Добавить в корзинуПозвонить
Найти в Дзене

Всё везде и сразу не всегда работает или когда следует отказаться от одномоментной имплантации

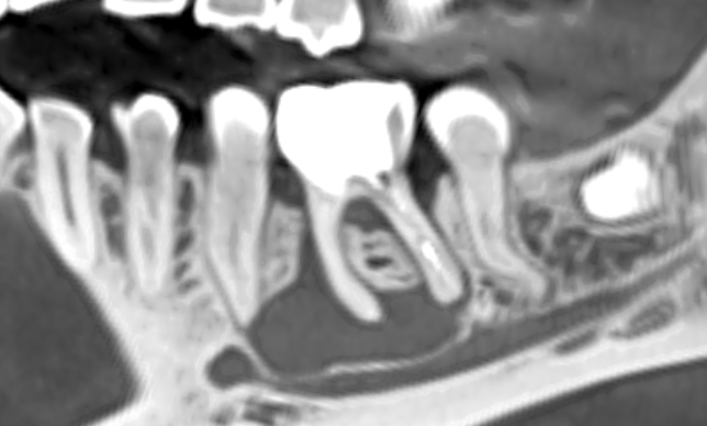
Имплантация в один день с удалением зуба – это история про экономию времени. Такой подход является прогнозируемым и предпочтительным. Но не всегда. В противовес предыдущей статье, сегодня поговорю о тех случаях, когда лучше подождать перед установкой имплантата. Воспалительный процесс. Если возле зуба сформировался очаг с воспалением (гранулема или киста), к тому же с выделением гноя, то операцию лучше отложить. А вот зуб удалить немедленно, иначе воспаление будет с каждым днем разрушать кость. Недостаток костной ткани. Часто является следствием воспалительного процесса. Наращивание костной ткани в области лунки только что удаленного зуба, совмещенное с имплантацией – это всегда риск. Главная проблема заключается в том, что мягких тканей (десны) недостаточно для закрытия имплантата, так как лунка еще не зажила. Соматические заболевания. При некоторых болезнях, которые замедляют процессы заживления и восстановления, я предпочитаю двигаться малыми шагами. К таким заболеваниям я отношу

Имплантация в один день с удалением зуба – это история про экономию времени. Такой подход является прогнозируемым и предпочтительным. Но не всегда. В противовес предыдущей статье, сегодня поговорю о тех случаях, когда лучше подождать перед установкой имплантата.

Воспалительный процесс. Если возле зуба сформировался очаг с воспалением (гранулема или киста), к тому же с выделением гноя, то операцию лучше отложить. А вот зуб удалить немедленно, иначе воспаление будет с каждым днем разрушать кость.

Недостаток костной ткани. Часто является следствием воспалительного процесса. Наращивание костной ткани в области лунки только что удаленного зуба, совмещенное с имплантацией – это всегда риск. Главная проблема заключается в том, что мягких тканей (десны) недостаточно для закрытия имплантата, так как лунка еще не зажила.

Соматические заболевания. При некоторых болезнях, которые замедляют процессы заживления и восстановления, я предпочитаю двигаться малыми шагами.

К таким заболеваниям я отношу:

  • субкомпенсированный сахарный диабет (сахар крови нестабильный, периодически поднимается до 9-11 ммоль/л; гликированный гемоглобин на уровне 6.5-7%)
  • субкомпенсированные формы сердечно-сосудистых заболеваний (на II-III стадии)
  • аутоиммунные процессы
  • онкология в стадии ремиссии
  • опыт приема бисфосфонатов для остановки остеопороза или костных метастазов
  • хронические вирусные гепатиты (в стадии носительства)
  • гемоглобин на уровне 90-100 г/л (не заболевание, но симптом; для выяснения причин точно отправлю пациента к терапевту или профильному специалисту)
Порой самый важный совет – остановиться и подумать.
Порой самый важный совет – остановиться и подумать.

Что по итогу

Решение об одномоментной имплантации принимается индивидуально в каждом случае. Я предпочитаю рассказывать о всех рисках и давать примерный прогноз. Моя практика основывается на взвешенном подходе и научных данных. Тем не менее, если ситуация позволяет, я ни в коем случае не буду затягивать лечение, а помогу быстрее обрести новые зубы.

⚪ ⚪ ⚪ ⚪ ⚪ ⚪ ⚪ ⚪ ⚪

Надеюсь, что был для Вас полезен.

Задавайте вопросы в комментариях, если заинтересовал материал.
И не забывайте о лайках, подписках и репостах.

Ваш заботливый и в меру занудный стоматолог, А.В.К.