Добавить в корзинуПозвонить
Найти в Дзене
Naked Science

Древний ретровирус обвинили в возникновении одного из самых агрессивных видов рака

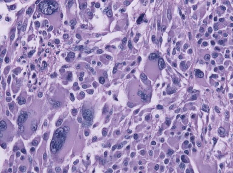
Американские ученые выяснили, что древний ретровирус в нашем геноме способен по крайней мере частично активировать процесс возникновения глиобластомы — одного из самых быстроразвивающихся и сложно поддающихся лечению видов рака. Эндогенные ретровирусы человека (HERV) — это наследственные вирусные «реликвии», которые составляют семь-восемь процентов человеческого генома. Сами ретровирусы представляют собой семейство РНК-содержащих вирусов, заражающих преимущественно позвоночных. В отличие от остальных их собратьев, такие вирусы встраивают свой генетический код в ДНК клетки, чем упрощают себе борьбу с человеческим иммунитетом. Эндогенный ретровирус человека К, или HERV-K (HML-2), встроившийся в геном наших предков шесть миллионов лет назад, обычно «молчит» и не вызывает никаких инфекций, как и многие другие ретровирусы. Но недавно ученые обнаружили, что часть таких вирусов может быть связана со злокачественными опухолями яичек и некоторых других видов онкопатологий. Ученые из университет
   Клетки глиобластомы под микроскопом / ©Getty images
Клетки глиобластомы под микроскопом / ©Getty images

Американские ученые выяснили, что древний ретровирус в нашем геноме способен по крайней мере частично активировать процесс возникновения глиобластомы — одного из самых быстроразвивающихся и сложно поддающихся лечению видов рака.

Эндогенные ретровирусы человека (HERV) — это наследственные вирусные «реликвии», которые составляют семь-восемь процентов человеческого генома. Сами ретровирусы представляют собой семейство РНК-содержащих вирусов, заражающих преимущественно позвоночных. В отличие от остальных их собратьев, такие вирусы встраивают свой генетический код в ДНК клетки, чем упрощают себе борьбу с человеческим иммунитетом.

Эндогенный ретровирус человека К, или HERV-K (HML-2), встроившийся в геном наших предков шесть миллионов лет назад, обычно «молчит» и не вызывает никаких инфекций, как и многие другие ретровирусы. Но недавно ученые обнаружили, что часть таких вирусов может быть связана со злокачественными опухолями яичек и некоторых других видов онкопатологий.

Ученые из университетов Майами и Джорджтаунского, а также Национального института здравоохранения (США) решили узнать, как этот вирус влияет на еще один очень агрессивный вид рака — глиобластому. Свои выводы исследователи представили в издании The Journal of Clinical Investigation.

Средняя продолжительность жизни после постановки диагноза «глиобластома» — рака головного мозга — составляет всего 14 месяцев, поэтому крайне важно изучать этот вид онкопатологии, чтобы продлить и улучшить жизнь пациентов, а возможно, и предотвратить заболевание.

Раковые стволовые клетки стимулируют развитие опухоли и определяют, насколько агрессивным и устойчивым к лечению будет заболевание. Всестороннее трансляционное исследование экспрессии HERV-K в глиобластоме показало, что вирус меняет «программу» стволовых клеток, активируя регулирующий белок под названием ОСТ4. Это означает, что HML-2 вносит фундаментальный вклад в микросреду стволовых клеток, которая поддерживает их и определяет их судьбу.

Итоги работы уже предоставили некоторые ориентиры для лечения глиобластомы. Так, антиретровирусный препарат значительно снизил активность HERV-K и уровень маркеров опухолевых стволовых клеток. Если такие же результаты удастся повторить на организме человека в целом, это серьезно упростит борьбу с этим видом рака.