Добавить в корзинуПозвонить
Найти в Дзене

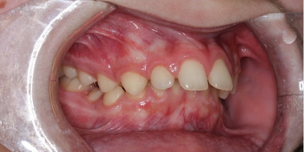
Дистальный прикус в подростковом возрасте. Результат ортодонтического лечения без хирургического вмешательства.

Когда мы получаем такой результат - это каждый раз огромная радость! Это всегда про умный подход, знания, опыт и грамотное приложение сил, начиная от плана лечения до каждого визита. Это принятие решения врачом на основании знаний и опыта. И именно от этих решений зависит итоговый результат! Изначальная ситуация в полости рта достаточно сложная: Чем это плохо помимо эстетики? Глубокий прикус ведет к сколам зубов и травматизациям десны. При несмыкании губ они постоянно обветрены и травмированы резцами. Главное вовремя начать! В данном случае мы "запрыгнули в уходящий поезд" Опоздай мы с лечением ещё чуть-чуть, и данный вид патологии можно было бы скорректировать только хирургически! Было принято решение использовать остатки потенциала роста пациента и, установив аппарат Гербста, помочь нижней челюсти «вырасти». С помощью аппарата и брекет-системы мы добились как улучшения эстетики улыбки и профиля, так и функнальности зубочелюстной системы! Данный вид лечения относится к компромисс

Когда мы получаем такой результат - это каждый раз огромная радость!

Это всегда про умный подход, знания, опыт и грамотное приложение сил, начиная от плана лечения до каждого визита. Это принятие решения врачом на основании знаний и опыта. И именно от этих решений зависит итоговый результат!

Изначальная ситуация в полости рта достаточно сложная:

  • Дистальный прикус
  • Глубокая окклюзия
  • В профиль видно, что губы не смыкаются, резцы торчат и сильно отклонены вперед.

Чем это плохо помимо эстетики? Глубокий прикус ведет к сколам зубов и травматизациям десны.

При несмыкании губ они постоянно обветрены и травмированы резцами.

-2

Главное вовремя начать!

В данном случае мы "запрыгнули в уходящий поезд"

Опоздай мы с лечением ещё чуть-чуть, и данный вид патологии можно было бы скорректировать только хирургически!

Было принято решение использовать остатки потенциала роста пациента и, установив аппарат Гербста, помочь нижней челюсти «вырасти».

-3

С помощью аппарата и брекет-системы мы добились как улучшения эстетики улыбки и профиля, так и функнальности зубочелюстной системы!

-4

Данный вид лечения относится к компромиссным - в ряде случаев, эффективным является только хирургическая операция по выдвижению челюсти.