Добавить в корзинуПозвонить
Найти в Дзене

Асимметрия верхнего и нижнего зубного ряда у ребенка. Что делать?

Почему так важно вовремя приводить детей на консультацию и при необходимости на лечение к ортодонту? На фото ребёнок 9 лет. Сужение верхней челюсти, отсутствие места для прорезывания зубов, асимметрия (обратите внимание на центральную линию)  Что будет если не лечить? Во взрослом возрасте лечить можно, но узкая челюсть не будет позволять разместить в ней все зубы. Поэтому ортодонтическое лечение будет возможно только с удалением некоторых зубов... ЧЕГО ДОБИЛИСЬ МЫ: Велика вероятность, что ортодонтическое лечение на брекетах или элайнерах уже не понадобится. А если и будет проводится, то значительно легче, комфортнее и быстрее, так как достаточно места для правильного и красивого расположения всех зубов в костной ткани  Лечение проводилось с помощью аппарата Марко Роса в течение 6 месяцев Что в 2-3 раза быстрее, чем ортодонтическое лечение взрослых и в 3-4 раза дешевле.  Если Вы не уверены в том, что у Вашего ребёнка правильный прикус - обращайтесь к нам! Наши ортодонты проконсул

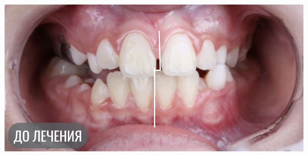
Почему так важно вовремя приводить детей на консультацию и при необходимости на лечение к ортодонту?

На фото ребёнок 9 лет. Сужение верхней челюсти, отсутствие места для прорезывания зубов, асимметрия (обратите внимание на центральную линию) 

Что будет если не лечить?

  1. Ассиметрия усилится
  2. Верхняя челюсть останется узкой
  3. Место для прорезывания не появится и зубы прорежутся скученно (криво)
Во взрослом возрасте лечить можно, но узкая челюсть не будет позволять разместить в ней все зубы. Поэтому ортодонтическое лечение будет возможно только с удалением некоторых зубов...

ЧЕГО ДОБИЛИСЬ МЫ:

  1. Истинное расширение верхней и нижней челюсти (не за счёт выхода зубов за пределы костной ткани, а за счёт того, что аппарат воздействует на центр роста стимулирует истинный рост кости)
  2. Достаточное место для прорезывания зубов
  3. Устранили асимметрию
  4. Создали все условия для формирования ровного зубного ряда и правильного функционального прикуса

Велика вероятность, что ортодонтическое лечение на брекетах или элайнерах уже не понадобится. А если и будет проводится, то значительно легче, комфортнее и быстрее, так как достаточно места для правильного и красивого расположения всех зубов в костной ткани 

-2

Лечение проводилось с помощью аппарата Марко Роса в течение 6 месяцев

Что в 2-3 раза быстрее, чем ортодонтическое лечение взрослых и в 3-4 раза дешевле. 

Если Вы не уверены в том, что у Вашего ребёнка правильный прикус - обращайтесь к нам! Наши ортодонты проконсультируют и помогут справиться с любой проблемой. А самое главное, что мы обязательно скажем, если лечение Вам не требуется!

☎️ 8-916-620-87-18 

https://taplink.cc/markovstom 

А если Вы хотите подробнее познакомится с тем как проходит ортодонтическое лечение детей в нашей клинике, ЦЕНЫ, ЭТАПЫ, АППАРАТУРА....то загляните сюда⬇️ 

центр-ортодонтии.рф