Добавить в корзинуПозвонить
Найти в Дзене
Parodoctor

Прикус и перегрузка пародонта. Начинаем комплексное лечение с базы - исправления прикуса.

Прикус хороший, а вот с зубами не повезло - сколы, корни оголяются. Но зубы ровные. Это да. Факт. Ну что за магическая магия? Бывают ли чудеса в решете? Нет, опять я разрушаю розовый мир. В стоматологии чудес не бывает. Всё подчиняется законам мирозданья. "Хороший" прикус - это не ровные зубы. Лично мне 1000 раз за жизнь люди сказали: "Вот у Вас всё хорошо, ровно, бело и прекрасно". Конечно, на вид всё так и есть. А то, что одна часть нижней челюсти длиннее другой и положение суставов (ВНЧС) не позволит провести консервативное ортодонтическое лечение - ерунда. Но, зато, зубы верхней челюсти имели возможность вырасти ровно и правильно - им никто не мешал👀 Нижняя челюсть как-то сама приспособилась - жизнь её заставила. Так и живу. В общем и целом - чудесно. Ни сколов, ни рецессий. Повезло с компенсаторными механизмами. "Хороший" прикус - это правильный прикус. Можно найти в интернете информацию о том, что считается правильным. Я покажу картинкой, без нагромождения массива информации.
Оглавление

Прикус хороший, а вот с зубами не повезло - сколы, корни оголяются. Но зубы ровные. Это да. Факт.

Ну что за магическая магия? Бывают ли чудеса в решете?

Нет, опять я разрушаю розовый мир. В стоматологии чудес не бывает. Всё подчиняется законам мирозданья.

"Хороший" прикус - это не ровные зубы. Лично мне 1000 раз за жизнь люди сказали: "Вот у Вас всё хорошо, ровно, бело и прекрасно". Конечно, на вид всё так и есть. А то, что одна часть нижней челюсти длиннее другой и положение суставов (ВНЧС) не позволит провести консервативное ортодонтическое лечение - ерунда. Но, зато, зубы верхней челюсти имели возможность вырасти ровно и правильно - им никто не мешал👀 Нижняя челюсть как-то сама приспособилась - жизнь её заставила. Так и живу. В общем и целом - чудесно. Ни сколов, ни рецессий. Повезло с компенсаторными механизмами.

"Хороший" прикус - это правильный прикус. Можно найти в интернете информацию о том, что считается правильным. Я покажу картинкой, без нагромождения массива информации.

Картинка из интернета. Пример.
Картинка из интернета. Пример.

Такое соотношение зубов позволяет зубочелюстной системе выполнять свою функцию (жевание) верно и без сбоев.

  • Работа в нормальном режиме - залог успеха. Не залог того, что кариеса не будет (ответственность ваша)! Залог того, что пломбы будут стоять как полагается, что коронки обойдутся без сколов. Имплантатов всё это тоже касается (если уж до них дошло).
  • Работа в патологии, в компенсаторном режиме - 50/50. Может статься, что свою жизнь человек проживёт занимаясь чем-то более интересным, чем проблемные зубы. А, может, к стоматологу будет ходить как на работу. Латать бесконечно несчастные зубы, клепать пломбы на клиновидные дефекты и терять их в скором времени. Получать рецессии - оголённые корни.

И думать - да какого же...? Лечусь и лечусь, несу деньги в бездонную стоматологическую бочку, а становится ХУЖЕ. Ни эстетики, ни веры в будущее - сплошное разочарование.

Да просто всё. Обратите внимание на прикус. Если сами не можете, приходите. Поможем мы.

Так в клинику обратилась И. Моя ровесница. А сколько мне лет?) Чуть за 30.

Записалась к ортопеду и ко мне (пародонтолог я).

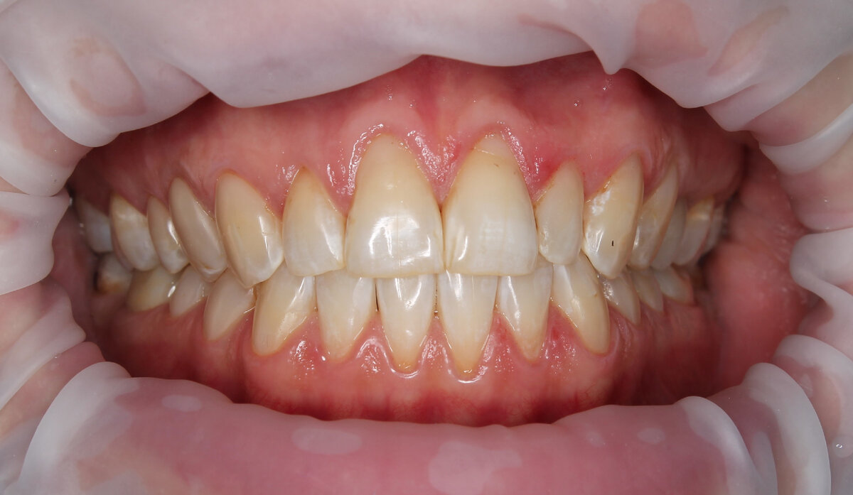
Проблема - эстетика не устраивает. Давайте посмотрим.

-2

Многие скажут - очень хорошо, проблем не видно! Или - мне бы её проблемы, нашла, к чему придраться.

А я придираюсь.

-3

Да, выглядит неплохо. Решили проблему, называется - запломбировали все пришейки. Оголённые корни тоже закрыли пломбировочным материалом.

И что? Пломбы отвалятся через некоторое время. Не сомневайтесь, 20 лет не отстоят 100%.

Патология СИЛЬНЕЕ пломбировочного материала. И, коль она не устранена, она будет продолжать своё дело - ситуация будет ухудшаться. Перегрузка пародонта ничем хорошим не закончится.

Да, в 30-40 проблемы могут остро не откликаться в душе, во рту и в кошельке. А потом. А потом организм поднимет белый флаг, компенсаторные механизмы прекратят сопротивление. Они просто "не вывезут". Обычно, случается подобное довольно резко. Жил - не тужил и бац - в один день всё "полетело". Всегда сюрприз.

Добавьте сюда хроническое воспаление в тканях десны и кости (пародонтит), получите феерический результат в ближайшей перспективе.

Так а в чём дело?

Если рассматривать прикус пациентки, то ничего ужасного и впрямь нет. На первый взгляд - вообще всё идеально (пломбы мы пропустим мимо глаз, естественно).

Вид слева.
Вид слева.

Зубы расположены именно так, как на картинке нормы (я выше добавляла).

Правая сторона.
Правая сторона.

И тут - тоже.

Так-то оно так, но вот момент - наклон зубов.

Отличается от нормы.
Отличается от нормы.

Особенное внимание обратим вот на что:

-7
Вся жевательная группа "завалена" в сторону полости рта. Наклон нёбный и язычный имеется. Этакий закамуфлированный дистальный прикус. Вроде бы на вид всё хорошо, но если просто поставить зубы ровно, получится попадание клыка на клык. Опять неверное распределение нагрузки. Опять усугубление проблем с клиновидными дефектами и рецессиями.

Так же имеется несовпадение центрального соотношения резцов, хоть и кажется это дело незначительным.

-8
В процессе жизнедеятельности (формирования постоянного прикуса) организм пытался сделать для хозяина благое дело - скомпенсировать нагрузку на пародонт. Как смог, так и справился. Зубы "завалились", нюанс.

Зуб - не прямоугольник. Он имеет свою, особую, форму. Посмотрите:

-9

Узкое место - шейка, широкое - экватор. Ну и режущий край.

-10

Чёрные стрелки - как хотелось бы расположить зубы, устранить заваливание и переместить чуток. Красные - как есть сейчас.

Как сейчас - сколы и клиновидные дефекты. Одним словом - перегрузка.

Фух, надеюсь, что хоть что-то, хоть кто-то понял.

Продолжаю.

Лечение начинается. Выбрана была керамическая брекет-система Damon Clear 2 (комбинация). Эстетика.

-11

Синие штуки - направляющие, они нужны для того, что бы ортодонту было проще ориентироваться. А мне захотелось сделать такой кадр - красиво же.

Потом всё синее убирается.

Можно увидеть, что зубы не смыкаются. Так задумано специально - установлены накладки на нижние 6-е зубы. Это необходимо для того, что бы дать возможность зубам нижней челюсти "вдохнуть воздуха" и расправиться. Сейчас имеется скученность.

Накладки.
Накладки.

Ну что. Как-то так. Будем продолжать следить за ситуацией.

  • Как часто нужно ходить на коррекцию?

Раз в 4-10 недель, в зависимости от ситуации. Предпочтительно раз в 6-8 недель.

  • Как долго ходить с брекет-системой?

От 1.5 лет до 2-х лет. В данном случае прогноз ортодонта - меньше полутора лет. Но лучше обозначить более длительный срок, что бы не возникало эксцессов.

На каком-то этапе подключусь я, как хирург-пародонтолог - будет пластика рецессий. Пломбы, закрывающие корни зубов, мы ликвидируем. Отмашка ортодонта - и я приступлю.
  • Сколько это стоило для пациентки?

Установка керамической брекет-системы = 85 000 рублей за 1 челюсть. Челюсти 2.

Всегда на связи с вами.

С уважением, Лежачёва Наталия Александровна, главный врач, хирург-пародонтолог стоматологии Parodent, Санкт-Петербург.