Найти в Дзене

Щель между коронкой и десной. Срочно менять или это вариант нормы?

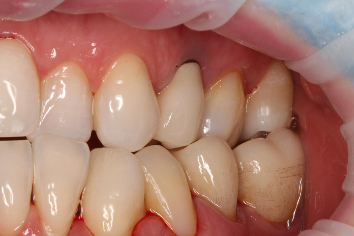
Да, действительно, «щель» может появляться. И тут мы смотрим на ряд факторов: ✔️насколько видна щель ✔️из чего сделана коронка ✔️какого цвета остатки зуба под ней Если коронка цельнокерамическая, а корень в цвете не изменен, то щель будет не видна👌  А если стоит металлокерамическая коронка  или зуб за время своего общения с врачами поменял цвет уже 10 раз, то границы с коронкой будут видны всегда. На фото пример такого зуба. Черная полоса - это темный корень, но он здоров, а значит коронку можно не трогать. Если бы это был кариес, то тут ответ один: снимать, лечить, закрывать по-новой. Щель сама по себе не является показанием для замены. Но «носкость» коронки она никак не повлияет. Есть смысл думать о замене, если вас не устраивает эстетический изъян. Чтобы коронка как можно дольше оставалась без зазоров, она изначально должна быть сделана с умом: по цифровому слепку, выточена из цельного куска керамики, идеально подогнана. Мы делаем так.

Да, действительно, «щель» может появляться. И тут мы смотрим на ряд факторов:

✔️насколько видна щель

✔️из чего сделана коронка

✔️какого цвета остатки зуба под ней

Если коронка цельнокерамическая, а корень в цвете не изменен, то щель будет не видна👌 

А если стоит металлокерамическая коронка  или зуб за время своего общения с врачами поменял цвет уже 10 раз, то границы с коронкой будут видны всегда.

На фото пример такого зуба. Черная полоса - это темный корень, но он здоров, а значит коронку можно не трогать. Если бы это был кариес, то тут ответ один: снимать, лечить, закрывать по-новой.

Пример щели под коронкой
Пример щели под коронкой

Щель сама по себе не является показанием для замены. Но «носкость» коронки она никак не повлияет. Есть смысл думать о замене, если вас не устраивает эстетический изъян.

Чтобы коронка как можно дольше оставалась без зазоров, она изначально должна быть сделана с умом: по цифровому слепку, выточена из цельного куска керамики, идеально подогнана.

Мы делаем так.