Добавить в корзинуПозвонить
Найти в Дзене
Царьград

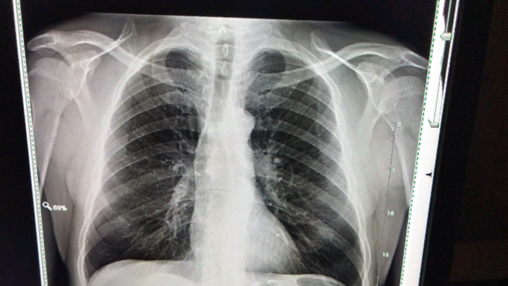
Рентгеновский снимок раскрыл причину постоянного кашля

На протяжении долгого времени британец страдал от кашля. Раскрыть неожиданную причину такого состояния помог рентгеновский снимок. В бразильском Ботукату мужчина обратился в больницу с жалобой на постоянный кашель. Ничего не подозревающие врачи направили местного жителя на рентген, однако снимок показал десятки остатков личинок ленточного червя. По информации Daily Mail, все они выглядели как яркие пятна, но уже позже медики поняли, о чём идёт речь. Уточняется, что такое состояние называется цистицеркозом. Возникает оно при попадании личинок свиного цепня, обитающего в кишечнике, в мышцы или мозг. Уже в человеческих тканях они создают некие твёрдые узелки, которые похожи на кисты и даже ощущаются под кожей как небольшие шишечки. Кроме того, цистицеркоз может развиваться при проглатывании яиц ленточных червей. Чаще всего они обитают в непрожаренной свинине, воде или других продуктах, поэтому важно следить за их качеством. Несмотря на то, что изначально такое состояние безвредно для люде
ФОТО: ZAMIR USMANOV/GLOBALLOOKPRESS
ФОТО: ZAMIR USMANOV/GLOBALLOOKPRESS

На протяжении долгого времени британец страдал от кашля. Раскрыть неожиданную причину такого состояния помог рентгеновский снимок.

В бразильском Ботукату мужчина обратился в больницу с жалобой на постоянный кашель. Ничего не подозревающие врачи направили местного жителя на рентген, однако снимок показал десятки остатков личинок ленточного червя. По информации Daily Mail, все они выглядели как яркие пятна, но уже позже медики поняли, о чём идёт речь.

Уточняется, что такое состояние называется цистицеркозом. Возникает оно при попадании личинок свиного цепня, обитающего в кишечнике, в мышцы или мозг. Уже в человеческих тканях они создают некие твёрдые узелки, которые похожи на кисты и даже ощущаются под кожей как небольшие шишечки.

Кроме того, цистицеркоз может развиваться при проглатывании яиц ленточных червей. Чаще всего они обитают в непрожаренной свинине, воде или других продуктах, поэтому важно следить за их качеством.

Несмотря на то, что изначально такое состояние безвредно для людей, оно всё же может приводить к тяжёлым последствиям. Например, при попадании личинок в мозг возникают судороги или скопление жидкости в органе, что приводит к летальному исходу. При этом именно цисты личинок Taenia solium являются причиной до 70 процентов случаев эпилепсии в мире.