Добавить в корзинуПозвонить
Найти в Дзене

У ребёнка 3х месяцев УЗИ показало смещение 3го шейного позвонка. Рассказываю маме чем это чревато и что делать

Здравствуйте, Александра! Моему ребёнку 3,4 месяца, всегда находится в напряжении, прошли курс массажа , но тонус полностью не ушёл.
Узи шеи показало, что есть смещение 3го позвонка, но ортопед говорит, что по узи невозможно определить и при обычном осмотре не выявил каких-либо нарушений.
Подскажите, возможно ли все-таки что беспокойное состояние ребёнка из-за смещения шейных позвонков? Чем это ещё может быть чревато?
В роддоме нам поставили диагноз синдром гипервозбудимости. На УЗИ у младенца мы видим пока ещё хрящевые ткани позвонков. Их ротации, смещения и наклоны в ту или иную сторону, если говорить про шею. Видим именно ткань самих позвонков, и то, что они находятся в неверном расположении друг относительно друга. Но позвонки не сами так встали.
Их кто-то заставил.
Кто же это? Наклон создастся напряжением по мягким фасциальным (соединительно-тканным) структурам позвоночника - это связки сухожилия, мышечные оболочки, твёрдая мозговая оболочка (в ней помещается спинной мозг), над
Оглавление

Здравствуйте, Александра! Моему ребёнку 3,4 месяца, всегда находится в напряжении, прошли курс массажа , но тонус полностью не ушёл.
Узи шеи показало, что есть смещение 3го позвонка, но ортопед говорит, что по узи невозможно определить и при обычном осмотре не выявил каких-либо нарушений.
Подскажите, возможно ли все-таки что беспокойное состояние ребёнка из-за смещения шейных позвонков? Чем это ещё может быть чревато?
В роддоме нам поставили диагноз синдром гипервозбудимости.

На УЗИ у младенца мы видим пока ещё хрящевые ткани позвонков. Их ротации, смещения и наклоны в ту или иную сторону, если говорить про шею.

Видим именно ткань самих позвонков, и то, что они находятся в неверном расположении друг относительно друга.

Но позвонки не сами так встали.
Их кто-то заставил.
Кто же это?

Наклон создастся напряжением по мягким фасциальным (соединительно-тканным) структурам позвоночника - это связки сухожилия, мышечные оболочки, твёрдая мозговая оболочка (в ней помещается спинной мозг), надкостница.

При этом какая именно связка, сухожилие, мышечная оболочка, надкостница создаёт это напряжение мы не знаем. Аппарат УЗИ или МРТ их просто не видит. Или видит, как общую мало или совсем недифференцированную массу.

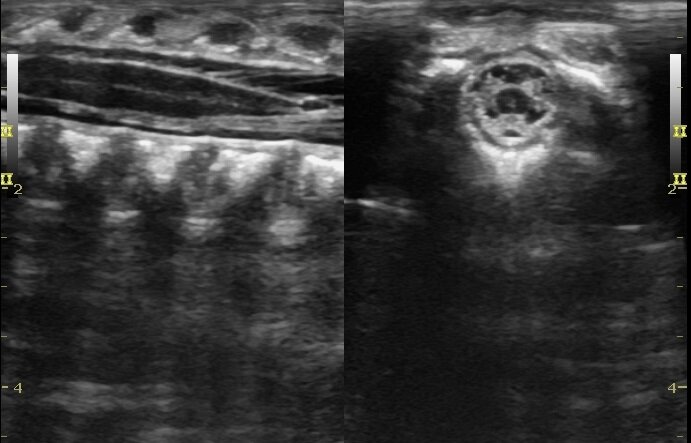
Фото результатов УЗИ шейного отдела позвоночника младенца.
Фото результатов УЗИ шейного отдела позвоночника младенца.

Получается у нас есть

  • данные УЗИ о смещении
  • проблемы с психо-эмоциональным состоянием ребёнка с рождения

Напрашивается вывод

есть патологическое одностороннее напряжения тканей в области основания черепа и верха шейного отдела с рождения. Значит имела место какая-то травматизация внутриутробная или в родах.

ОТВЕТ на вопрос мамы

Да, конечно, именно из-за смещение позвонка / позвонков в этой области и возникает психоэмоциональное расстройство ребёнка.

При смещении сдавливаются, меняют форму:

  • сосуды, по которым идёт питание мозга
  • столб спинного мозга, по которому идут от головы ко всем органам нервные импульсы

Получается недостаточное питание головного мозга и напряжение тока нервных сигналов в области верха шейного отдела.

-3

Чем ещё м.б. чревата ситуация:

  • недоразвитием структуры коры головного мозга
  • нарушением формирования головного мозга в целом
  • нарушением формирования и функционирования многих когнитивных функций (внимания, речи, памяти и т.д.)
  • нарушением формирования функции рук
  • формированием асимметрий в позвоночнике и, как следствие, во всём теле (сколиоз, плоскостопие)
  • нарушение горизонтальных линий грудобрюшной диафрагмы и тазового кольца и дна и, как следствие, смещением со своих мест внутренних органов к ним вязками прикреплённым (возникновение болезней внутренних органов)

РЕКОМЕНДУЮ обратить внимание

  • на наличие привычного наклона или поворота головы
  • на возможную асимметрию в положении тела и движениях
  • на симметричность использования рук
  • на то какими именно мышцами удерживает голову, в положении столбиком и лёжа на животе

Если видите нарушения и здесь, то срочно нужна коррекция, пока фундамент всех вышеописанных дисфункций только начал закладываться и его легко починить.

СРОЧНО пора ДЕЙСТВОВАТЬ

  • снимать напряжение с самих тканей и причины их напряжения
  • освобождать сосуды и спинной мозг от ущемления, создавая нормальный ток крови и нервного импульса
  • создавать верный двигательный и постуральный стереотипрезультат

① С помощью остеопатии

можно снимать напряжение с тканей, которые заставляют позвонок выходить из позвоночного столба, и с причины, которая заставляет эти ткани сокращаться.

Причём, остеопат руками и определяет место, где именно и какие ткани напряжены и тут же запускает процесс по коррекции натяжения по этим и смежным тканям.

👶 Сосуды и спинной мозг освободятся от ущемления, создавая нормальный ток крови и нервного импульса.

②. С помощью специальных укладок
и способов ношения

можно создавать верный постуральный стереотип. Это и позиционирование во время сна. Это и специальные неврологические укладки в процессе игр и стимуляций ребёнка к активности. Это и корригирующее ношение ребёнка на руках.

Показать эти ношения, укладки и работу в них может двигательный терапевт / детский реабилитолог.

👶 Ткани шеи и всего тела закрепят новое положение и создадутся новые нейронные связи.

③ С помощью специальных упражнений и фасилитаций

можно сформировать верный двигательный стереотип с новым положением шей. Убрать из тела и рук те компенсации, которые создал мозг, дабы подстроиться под ситуацию со смещённым позвонком.

Обучить им этим упражнениям и фасилитациям может двигательный терапевт / детский реабилитолог. Выполнять их нужно будет ежедневно родителям.

👶 Ребёнок начнёт хорош держать голову и качественно осваивать последующие движения и навыки.

Массаж непосредственно

на коррекцию данной ситуации повлиять НЕ может. Нежными процедурами "маминого массажа" можно замечательно дополнить процесс реабилитации.

👶 Нежный тактильный контакт, стимуляция рецепторов кожи, выходящая из маминых рук знакомая и необходимая ребёнку энергия поможет малышу успокаиваться и налаживать эмоциональное состояние.

Могу помочь в данной и подобных ситуациях

-4