Найти в Дзене
Клиники Президент

«Боюсь сверлить челюсть»: правда об имплантации

Если вы задумались об имплантации, то сначала прочтите эту статью! Мы расскажем, что вас ждет на самом деле, без прикрас: правду об имплантации, гарантии, отеках, ограничениях и рисках. На самые «болезненные» вопросы ответил Максим Александрович Белкин — стоматолог-хирург-имплантолог клиники «ПрезиДЕНТ» на Фрунзенской набережной, специалист в области All-on-4 и All-on-6. Вы знали, что почти у каждого человека отсутствует хотя бы один зуб? Иногда жевательный, иногда передний (чаще, конечно, жевательные), зубы мудрости в расчет не берутся. Неудивительно, что имплантация так популярна. Имплантация — это…? Все, на самом деле, очень просто. Это вкручивание металлического (выполненного из медицинского титана) шурупа в костную ткань [1]. Имплантат устанавливается строго в то положение, которое обеспечит правильную фиксацию нового зуба [2]. Как подготовиться к имплантации? В день операции пациент должен обязательно поесть и почистить зубы. Также одним из самых главных моментов является проведе
Оглавление

Если вы задумались об имплантации, то сначала прочтите эту статью! Мы расскажем, что вас ждет на самом деле, без прикрас: правду об имплантации, гарантии, отеках, ограничениях и рисках.

На самые «болезненные» вопросы ответил Максим Александрович Белкин стоматолог-хирург-имплантолог клиники «ПрезиДЕНТ» на Фрунзенской набережной, специалист в области All-on-4 и All-on-6.

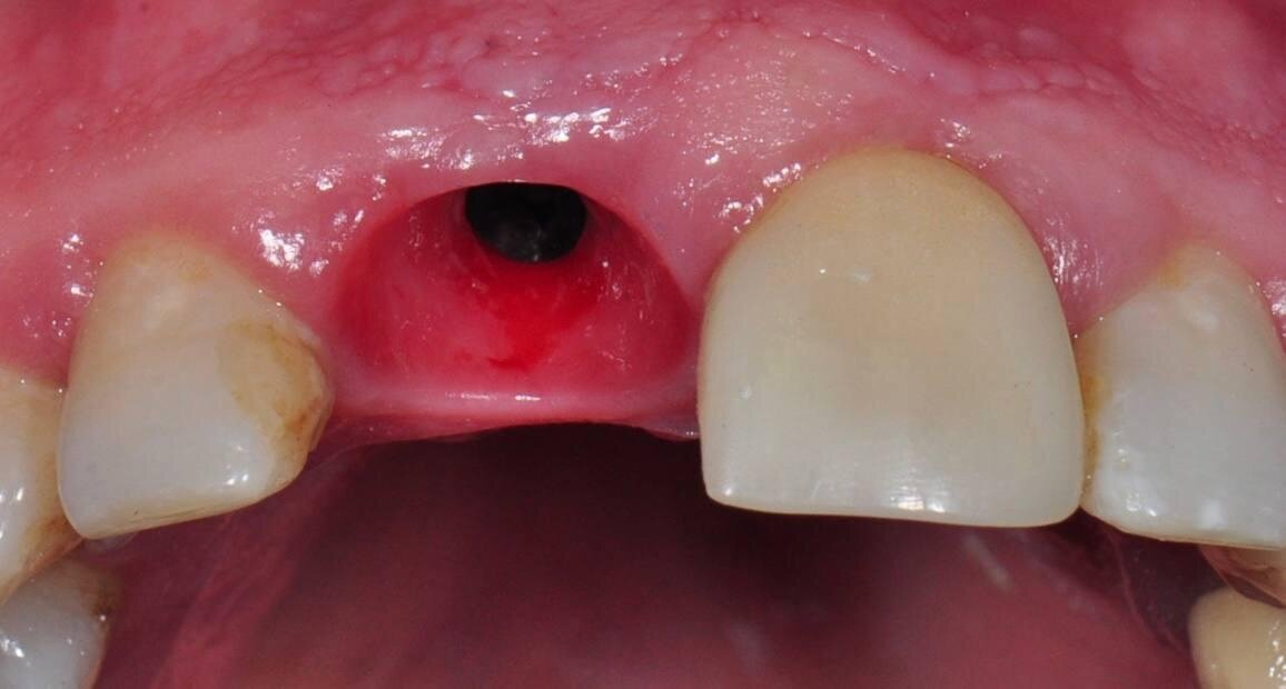
Имплантация и протезирование. Фото “до” и “после”.
Имплантация и протезирование. Фото “до” и “после”.

Вы знали, что почти у каждого человека отсутствует хотя бы один зуб? Иногда жевательный, иногда передний (чаще, конечно, жевательные), зубы мудрости в расчет не берутся. Неудивительно, что имплантация так популярна.

Имплантация — это…?

Все, на самом деле, очень просто. Это вкручивание металлического (выполненного из медицинского титана) шурупа в костную ткань [1]. Имплантат устанавливается строго в то положение, которое обеспечит правильную фиксацию нового зуба [2].

Как подготовиться к имплантации?

В день операции пациент должен обязательно поесть и почистить зубы.

Также одним из самых главных моментов является проведение профессиональной гигиены полости рта. Зубные отложения содержат в себе большое количество инфекций, и невнимание к ним увеличивает риск воспалений после операции.

Как проходит операция?

Технически процесс состоит из ряда этапов.

1. Проводится местная анестезия.

2. Далее следует разрез десны.

3. После этого в дело идут фрезы. Что это за фрезы? Они представляют собой специальные сверла определенных размеров.

Фрезы используются в строгой последовательности, и финальное сверло бывает чуть уже диаметра имплантата. С помощью фрез врач подготавливает костное ложе для нового зуба.
Фрезы используются в строгой последовательности, и финальное сверло бывает чуть уже диаметра имплантата. С помощью фрез врач подготавливает костное ложе для нового зуба.

4. Имплантат вкручивают.

5. Производится небольшая пластика (коррекция) мягких тканей для того, чтобы будущий зуб не отличался от настоящего и был окружен красивой и объемной десной.

6. В имплантат вкручиваются специальные детали, служащие переходной частью для зубов или формирования красивого контура десны.

7. Рана ушивается.

8. Проводится рентгенологический контроль.

Это очень больно?

Операция проводится под местной анестезией. Самое сложное — потерпеть укол, и если этот этап пройден — можно полностью расслабиться. Не стоит удивляться тому, что вы ощущаете прикосновения доктора, давление на челюсть: пациент остается в сознании, но не чувствует боли.

Можно провести операцию и под наркозом, если у человека:

  • непреодолимый страх,
  • аллергические реакции на местные анестетики,
  • психологические проблемы.

Будет отек на все лицо?

Да, это возможно. Любая операция, даже самая маленькая, травмирует ткани. Отек — это нормальная реакция организма. На некоторое время он может смущать визуально, но за 3-4 дня полностью сходит. Иногда возможны гематомы, но они случаются очень редко и совершенно безболезненны.

Хочется отметить, что если имплантат ставить в один день с удалением зуба, то после операции боль и отек практически отсутствуют. Если зуба не было какое-то время, то отек может быть более выраженным, но не выходящим за рамки разумного.

Об имплантации за 1 день можно прочитать здесь.

«Меня ждет долгое восстановление? Я не могу брать большой больничный!»

Послеоперационный период, как правило, безболезненный. Длится он, как и отек, 3-4 дня. Прием простых анальгетиков в течение 2-3 дней может полностью решить проблему отечности. Бессонные ночи и приступообразные боли почти никогда не наблюдаются.

А вдруг имплантат выпадет?

Да, такое случается, и это факт. Но переживать не стоит: имплантат в этом случае заменяется без финансовых затрат для нашего пациента.

Помните, что никогда никто не может гарантировать 100%-ый результат лечения. Если доктор рассказывает об абсолютно точном успехе, то это неправда. Всегда остается вероятность неудачи, но она совершенно небольшая.

2 имплантата и мостовидный протез на трехмерной модели челюсти.
2 имплантата и мостовидный протез на трехмерной модели челюсти.

Пока я жду приживления имплантов, нужно ходить без зубов?

Есть разные варианты: с фиксацией зубов и без.

Если это передняя зона, то доктор может “прикрутить” временный зуб к имплантату сразу после операции. Он выполняет исключительно декоративную функцию: им нельзя что-то кусать.

В жевательном отделе возможна фиксация временной ортопедической конструкции на нескольких имплантатах. Пациент может есть, но с определенной осторожностью.

«Боюсь, что с имплантом я буду звенеть, проходя через рамки, ведь это кусок металла…»

Имплантат не ведет себя, как инородное тело. Он не проявляет себя при проходе, например, через рамки входа в аэропорты. После заживления мягких тканей человек живет без ограничений. Исключение: поддержание гигиены полости рта на высоком уровне (это увеличивает срок службы имплантата).

О профессиональной гигиене полости рта можно прочитать здесь.

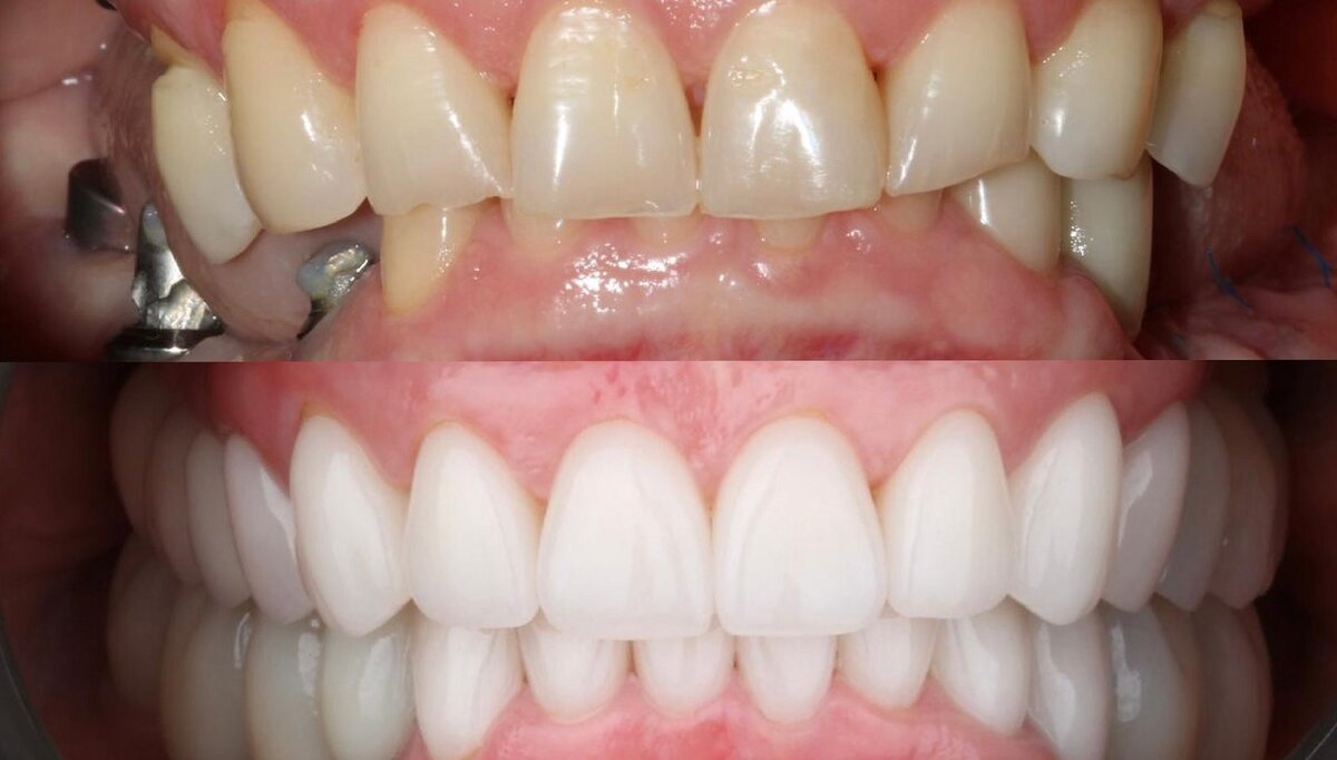
Преображение пациента: фото до лечения и после имплантации.
Преображение пациента: фото до лечения и после имплантации.

Какая гарантия у имплантатов?

Гарантия не бывает менее трех лет с момента операции. Есть системы имплантатов, имеющие довольно приятные условия, включающие в себя пожизненную гарантию.

Эту информацию пациент получает во время планирования операции и принимает решение о выборе системы, взвесив все «за» и «против».

Официальная гарантия — это хорошо. Но есть также имя и совесть доктора. Добросовестный врач никогда не позволит себе бросить пациента, у которого возникли проблемы в ходе лечения.

Еще больше информации по этому вопросу в статье «Зубной имплант — это точно на всю жизнь?»

Что может помешать имплантации?

Препятствия для операции немногочисленны:

- хронические заболевания в фазе декомпенсации (отсутствия у организма сил бороться без постоянной медицинской помощи),

- заболевания крови и соединительной ткани,

- аутоиммунные и онкологические заболевания,

- неконтролируемые психиатрические состояния.

Сахарный диабет, курение, повышенное артериальное давление — относительные противопоказания, требующие рассмотрения в индивидуальном порядке [3].

Про имплантацию и протезирование у пациентов за 60 читайте здесь.

Лечение в цифрах (цены клиники на Фрунзенской)

Импланты Dentium — от 35 000 рублей

Импланты Straumann — от 50 000 рублей

Временная коронка на имплантат — от 10 000 рублей

Металлокерамическая коронка на имплантат — от 37 000 рублей

Циркониевая коронка на имплантат — от 50 000 рублей

Материал подготовлен при участии Максима Александровича Белкина стоматолога-хирурга-имплантолога клиники «ПрезиДЕНТ» на Фрунзенской набережной, специалиста в области All-on-4 и All-on-6. В статье использованы фотографии операций, выполненных Максимом Александровичем.

Источники: