Добавить в корзинуПозвонить
Найти в Дзене
Bizmedia.kz

80-летняя жительница Сахалина жила всю жизнь с иглой в мозгу

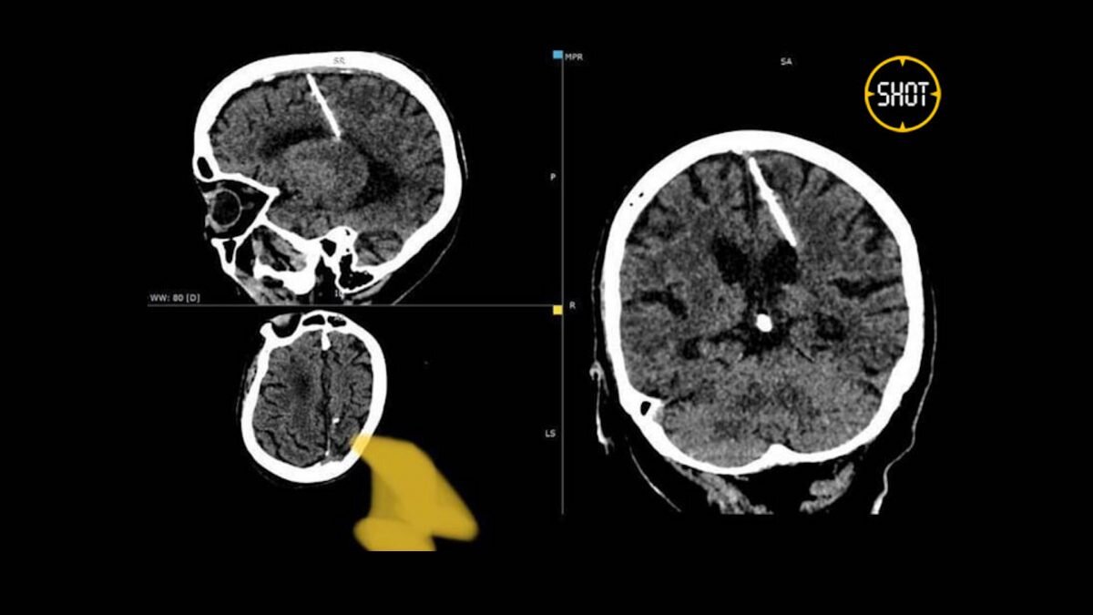
В мозге 80-летней жительницы Сахалина обнаружили трёхсантиметровую иглу, которая находилась там всю её жизнь. Иглу нашли случайно при проведении компьютерной томографии, и медики решили не доставать её, чтобы не навредить здоровью пациентки. Об этом сообщает Bizmedia.kz. 80-летняя жительница Сахалина жила всю жизнь с иглой в мозгу В мозге 80-летней жительницы сахалинского региона была обнаружена необычная находка — игла длиной в три сантиметра. По информации, размещенной в Telegram-канале Shot, женщина не была осведомлена о присутствии чужеродного объекта в течение всего своего века. Случайное открытие было сделано рентгенологами во время выполнения компьютерной томографии. «Считается, что родители женщины втащили иглу в ее голову при рождении во время военных трудностей, в надежде на ее гибель. Однако малышка пережила эту травму, и, что удивительно, никогда не жаловалась на головные боли», — говорится в сообщении. Врачи приняли решение не извлекать иглу из головы сахалинки, чтобы избе
   Фото: Telegram-канал Shot Август Макаров
Фото: Telegram-канал Shot Август Макаров

В мозге 80-летней жительницы Сахалина обнаружили трёхсантиметровую иглу, которая находилась там всю её жизнь. Иглу нашли случайно при проведении компьютерной томографии, и медики решили не доставать её, чтобы не навредить здоровью пациентки. Об этом сообщает Bizmedia.kz.

80-летняя жительница Сахалина жила всю жизнь с иглой в мозгу

В мозге 80-летней жительницы сахалинского региона была обнаружена необычная находка — игла длиной в три сантиметра. По информации, размещенной в Telegram-канале Shot, женщина не была осведомлена о присутствии чужеродного объекта в течение всего своего века.

Случайное открытие было сделано рентгенологами во время выполнения компьютерной томографии.

«Считается, что родители женщины втащили иглу в ее голову при рождении во время военных трудностей, в надежде на ее гибель. Однако малышка пережила эту травму, и, что удивительно, никогда не жаловалась на головные боли», — говорится в сообщении.

Врачи приняли решение не извлекать иглу из головы сахалинки, чтобы избежать возможного ущерба. Текущее состояние здоровья пациентки не вызывает опасений.