Найти в Дзене
Мedical Insider

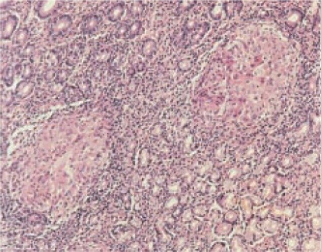
Гранулемы при болезни Крона – что нужно знать

Гранулемы – это скопления иммунных клеток в результате воспаления. Гранулемы могут встречаться у людей с болезнью Крона. Однако не у всех пациентов с болезнью Крона наблюдаются гранулемы. Болезнь Крона – хроническое воспалительное заболевание кишечника, поражающее пищеварительный тракт. Врачи не знают точной причины болезни Крона. Однако иммунная система, генетика и факторы образа жизни могут играть в этом определенную роль. Гранулемы при болезни Крона Гранулемы являются распространенным симптомом болезни Крона и могут помочь врачам провести различие между болезнью Крона и другими воспалительными заболеваниями кишечника, такими как язвенный колит. Однако не у всех людей с болезнью Крона они развиваются. Причины появления гранулем при болезни Крона Как правило, гранулемы развиваются вследствие воспаления. Однако врачи точно не знают, почему гранулемы возникают у некоторых людей с болезнью Крона. Считается, что это аутоиммунная реакция на заболевание, хотя не понятно, почему гранулемы фо
Оглавление

Гранулемы – это скопления иммунных клеток в результате воспаления. Гранулемы могут встречаться у людей с болезнью Крона. Однако не у всех пациентов с болезнью Крона наблюдаются гранулемы.

Болезнь Крона – хроническое воспалительное заболевание кишечника, поражающее пищеварительный тракт. Врачи не знают точной причины болезни Крона. Однако иммунная система, генетика и факторы образа жизни могут играть в этом определенную роль.

Гранулемы при болезни Крона

Гранулемы являются распространенным симптомом болезни Крона и могут помочь врачам провести различие между болезнью Крона и другими воспалительными заболеваниями кишечника, такими как язвенный колит. Однако не у всех людей с болезнью Крона они развиваются.

Причины появления гранулем при болезни Крона

Как правило, гранулемы развиваются вследствие воспаления. Однако врачи точно не знают, почему гранулемы возникают у некоторых людей с болезнью Крона. Считается, что это аутоиммунная реакция на заболевание, хотя не понятно, почему гранулемы формируются только у определенных людей с болезнью Крона. Одно исследование с участием 161 человека с болезнью Крона показало, что гранулемы чаще встречаются у молодых людей.

Болезнь Крона с гранулемами и без гранулем – отличаются ли симптомы?

Нет никаких доказательств того, что симптомы болезни Крона отличаются у людей с гранулемами. Наиболее распространенными симптомами данного заболевания являются:

  • диарея
  • спазмы и боль в животе
  • потеря веса

Другие симптомы могут включать:

  • потерю аппетита
  • тошноту
  • усталость
  • боль в суставах
  • болезненные бугорки на коже
  • анемию

Прогноз болезни Крона с гранулемами

В настоящее время отсутствуют исследования о пациентах с болезнью Крона с гранулемами. Ранние исследования показывают, что людям с болезнью Крона с гранулемами могут проводиться операции по резекции кишечника и иммуносупрессивная терапия чаще и раньше, чем пациентам без гранулем.

Систематический обзор и мета-анализ, проведенные в 2019 году, показали, что у людей с болезнью Крона и гранулемами может наблюдаться более тяжелое течение заболевания и высокий уровень госпитализации. Авторы исследования предполагают, что гранулемы могут указывать на агрессивный тип болезни Крона.

Другое исследование 2017 года, в котором приняли участие 1466 человек с болезнью Крона, показало, что заболевание было более агрессивным у людей с гранулемами. Кроме того, те, у кого были гранулемы, и кто перенес операцию, подвергались высокому риску повторной операции в течение 6 лет.

Лечение

Врачи обычно лечат болезнь Крона медикаментозно или хирургическим путем, в зависимости от тяжести заболевания. Лечение одинаково независимо от того, есть ли у человека гранулемы. Лечение направлено на то, чтобы справиться с воспалением и предотвратить вспышки.

Препараты, применяемые при болезни Крона включают:

  • аминосалицилаты
  • кортикостероиды
  • иммуномодуляторы

Врачи могут также рекомендовать биологические методы лечения, такие как альфа-терапия и противоопухолевые факторы некроза, для нейтрализации белков, вызывающих воспаление. Кроме того, врачи могут назначить антибиотики при осложнениях болезни Крона, таких как инфекция, и лекарственные препараты для лечения симптомов, таких как диарея. Поскольку данные свидетельствуют о том, что у людей с гранулемами может быть более агрессивная форма болезни Крона, им, скорее всего, потребуется интенсивное лечение, такое как хирургическое вмешательство.

Хирургическое вмешательство при этом заболевании может включать:

  • резекцию тонкой кишки
  • резекцию толстой кишки или субтотальную колэктомию
  • проктоколэктомию
  • илеостомию

Заключение

Гранулемы возникают в ответ на воспаление в организме и состоят из набора иммунных клеток. Хотя они могут возникать у людей с болезнью Крона, не у всех с этим заболеванием они развиваются. Некоторые исследования показывают, что у людей с гранулемами более агрессивный тип болезни Крона. Возможно, им с большей вероятностью потребуется хирургическое вмешательство, чем тем, у кого нет гранулем.

Статья по теме: Болезнь Крона – заразна или нет?