Найти в Дзене

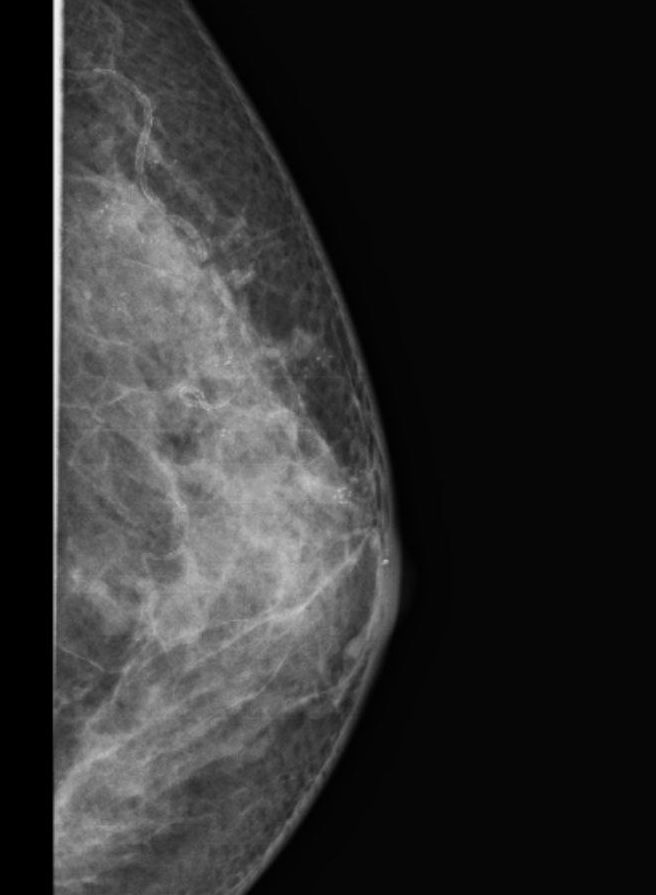
Клинический пример. Рак визуализируется на маммографии в виде скопления микрокальцинат

Клинический пример. Рак визуализируется на маммографии в виде скопления микрокальцинат на достаточно большой площади. Никаких клинических изменений в виде изменений кожи, выделений из соска, у пациентки не было. Она обратилась в РНЦРР. На рисунке есть множественные микрокальцинаты - проявления болезни внутри протоков. Выявлено два участка. К сожалению, данной пациентке не удалось сохранить ареолу с соском во время операции, так как центральные протоки соска задействованы в онкологическом процессе. На первом этапе установлен тканевой расширитель. Затем будет имплант. Наглядный пример того, что маммологические скрининговые обследования должны выполнятся. Ссылка на видео в группе ВК https://vk.com/video-176711625_456239177 Данный канал носит ознакомительный характер из практики доктора или врачей маммологической клиники ФГБУ РНЦРР. Канал не призывает к оказанию каких-либо услуг или хирургическому вмешательству. ОБЯЗАТЕЛЬНА КОНСУЛЬТАЦИЯ СО СПЕЦИАЛИСТАМИ. Информация взята с сайта РНЦРР и Те

Клинический пример. Рак визуализируется на маммографии в виде скопления микрокальцинат на достаточно большой площади.

Никаких клинических изменений в виде изменений кожи, выделений из соска, у пациентки не было. Она обратилась в РНЦРР.

-2

На рисунке есть множественные микрокальцинаты - проявления болезни внутри протоков. Выявлено два участка.

К сожалению, данной пациентке не удалось сохранить ареолу с соском во время операции, так как центральные протоки соска задействованы в онкологическом процессе. На первом этапе установлен тканевой расширитель. Затем будет имплант.

Наглядный пример того, что маммологические скрининговые обследования должны выполнятся.

Ссылка на видео в группе ВК https://vk.com/video-176711625_456239177

Данный канал носит ознакомительный характер из практики доктора или врачей маммологической клиники ФГБУ РНЦРР. Канал не призывает к оказанию каких-либо услуг или хирургическому вмешательству.
ОБЯЗАТЕЛЬНА КОНСУЛЬТАЦИЯ СО СПЕЦИАЛИСТАМИ.

Информация взята с сайта РНЦРР и Телеграм-канала Ходорович Ольги Сергеевны . Дополнительные ресурсы ниже.

ВКонтакте: https://vk.com/dr.khodorovich
Одноклассники: https://ok.ru/dr.khodorovich

Излишнее напоминание о том, как важно проходить обследования постоянно, даже если ничего не беспокоит.

Это не значит, что ничего нет.

#рмж #рак #онкология #хирургия #медицина #здоровье #рнцрр #москва #ходорович #маммология #врачи