробивает на смех. Во дают...

Пациенты верят. И несут деньги с восхищением. Вы криволапые, а там - технологии. Ну и что, что всё противоречит здравому смыслу?

"Ах, обмануть меня не трудно. Я сам обманываться рад".

Потому что трудно бывает принять реальность. Свой розовый мир - он уютный. А злой доктор наговаривает.

Никаких особых проблем и тут как гром среди ясного неба - удалять нужно ВСЕ зубы. Такое, вообще, бывает? Ага. Кроме шуток, бывает.

Кровили дёсны? Немножко, потом прошло от полоскалок и мазалок. Не особо запомнилось. Подвижности же почти нет! Какое ещё удаление? Плохая шутка, очень плохая. Сами зубы пусть и не идеальный вид имеют, но очень даже ничего. Точно не сильно хуже, чем у других.

А вот и он - "тихий убийца зубов".

Хронический генерализованный пародонтИТ ТЯЖЁЛОЙ СТЕПЕНИ тяжести.

Неприятно познакомиться, но никто вас и не спрашивал. Знакомство принудительное.

Все думают, что эта история не про них. А потом поздно пить Боржоми.

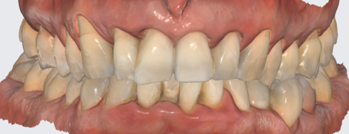
Цифровой слепок.
Цифровой слепок.

Как вам результат 3Д сканирования? Ничего не предвещает беды, не правда ли?

Это не похоже на тот пародонтит, который я всем показывала раньше.

-2

А я скажу, что разницы особой нет в состоянии кости. Пародонтит тяжёлой степени тяжести может выглядеть и так, и так.

3Д визуализация.
3Д визуализация.

Отмечается равномерная деструкция кости, 2/3 длины корней в "воздухе" (в патологических мягких тканях - грануляциях).

Нижние резцы. Деструкция кости до 100% длины корней.
Нижние резцы. Деструкция кости до 100% длины корней.
Верхние резцы. То же самое.
Верхние резцы. То же самое.

Где-то получше, а где-то - похуже.

Те, кто говорят, что пародонтит лечится - правы. Но не так, как вам бы хотелось.

Это хроническое заболевание. Пока есть свои зубы, будет и пародонтит. Хоть бейте меня, но против логики даже маркетинг бессилен. Кость, которая подверглась разрушению, не вырастет. Не образуется вновь. И даже чудо-стоматологи не вернут её к норме. Организм ВСЕГДА будет начеку.

Что же делать?

  • Ничего. Оставить как есть и дожидаться момента, когда зубы начнут выпадать. Профгигиена и всё. Это может случится в любой миг. Стойкой ремиссии для кости не будет.
  • Удаление и съёмный протез. Плохой вариант, особенно для молодого (чуть за 30) пациента. С чем человек придёт к пожилому возрасту? Останется без кости.
  • Удаление и имплантация. Важно не дотянуть до момента, когда и имплантаты классические некуда устанавливать. Тут, скажу я, дотянули. Анатомия не была благосклонная к человеку.
  • Пародонтальная хирургия.

Давайте остановимся на последнем варианте.
Предрасположенность к пародонтиту не исчезнет. Организм будет "видеть" то, что его раздражает - бактерии, живущие под десной на корнях зубов. Это не они "едят" человека, это его иммунитет так реагирует на чужеродных поселенцев - разрушает собственную кость. Просто он не способен удалить поддесневые зубные отложения (бактерии очень хорошо защищены как от иммунитета, так и от антибиотиков - двойной мембраной). Только МЕХАНИЧЕСКОЕ воздействие убирает биоплёнку.

Считается, что патологические зубодесневые карманы глубже 4-х мм человек не сможет обслуживать самостоятельно - ни ирригатор, ни ёршик - не помогут. Бактерии всегда будут жить в кости, в карманах. Всегда будут раздражать иммунную систему, всегда будут с ней "на ножах". Задача хирурга-пародонтолога сделать карманы 3-4 мм и не более того. Каким образом? Нужно убрать десну. Приблизить её к кости. Не сложный путь.

Только вот выглядеть такой забор из корней будет довольно жутко. Ну и ладно, скажете вы, зато своё, родное. А я скажу - что при такой убыли кости любое вмешательство может закончиться фатально для зубов. Даже замена пломбы.

Эти зубы уже не являются полноценными участниками жевательного процесса.
Хороших вариантов уже и нет. Они остались где-то в прошлом.

Обещания вылечить такую степень пародонтита, красивые картинки, чудесные коронки - фасад. Который обязательно рассыпется вместе с потраченными на это дело финансами.

Во всём должен быть разум. Обязательно просите показать рентгеновские снимки ДО/ПОСЛЕ. Нет снимков - не убедительно всё лечение.

Будьте благоразумными и берегите своё здоровье и свой кошелёк.

С уважением, Лежачёва Наталия Александровна, главный врач, хирург-пародонтолог стоматологии Parodent, Санкт-Петербург.