Добавить в корзинуПозвонить
Найти в Дзене
D2D Expert

Травмы гортани. КТ-диагностика

Слизистая оболочка гортани сильно васкуляризирована и состоит из относительно рыхлой соединительной ткани, что способствует быстрому накоплению жидкости, массивному отеку, образованию гематом после травмы. Асимметрия дыхательных путей должна насторожить рентгенолога и тщательно оценить прилегающие мягкие ткани. Травма от разрыва или разрыва слизистой оболочки может привести к асимметричному увеличению ткани. Отек и гематомы имеют тенденцию к распространению выше и ниже в латеральном параларингеальном пространстве и могут вызывать объемный эффект различной степени по ходу дыхательных путей. Острый надгортанный отек может быть следствием повреждения мягких тканей в результате ДТП. Если пассажир пристегнут, прямое воздействие от ремня безопасности или сработавшая подушка безопасности может привести к повреждению гортани. Непристегнутый пассажир получит травму из-за механизм замедления, при котором передняя поверхность шеи ударяется о приборную панель, а голова о лобовое стекло. Сила удара
Оглавление

Слизистая оболочка гортани сильно васкуляризирована и состоит из относительно рыхлой соединительной ткани, что способствует быстрому накоплению жидкости, массивному отеку, образованию гематом после травмы. Асимметрия дыхательных путей должна насторожить рентгенолога и тщательно оценить прилегающие мягкие ткани. Травма от разрыва или разрыва слизистой оболочки может привести к асимметричному увеличению ткани. Отек и гематомы имеют тенденцию к распространению выше и ниже в латеральном параларингеальном пространстве и могут вызывать объемный эффект различной степени по ходу дыхательных путей.

Острый надгортанный отек может быть следствием повреждения мягких тканей в результате ДТП. Если пассажир пристегнут, прямое воздействие от ремня безопасности или сработавшая подушка безопасности может привести к повреждению гортани.

Непристегнутый пассажир получит травму из-за механизм замедления, при котором передняя поверхность шеи ударяется о приборную панель, а голова о лобовое стекло. Сила удара разделяет дыхательные пути за счет верхней фиксации гортани, при этом трахея смещается вниз.

Изолированный отрыв надгортанника.

Тело надгортанника отрывается от основания в самом узком и наиболее уязвимом месте - стеблевидном прикреплении к щитовидному хрящу, называемому черешком.

Сопутствующие разрывы слизистой оболочки черпало-надгортанных складок могут привести к отслоению надгортанника от остальной части гортани. Массивный отек черпало-надгортанных складок может привести к медиализации мягких тканей и полной обструкции дыхательных путей.

Поражение мягких тканей гортани часто сочетается с подкожной эмфиземой.

Поражение слизистой висцерального пространства, которое содержит гортань и глотку, может продолжаться в грудную клетку. Сзади заглоточное пространство представлено рыхлой соединительной тканью, которая является потенциальным каналом распространения воздуха и инфекции между шеей и средостением. Дальнейшее продвижение воздуха ниже диафрагмы за счет сообщения субплеврального пространства с забрюшинным, через субсерозное в пищеводные и аортальные отверстия.

Переломы и вывихи гортани.

Переломы щитовидного хряща являются наиболее частым типом повреждения гортани. Передне-задний компрессионный механизм травмы обычно дает вертикально ориентированный парамедианный перелом, тогда как ручное удушение классически ведет к двусторонним горизонтально ориентированным трещинам. Вариации характера повреждения щитовидного хряща зависят от скорости, вектора силы, типа оружия и степени окостенения.

Передне-задняя компрессия также может привести к смещению нижнего рога щитовидного хряща, что приводит к вывиху перстнещитовидного хряща. При этом необходимо заподозрить травму возвратного нерва гортани. Повреждение нижнего гортанного нерва может привести к параличу задней перстнечерпаловидной мышцы и приводящей ипсилатеральной голосовой складки.

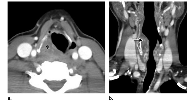
Рис 1. Надгортанная гематома у мужчины 25 лет с болью в шее после колющей травмы ручкой. Не было ни разрыва кожи, ни раневого канала инородного тела при осмотре, чтобы предположить проникающую травму. (а) На КТ в аксиальной плоскости видна правосторонняя надгортанная гематома со сглаживанием грушевидной пазухи (*). (b) На КТ в корональной плоскости видны деформация и сужение дыхательных путей из-за надгортанной гематомы (стрелка).
Рис 1. Надгортанная гематома у мужчины 25 лет с болью в шее после колющей травмы ручкой. Не было ни разрыва кожи, ни раневого канала инородного тела при осмотре, чтобы предположить проникающую травму. (а) На КТ в аксиальной плоскости видна правосторонняя надгортанная гематома со сглаживанием грушевидной пазухи (*). (b) На КТ в корональной плоскости видны деформация и сужение дыхательных путей из-за надгортанной гематомы (стрелка).
Рис. 2. Отрыв надгортанника у 19-летнего парня, который был водителем в ДТП. (а) КТ в аксиальной плоскости показывает значительный отек эндоларингеальной слизистой оболочки (стрелки). (b) КТ в сагиттальной плоскости показывает повреждение мягких тканей с гематомой мягких тканей и отеком оторванного надгортанника. Верхняя часть надгортанника отделяется от места его прикрепления, создавая воздушный зазор (*). (c) Рисунок показывает отрыв надгортанника на черешке. (d) Изображение исходного ларингоскопического исследования показывает выраженный отек надгортанных мягких тканей (*) со стенозом дыхательных путей. (e) Эндоскопическое изображение через 7 месяцев-отмечается формированием фиброзной рубцовой ткани (*), что приводит к стенозу и стридору. Рубцовая ткань была удалена эндоскопически.
Рис. 2. Отрыв надгортанника у 19-летнего парня, который был водителем в ДТП. (а) КТ в аксиальной плоскости показывает значительный отек эндоларингеальной слизистой оболочки (стрелки). (b) КТ в сагиттальной плоскости показывает повреждение мягких тканей с гематомой мягких тканей и отеком оторванного надгортанника. Верхняя часть надгортанника отделяется от места его прикрепления, создавая воздушный зазор (*). (c) Рисунок показывает отрыв надгортанника на черешке. (d) Изображение исходного ларингоскопического исследования показывает выраженный отек надгортанных мягких тканей (*) со стенозом дыхательных путей. (e) Эндоскопическое изображение через 7 месяцев-отмечается формированием фиброзной рубцовой ткани (*), что приводит к стенозу и стридору. Рубцовая ткань была удалена эндоскопически.
Рис. 3. Эмфизема легких у мужчины 25 лет с острой ножевой травмой шеи. (а) На КТ в корональной плоскости визуализируется эмфизема мягких тканей шеи (черная стрелка) с дополнительным газом в верхней части живота вокруг желудка (белая стрелка). (b) КТ в сагиттальной плоскости показывает внепросветный газ (стрелки), распространяющийся от шеи через заднее средостение в поддиафрагмальное пространство вокруг желудка. Обратите внимание, что газ находится в забрюшинном пространстве.
Рис. 3. Эмфизема легких у мужчины 25 лет с острой ножевой травмой шеи. (а) На КТ в корональной плоскости визуализируется эмфизема мягких тканей шеи (черная стрелка) с дополнительным газом в верхней части живота вокруг желудка (белая стрелка). (b) КТ в сагиттальной плоскости показывает внепросветный газ (стрелки), распространяющийся от шеи через заднее средостение в поддиафрагмальное пространство вокруг желудка. Обратите внимание, что газ находится в забрюшинном пространстве.
Рис. 4. Переломы щитовидного хряща у 66-летнего мужчины с осиплостью голоса и одинофагией (боль в пищеводе при прохождении пищи) после удара по шее хоккейной клюшкой. (а, б) На КТ в аксиальной плоскости виден вдавленный перелом левой пластинки щитовидного хряща (стрелка на а) и перелом без смещения через правую пластинку щитовидного хряща (стрелка на б). (c) Корональное изображение в MIP-реконструкции более четко показывает протяженность косого перелома (стрелки). (г) Корональная 3D-реконструкция, КТ-ангиография показывает слегка вдавленный контур щитовидного хряща в месте травмы (стрелки). (e) Эндоскопическое изображение во время острой травмы показывает двусторонние гематомы мягких тканей и отек. (f) Эндоскопическое изображение через 6 месяцев-значительное улучшение с рассасыванием гематом и сохранением функций голосовых связок при видеоларингоскопии (не показано).
Рис. 4. Переломы щитовидного хряща у 66-летнего мужчины с осиплостью голоса и одинофагией (боль в пищеводе при прохождении пищи) после удара по шее хоккейной клюшкой. (а, б) На КТ в аксиальной плоскости виден вдавленный перелом левой пластинки щитовидного хряща (стрелка на а) и перелом без смещения через правую пластинку щитовидного хряща (стрелка на б). (c) Корональное изображение в MIP-реконструкции более четко показывает протяженность косого перелома (стрелки). (г) Корональная 3D-реконструкция, КТ-ангиография показывает слегка вдавленный контур щитовидного хряща в месте травмы (стрелки). (e) Эндоскопическое изображение во время острой травмы показывает двусторонние гематомы мягких тканей и отек. (f) Эндоскопическое изображение через 6 месяцев-значительное улучшение с рассасыванием гематом и сохранением функций голосовых связок при видеоларингоскопии (не показано).
Рис. 5. Множественные переломы со смещением у 37-летний мужчины после удушения руками. На КТ в аксиальной плоскости определяется перелом со смещением щитовидного хряща (белая стрелка) и двустороннее смещение черпаловидных хрящей (черные стрелки). Передние и задние гематомы (*).
Рис. 5. Множественные переломы со смещением у 37-летний мужчины после удушения руками. На КТ в аксиальной плоскости определяется перелом со смещением щитовидного хряща (белая стрелка) и двустороннее смещение черпаловидных хрящей (черные стрелки). Передние и задние гематомы (*).
Рис. 6. Перелом перстневидного хряща у 39-летнего мужчины, который был пристегнутым пассажиром в ДТП. (а) На фотографии внешнего физикального осмотра видна эритема шеи в месте повреждения ремнем безопасности. (b) КТ в аксиальной плоскости показывает неравномерность левой голосовой складки с фокальным газом возле прикрепления к левому черпаловидному отростку (стрелка). Обширная эмфизема мягких тканей. (c) КТ в аксиальной плоскости - перелом левого перстневидного хряща со смещением (черная стрелка). Имеется эмфизема заглоточного/предпозвоночного пространств и утолщение мягких тканей задней стенки глотки (белые стрелки) в соответствии с задней компрессионной травмой.
Рис. 6. Перелом перстневидного хряща у 39-летнего мужчины, который был пристегнутым пассажиром в ДТП. (а) На фотографии внешнего физикального осмотра видна эритема шеи в месте повреждения ремнем безопасности. (b) КТ в аксиальной плоскости показывает неравномерность левой голосовой складки с фокальным газом возле прикрепления к левому черпаловидному отростку (стрелка). Обширная эмфизема мягких тканей. (c) КТ в аксиальной плоскости - перелом левого перстневидного хряща со смещением (черная стрелка). Имеется эмфизема заглоточного/предпозвоночного пространств и утолщение мягких тканей задней стенки глотки (белые стрелки) в соответствии с задней компрессионной травмой.
Рис. 7. Ложный ход, созданный во время интубации у 56-летнего мужчины, получившего удар кулаком в шею. Сначала появилась хрипота голоса, затем быстро появилась одышка. (а) Экстренная оротрахеальная интубация (1) не привела к вентиляции легких пациента, затем была выполнена экстренная крикотиреоидотомия (2). В последующем, после установления контроля над дыхательными путями, была проведена интраоперационная трахеостомия (3). (b) КТ в аксиальной плоскости показывает оротрахеальную трубку (черная стрелка), расположенную позади перстневидного хряща. Трахеостома проходит от начатой крикотироидотомии (белая стрелка), через сломанный щитовидный хрящ в ложный проход в пределах левой истинной голосовой связки перед входом в дыхательные пути (не показано). (c) Сагиттальное изображение КТ показывает оротрахеальную трубку (черная стрелка), идет в заглоточном пространстве позади дыхательных путей, доступ к которым осуществляется через трубку для крикотиреоидотомии (белая стрелка).
Рис. 7. Ложный ход, созданный во время интубации у 56-летнего мужчины, получившего удар кулаком в шею. Сначала появилась хрипота голоса, затем быстро появилась одышка. (а) Экстренная оротрахеальная интубация (1) не привела к вентиляции легких пациента, затем была выполнена экстренная крикотиреоидотомия (2). В последующем, после установления контроля над дыхательными путями, была проведена интраоперационная трахеостомия (3). (b) КТ в аксиальной плоскости показывает оротрахеальную трубку (черная стрелка), расположенную позади перстневидного хряща. Трахеостома проходит от начатой крикотироидотомии (белая стрелка), через сломанный щитовидный хрящ в ложный проход в пределах левой истинной голосовой связки перед входом в дыхательные пути (не показано). (c) Сагиттальное изображение КТ показывает оротрахеальную трубку (черная стрелка), идет в заглоточном пространстве позади дыхательных путей, доступ к которым осуществляется через трубку для крикотиреоидотомии (белая стрелка).
Рис. 8. Изменения оссификации хрящей гортани в зависимости от возраста и пола. (а) КТ в аксиальной плоскости-кальцинированные хрящи гортани у 65-летнего мужчины. (b) неоссифицированные хрящи гортани у 38-летней женщины.
Рис. 8. Изменения оссификации хрящей гортани в зависимости от возраста и пола. (а) КТ в аксиальной плоскости-кальцинированные хрящи гортани у 65-летнего мужчины. (b) неоссифицированные хрящи гортани у 38-летней женщины.
Рис. 9 На КТ в аксиальной плоскости наблюдается нарушение целостности правой пластинки щитовидного хряща. Необходимо дифференцировать с ходом верхнего гортанного нерва или неравномерной оссификацией.
Рис. 9 На КТ в аксиальной плоскости наблюдается нарушение целостности правой пластинки щитовидного хряща. Необходимо дифференцировать с ходом верхнего гортанного нерва или неравномерной оссификацией.

Источники:

  1. Multidetector CT of Laryngeal Injuries: Principles of Injury Recognition. Junzi Shi, MD Jennifer W. Uyeda, MD Alejandra Duran-Mendicuti, MD Christopher A. Potter, MD Diego B. Nunez, MD, MPH Abbreviations: MIP = maximum intensity projection, 3D = three-dimensional RadioGraphics 2019; 39:879-892
  2. https://radiopaedia.org/articles/laryngeal-trauma
  3. https://www.ejradiology.com/article/S0720-048X(13)00552-4/fulltext
-11