Добавить в корзинуПозвонить
Найти в Дзене

Мне 65 лет и остались только корни зубов, что делать – вопрос от подписчика

В пожилом возрасте по разным причинам остаются только их корни или зубы сильно стерты, шатаются, выпадают. Что делать? Как вернуть улыбке привлекательный вид, говорить и жевать с комфортом? Специально для пациентов преклонного возраста расскажем – что делать, когда остался только зубной корень, что может предложить врач. Что лучше: удалить или сохранить? Что насчет имплантации – хорошее ли решение в этой ситуации? Что, если остался только зубной корень? Коронковая часть зубной единицы может отколоться целиком или обломиться ее значительный кусочек. Причины: Есть только два варианта лечения: реставрация (восстановление) или удаление. Выбор зависит от состояния корневых каналов и окружающих тканей, наличия воспалений, общего здоровья пациента. Когда и как нужно восстанавливать корневую часть зуба? Реставрация возможна, если: Для восстановления используют коронку на культевой вкладке. Это обеспечивает надежную фиксацию, правильную нагрузку на корневую часть. Изготавливают из диоксида цирк
Оглавление

В пожилом возрасте по разным причинам остаются только их корни или зубы сильно стерты, шатаются, выпадают. Что делать? Как вернуть улыбке привлекательный вид, говорить и жевать с комфортом?

Специально для пациентов преклонного возраста расскажем – что делать, когда остался только зубной корень, что может предложить врач. Что лучше: удалить или сохранить? Что насчет имплантации – хорошее ли решение в этой ситуации?

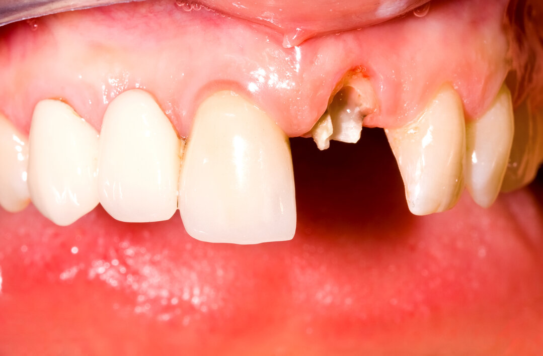
Что, если остался только зубной корень?

Коронковая часть зубной единицы может отколоться целиком или обломиться ее значительный кусочек.

Причины:

  • Повреждение зубной единицы в результате травмы.
  • Несвоевременное лечение кариеса влияет разрушительно.
  • Пародонтит / пародонтоз – серьезное воспалительное заболевание десен и костей, окружающих зуб.
  • Депульпированные зубные единицы долгое время не покрывают коронками.

Есть только два варианта лечения: реставрация (восстановление) или удаление. Выбор зависит от состояния корневых каналов и окружающих тканей, наличия воспалений, общего здоровья пациента.

Когда и как нужно восстанавливать корневую часть зуба?

Реставрация возможна, если:

  • Корень твердый, не шатается, немного выходит за уровень десны (2 мм).
  • Хорошо запломбированы корневые каналы, нет кариозного процесса.
  • Отсутствуют трещины, гранулемы или кисты на верхушке корня.
  • Нет воспаления в костной ткани вокруг корневой части.
Для восстановления используют коронку на культевой вкладке. Это обеспечивает надежную фиксацию, правильную нагрузку на корневую часть. Изготавливают из диоксида циркония, устанавливают в корневые каналы. На нее ставят коронку.

Оценка состояния зубов

Диагностика и оценка состояния полости рта – важные шаги для принятия верного решения относительно сохранения или удаления зубных корней. Нужно комплексное обследование у стоматолога. Включает рентгенографию, панорамный снимок, компьютерную томографию.

-2

Помогает увидеть состояние корней, костной ткани вокруг них, другие проблемы, которые не всегда видны на внешнем осмотре. Можно проверить наличие сопутствующих заболеваний, например, пародонтит, кариес. Узнать, есть ли воспалительный процесс в корневой системе.

Когда нужна имплантация зубов?

Представим пациента преклонного возраста, у которого нет зубов, остались только их корневые части. Если корни повреждены, имеют трещину, воспалительный процесс, нестабильны или их каналы плохо запломбированы, врач рекомендует их удалить. После извлечения корневой части и устранения воспаления, начинает подготовку к установке имплантов. При полной адентии применяет одну из следующих методик (в зависимости от клинической картины): All-on-4, All-on-6 или Zygoma.

Когда нужно удалить корни зубов?

С возрастом кости челюсти становятся менее плотными. Реставрация даже неповрежденных, неинфицированных корней в этом случае может быть не самым надежным, долгосрочным решением. Установка имплантов предоставляет более надежную основу для зубных протезов. Они вставляются в кость челюсти, конструкции на них стоят крепко и долго. Современные методы и материалы позволяют успешно установить импланты пожилым даже при недостаточной костной плотности.

Пример имплантации – когда остались только корни зубов

Пациентка 60 лет обратилась в клинику с жалобами на сложность нормального пережевывания пищи, проблемы с дикцией, отсутствие эстетики. Мы осмотрели полость рта, провели диагностическое обследование. Поставили диагноз – частичная вторичная адентия, генерализованный пародонтит.

-3

Подготовили для нее индивидуальный план лечения. Удалили все оставшиеся корни, подвижные зубные единицы. Устранили воспалительный процесс. Подготовили 3D-модель челюсти. Установили 5 имплантатов на нижнюю челюсть. На верхнюю поставили 6 искусственных опор по технологии «All-on-6». В тот же день нагрузили их временным несъемным протезом.

-4

«Были серьезные проблемы с зубами. Врачи предложили мне установку несъемных протезов на имплантатах. Все прошло гладко и безболезненно, очень довольна результатом. Теперь у меня красивая улыбка, могу наслаждаться едой без боли, дискомфорта. Благодарна врачам за их участие, заботу, высокий уровень профессионализма».

-5

Как ухаживать за имплантами пожилым?

  • Регулярно посещать стоматолога для контроля и профессиональной гигиены полости рта (два раза в год).
  • Тщательно чистить новые зубы мягкой зубной щеткой и пастой, использовать зубную нить для чистки межзубных промежутков.
  • Избегать использование табачных изделий – замедляет заживление тканей, увеличивает риск осложнений.
  • Следить за питанием, избегать жесткой пищи – может повредить имплантатам или десне.
  • При наличии хронических заболеваний следовать рекомендациям своего врача, например, эндокринолога или кардиолога. Не допустить обострение болезней.
  • При появлении каких-либо необычных симптомов обратиться к стоматологу для проверки состояния имплантатов, окружающих тканей.
Правильный уход за имплантатами и соблюдение всех рекомендаций врача помогут возрастным пациентам улучшить качество жизни и самочувствие на многие годы!

Итак, если у вас остались только зубные корни – не откладывайте заботу о своем здоровье!

Экспертные статьи по теме:

Контакты Центра имплантации доктора Федорова: