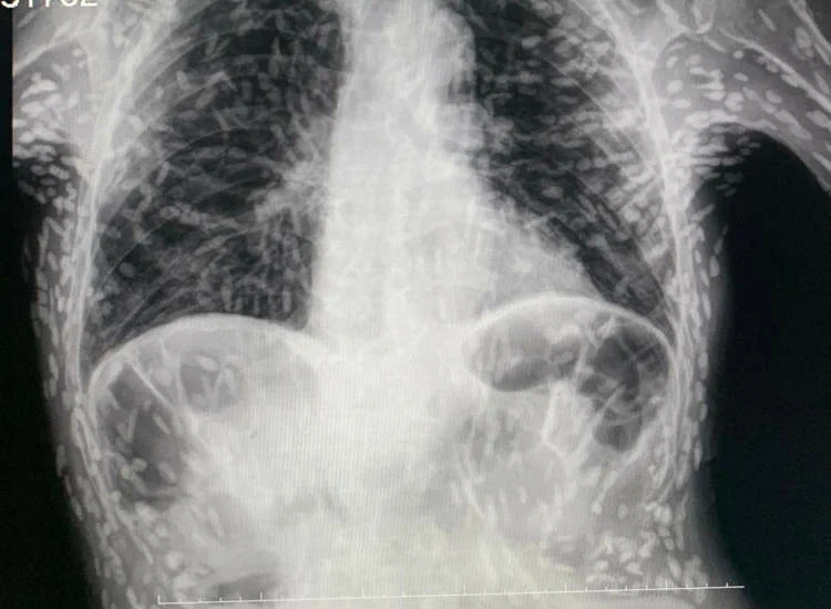
Недавно бразильский медицинский работник вызвал шок у множества пользователей социальных сетей, опубликовав рентгеновский снимок мужчины, страдающего цистицеркозом. Рентгеновский снимок показывал, что тело пациента содержит множество кальцинированных яиц ленточного червя! Один из ординаторов больницы Hospital das Clínicas в Ботукату, доктор Витор Борин де Соуза, поделился рентгеновским снимком пациента, чтобы продемонстрировать своим подписчикам, насколько серьезным может быть заражение ленточным червем. Врач объяснил, что белые пятна, которые были видны на животе и руках пациента, представляют собой кальцинированные яйца ленточного червя, вызванные инфекцией обычным кишечным паразитом. К счастью, эти яйца не представляли угрозы для пациента, который обратился за медицинской помощью из-за постоянного кашля, так как они были кальцинированными и неспособными к развитию. Несмотря на то, что эти кальцинированные цистицерки не причиняли дискомфорта мужчине и не представляли опасности для ег
Бразильский медик после ренгтненовского исследования был просто шокирован! У пациента тело было заражено яйцами ленточного червя
24 июня 202324 июн 2023
6550
1 мин
