Добавить в корзинуПозвонить
Найти в Дзене
RT на русском

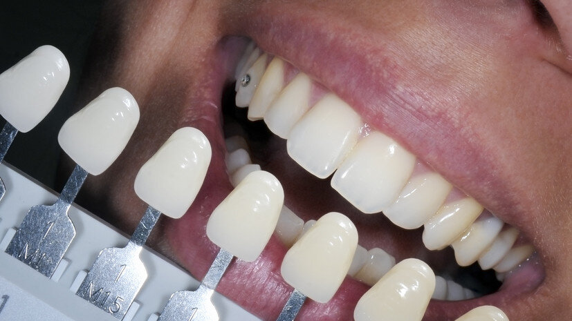
Ортодонт Калинина предостерегла от отбеливания зубов абразивными пастами

Кандидат медицинских наук врач-ортодонт Анна Калинина высказалась об эффективности ряда отбеливающих средств. «Отбеливающие полоски не так безобидны, как кажется. Концентрация отбеливающих компонентов в полосках неизвестна, поэтому такой способ отбеливания может привести в лучшем случае к неравномерному изменению цвета зубов, а в худшем — к повреждению поверхности эмали и химическому ожогу дёсен», — заявила она в беседе с «Газетой.Ru». Калинина также предостерегла от отбеливания зубов с помощью абразивных паст с крупными частицами. «Этот метод при систематическом его применении и неправильно подобранном уровне абразивности пасты будет повреждать поверхность эмали», — пояснила она. По её словам, абразивные пасты могут стать причиной повышенной чувствительности зубов и дёсен. Как добавила врач, «народные» методы и вовсе не стоит использовать. Ранее, как сообщал сайт kp.ru, профессор, академик РАН, заместитель директора по научной работе ФБУН «Центральный научно-исследовательский институт
  Gettyimages.ru
Gettyimages.ru

Кандидат медицинских наук врач-ортодонт Анна Калинина высказалась об эффективности ряда отбеливающих средств.

«Отбеливающие полоски не так безобидны, как кажется. Концентрация отбеливающих компонентов в полосках неизвестна, поэтому такой способ отбеливания может привести в лучшем случае к неравномерному изменению цвета зубов, а в худшем — к повреждению поверхности эмали и химическому ожогу дёсен», — заявила она в беседе с «Газетой.Ru».

Калинина также предостерегла от отбеливания зубов с помощью абразивных паст с крупными частицами.

«Этот метод при систематическом его применении и неправильно подобранном уровне абразивности пасты будет повреждать поверхность эмали», — пояснила она.

По её словам, абразивные пасты могут стать причиной повышенной чувствительности зубов и дёсен.

Как добавила врач, «народные» методы и вовсе не стоит использовать.

Ранее, как сообщал сайт kp.ru, профессор, академик РАН, заместитель директора по научной работе ФБУН «Центральный научно-исследовательский институт эпидемиологии» Роспотребнадзора доктор медицинских наук Александр Горелов заявил, что от гриппа важно вакцинироваться каждый год.