Найти в Дзене

Стадии инсульта и нужно ли делать КТ после инсульта.

Продолжу эпопею про компьютерную томографию при инсультах. Компьютерная томография показывает участки ишемии головного мозга при инсульте. Ранняя стадия ишемического инсульта визуализируется на КТ только через 4-5 часов в виде сдавливания корковых борозд, а именно набухания (не от слова "бухать"😁) извилин коры головного мозга. По плотности белого и серого вещества (один белый другой серый - два веселых... вещества...😂😂😂) и плотности тканей головного мозга устанавливается вид инсульта и стадия развития. Инсульт по стадиям развивается следующим образом: Первая стадия в течение первых часов показатель плотности тканей мозга пребывает в рамках нормы. При второй стадии увеличивается отек мозга, наблюдается гибель вещества мозга, выглядит как затемнение на снимке. На снимке КТ визуализируется снижение плотности белого и серого вещества, отмирают элементы нервной ткани, образуются макрофаги - клетки которые переваривают остатки погибших клеток (как то так, точно не скажу😁). Третья стади

Продолжу эпопею про компьютерную томографию при инсультах.

Компьютерная томография показывает участки ишемии головного мозга при инсульте. Ранняя стадия ишемического инсульта визуализируется на КТ только через 4-5 часов в виде сдавливания корковых борозд, а именно набухания (не от слова "бухать"😁) извилин коры головного мозга. По плотности белого и серого вещества (один белый другой серый - два веселых... вещества...😂😂😂) и плотности тканей головного мозга устанавливается вид инсульта и стадия развития.

Инсульт по стадиям развивается следующим образом:

Первая стадия в течение первых часов показатель плотности тканей мозга пребывает в рамках нормы.

При второй стадии увеличивается отек мозга, наблюдается гибель вещества мозга, выглядит как затемнение на снимке. На снимке КТ визуализируется снижение плотности белого и серого вещества, отмирают элементы нервной ткани, образуются макрофаги - клетки которые переваривают остатки погибших клеток (как то так, точно не скажу😁).

Третья стадия инсульта на пятые сутки начинаются процессы разрушения тканей мозга, изменения в сером веществе, образуются новые капиляры и сосуды, которые не жизнеспособны и сразу разрушаются, плотность серого вещества увеличивается, (эфект затуманивания) да и белого тоже...

На восемнадцатые - двадцатые сутки наступает четвертая стадия "эфект затуманивания" уменьшается, плотность серого вещества уменьшается в связи с отёком мозга, через месяц, полтора показатели плотности серого и белого веществ сравниваются, формируется "рубец" с полостью или кистозное новообразование.

После перенесенного инсульта разумеется необходимо делать компьютерную томографию либо МРТ.

После первой компьютерной томографии инсульта, с целью выявления вида инсульта и очагов поражения необходимо отследить динамику изменений раз в год или даже чаще, по показаниям невролога, вместо КТ можно делать МРТ, что даже эфективней, на мой субъективный взгляд.

В моем случае назначили повторно МРТ через полгода, но мне что то подсказывает, было бы не лишним и через год на всякий случай сделать, мало ли чего там наросло🤔

Ниже приведу примеры снимков КТ головного мозга при инсультах.

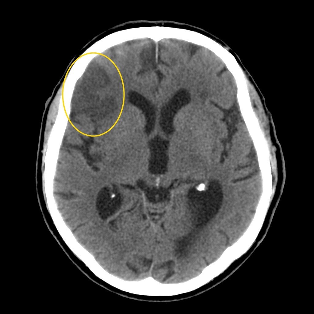
Ишемический инсульт (фото из открытых источников)
Ишемический инсульт (фото из открытых источников)
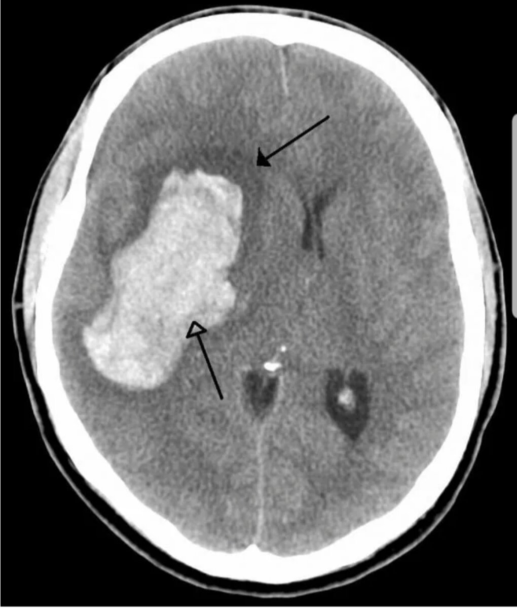
Геморрагический инсульт (фото из открытых источников)
Геморрагический инсульт (фото из открытых источников)

Такие вот невеселые картинки☹, в телеграм выложу оригинал статьи про стадии инсульта, а на сегодня пожалуй что всё, до новых встреч🙋‍♂️😊