Найти в Дзене
Muscle,btch

Можно ли закачать грыжу?

В силу своей профессиональной деятельности я часто вижу грыжи и последствия их лечения. Хочу оговориться сразу, что я не хирург и вообще не лечу людей. Мое дело оценить их состояние с помощью инструментальной диагностики и дать рекомендации для их лечащего врача. Но зато я могу дать понимание когда стоит брать ноги в руки и бежать к неврологу/нейрохирургу, а когда хватит и качалочки.

Оговорюсь сразу: не занимайтесь самолечением, запущенная грыжа может проводить к тяжелой неврологической симптоматике, вплоть до недержания и потери чувствительности ног. Если на своем исследовании вы видите картинки, которые я показываю ниже, или в заключении звучат слова "экструзия", диско-/вертеброрадикулярный кофликт", "компрессия нервного корешка" и "стеноз", то вашу проблему должен решать невролог, а не тренер в качалке.

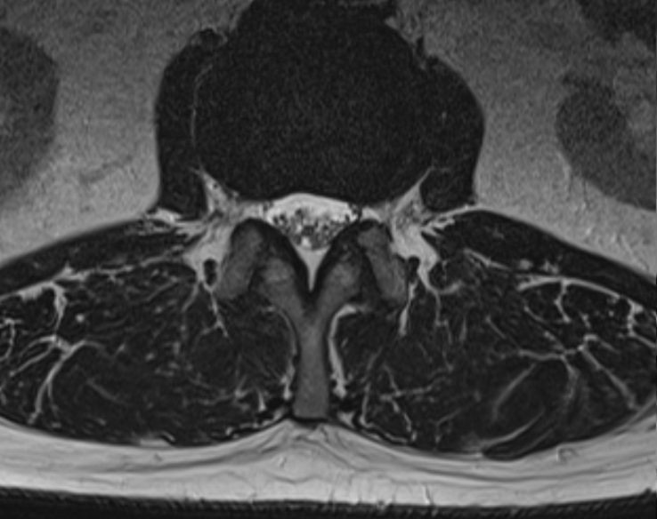
Вот вам классический пример, как делать не надо. Мужчина, 29 лет. Cидячая работа, ремонт дома и стала болеть спина. Да так, что появились стреляющие боли в ногах. На МРТ определяется эктрузия, то есть большое грыжевое выпячивание, которое сдавливает нервный корешок, что и вызывает боль.

Такая картинка сама по себе уже не хорошо. Это не протрузия, которая может вправиться за счет усиления тонуса мышц и исправления осанки. Эструзия возникает на месте разрыва диска, поэтому давить на диск, используя осевые нагрузки или сгибания для проработки мышечного каркаса уже нельзя. В самом позвоночном канале на этом уровне содержится только дуральный мешок, разгрузить его "изнутри" также нет возможности.

Несмотря на это, наш герой решает не идти к врачу, так как панически боится, что тот предложит ему операцию, а идет он к фитнес-тренеру, который специализируется на лечении болей в спине. Фитнес-тренер неадекватно оценивает состояние своего клиента и всего через месяц упорных тренировок пациент возвращается с ухудшением - спина болит постоянно, стреляет до искр из глаз. На МРТ картинка еще более показательная:

-3

Стало еще хуже. В конце концов наш герой дошел до врача и вот уже 2 месяца выполняя несложную ЛФК живет без болей.

Делаем выводы: если у вас есть грыжа, лучше сначала сходите к врачу, которому доверяете. Нормальный невролог отправит вас под нож только в самом крайнем случае, в основном это нужно для декомпрессии дурального мешка, когда в позвоночном канале совсем не осталось места для нервов и все собой заполнила грыжевая масса. Все остальное лечится консервативно, но вы, как пациент, теряете главное - время и качество жизни. Не доверяйте горе тренерам, которые обещают вам "вправить выпавший диск", как видите, это невозможно чисто анатомически, осевые нагрузки и всяческие сгибания-разгибания сделают хуже.