Добавить в корзинуПозвонить
Найти в Дзене
Советы стоматолога

"Ну стоит же!", - или почему пломбы надо менять

Нередко на приеме я говорю пациенту, что некоторые его пломбы подлежат замене по определенным причинам. На что я получаю удивленный взгляд и возражения, мол, пломбы стоят уже –дцать лет, и с ними все в порядке (потому что они никак не беспокоят). На деле все немного иначе, и ниже я хочу объяснить, почему нужно следовать рекомендациям врача, расскажу, как лучше всего лечить зуб и покажу фотографии зубов для наглядности. Обычно это главный аргумент пациента. Логика тут есть: если пломба вылетает, значит, есть проблема. Если стоит – все нормально. Давайте сначала разберемся, зачем вообще ставится пломба. Самая распространенная болезнь зубов – кариес. Кариесогенные бактерии своими кислотами разъедают эмаль, и появляется кариес, который углубляется внутрь зуба. Задача стоматолога заключается в том, чтобы убрать все патологические ткани зуба и оставить здоровые. А дефект закрывается пломбировочным материалом, который восстанавливает первоначальную форму зуба и функцию жевания, а также не пу
Оглавление

Нередко на приеме я говорю пациенту, что некоторые его пломбы подлежат замене по определенным причинам. На что я получаю удивленный взгляд и возражения, мол, пломбы стоят уже –дцать лет, и с ними все в порядке (потому что они никак не беспокоят).

На деле все немного иначе, и ниже я хочу объяснить, почему нужно следовать рекомендациям врача, расскажу, как лучше всего лечить зуб и покажу фотографии зубов для наглядности.

“Ну стоит же!”

Обычно это главный аргумент пациента. Логика тут есть: если пломба вылетает, значит, есть проблема. Если стоит – все нормально.

Давайте сначала разберемся, зачем вообще ставится пломба.

Самая распространенная болезнь зубов – кариес. Кариесогенные бактерии своими кислотами разъедают эмаль, и появляется кариес, который углубляется внутрь зуба. Задача стоматолога заключается в том, чтобы убрать все патологические ткани зуба и оставить здоровые. А дефект закрывается пломбировочным материалом, который восстанавливает первоначальную форму зуба и функцию жевания, а также не пускает бактерии обратно внутрь зуба.

Во время использования пломбы (хотим мы или нет) пломбировочный материал изнашивается, проедается, стирается, потому что он мягче эмали. К тому же пломба “приклеивается” к зубу с помощью специального клея, который по данным литературы разрушается через +/- 5 лет. Поэтому считается, что средний срок службы пломбы именно 5 лет, но она может простоять и дольше – срок службы зависит от многих факторов. Подробнее тут:

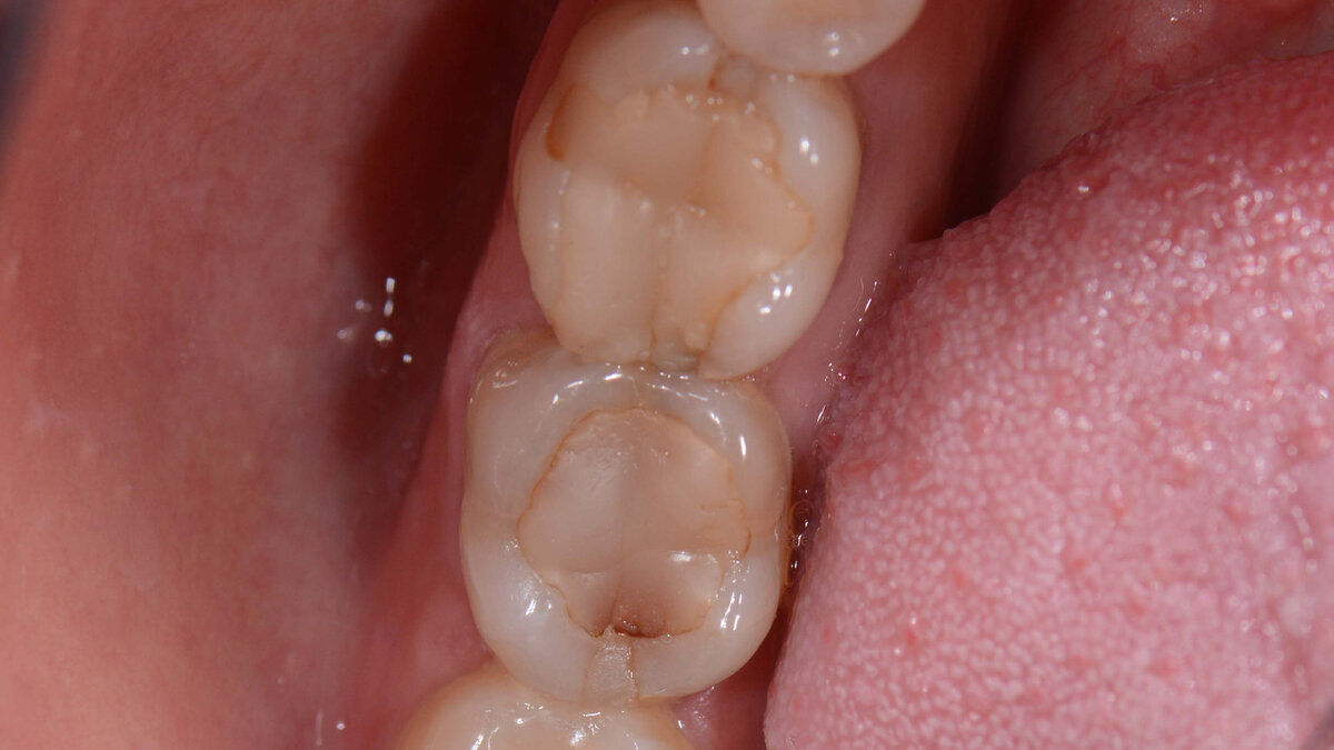
Стоматолог оценивает именно состоятельность пломбы, а не просто ее наличие в зубе. Если пломба проелась, стерлась, если нарушено краевое прилегание, если пломба имеет нависающий край и вредит десне, если есть кариес по границе пломба-зуб, то эта пломба подлежит замене, потому что зуб не жует как надо и незаметно разрушается. Особенно это касается депульпированных зубов (без нерва), потому что они никак не могут просигнализировать о наличии проблемы.

И для наглядности фото несостоятельных пломб:

“Лучше лишний раз зуб не трогать!”

Это можно услышать как от пациентов, так и от самих стоматологов. Аргументация простая – при замене пломбы высверливаются в том числе здоровые ткани зуба, и тот с каждым лечением становится более слабым. В конце концов когда-либо его придется депульпировать и нарядить в коронку.

Может, раньше это было действительно так. Но сейчас при лечении кариеса стоматологи стараются работать максимально аккуратно, чтобы не убрать ничего лишнего. К тому же во многих клиниках есть дентальный микроскоп, который позволяет не трогать здоровые ткани. Но если у вас под пломбой большой кариес, то врач, конечно, уберет все патологические ткани, и новая пломба будет по объему больше предыдущей.

В противном случае зуб будет медленно разрушаться, что рано или поздно приведет либо к дорогостоящему лечению и протезированию, либо к его удалению.

Другие интересные статьи канала: