Добавить в корзинуПозвонить
Найти в Дзене
Экспаты во Вьетнаме

Зачем мы удалили коту зубы?

Мите, нашему коту, 9 лет и раньше проблем с зубами у него не было, только с деснами. Говорили, что есть подозрение, что кто-то из его родителей был мейнкуном, поэтому он страдает болезнью, которая чаще всего бывает у этой породы. Как-то вернувшись из отпуска в Мексике мы обнаружили кота со сломанным зубом. Когда мы уезжали, за ним присматривали родные, ничего необычного они не заметили. Я тут же начала звонить в вет,клинику, ближайшее свободное время для приёма стоматолога оказалось только через пару дней, так что мы сначала взяли онлайн консультацию. На ней доктор сказал готовиться к операции, так как обломок корня все равно придётся удалять, а в процессе они смогут посмотреть и на остальные зубы и принять решение о необходимости их удаления. Подготовка к удалению зубов коту Мы дали коту успокоительное и поехали сдавать анализы- кровь, УЗИ сердца, ЭКГ, рентген грудной клетки. Обширный список для проверки здоровья взрослого животного. Нам подтвердили необходимость операции и рас
Оглавление

Мите, нашему коту, 9 лет и раньше проблем с зубами у него не было, только с деснами. Говорили, что есть подозрение, что кто-то из его родителей был мейнкуном, поэтому он страдает болезнью, которая чаще всего бывает у этой породы.

Как-то вернувшись из отпуска в Мексике мы обнаружили кота со сломанным зубом. Когда мы уезжали, за ним присматривали родные, ничего необычного они не заметили.

Это уже финальный вариант, с удалённым зубами и зажившими деснами
Это уже финальный вариант, с удалённым зубами и зажившими деснами

Я тут же начала звонить в вет,клинику, ближайшее свободное время для приёма стоматолога оказалось только через пару дней, так что мы сначала взяли онлайн консультацию. На ней доктор сказал готовиться к операции, так как обломок корня все равно придётся удалять, а в процессе они смогут посмотреть и на остальные зубы и принять решение о необходимости их удаления.

Подготовка к удалению зубов коту

Мы дали коту успокоительное и поехали сдавать анализы- кровь, УЗИ сердца, ЭКГ, рентген грудной клетки. Обширный список для проверки здоровья взрослого животного. Нам подтвердили необходимость операции и рассказали план восстановления.

На самом деле, коты - давно не хищники и спокойно живут без зубов. Гораздо более комфортно, чем с болючими пеньками, скажем так.

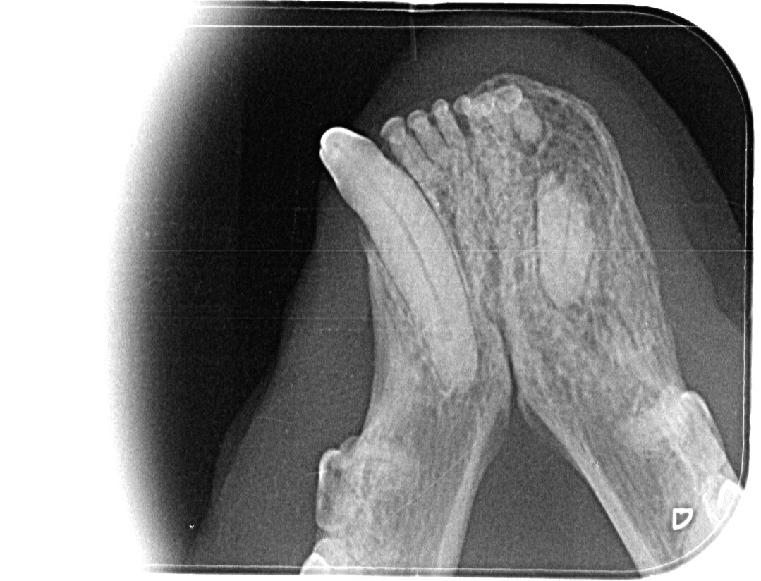
Рентген нижней челюсти. Справа видно, что зуб сломан, а корень остался внутри
Рентген нижней челюсти. Справа видно, что зуб сломан, а корень остался внутри

Сколько стоила операция по удалению зубов

Объем операции до последнего был не ясен. Только введя животное под наркоз врачи сделали рентген его зубов и определили сколько нужно будет удалить кроме сломанного клыка. Мы заплатили 30тыс руб за операцию и нахождение в стационаре. В итоге Мите удалили 5 зубов.

Чек-ап перед операцией, приёмы, назначенные лекарства вышли ещё в почти 30тыс

Почти-семейное фото)
Почти-семейное фото)

Восстановительный период у животного

Сутки после удаления кот провел в стационаре клиники на обезболивающих препаратах, поел впервые перед выпиской. Домой его отдали в защитном воротнике, чтобы не совал лапы в рот.

В нем было неудобно ходить, спать и есть, так что Митя был недоволен. Несколько дней ел только детское питание - даже от паштетов своих отказывался, поили мы его тоже принудительно, через шприц.

Конечно, это колоссальный стресс для животного, но вклад в здоровое будущее
Конечно, это колоссальный стресс для животного, но вклад в здоровое будущее

Но потом дело пошло на лад, воротник стало можно снимать, сухой корм мы размачивали водой и жизнь заиграла прежними красками.

-5

Помните, что животное - это дорого. Даже лечение дешёвого и маленького хомяка выйдет в копеечку. Будьте готовы в том числе к финансовой ответственности, раз уж взяли на себя ответственность. А вы тратили большие суммы на животных?

Берегите своих хвостиков!