Найти в Дзене
KOREA HERALD RUSSIAN EDITION

Решение Lunit для обнаружения рака получило одобрение ЕС

Компания Lunit, поставщик решений для лечения рака на основе искусственного интеллекта, заявила в понедельник, что получила одобрение Европейского союза на коммерческий запуск своего медицинского программного обеспечения на основе искусственного интеллекта, используемого для выявления рака молочной железы.
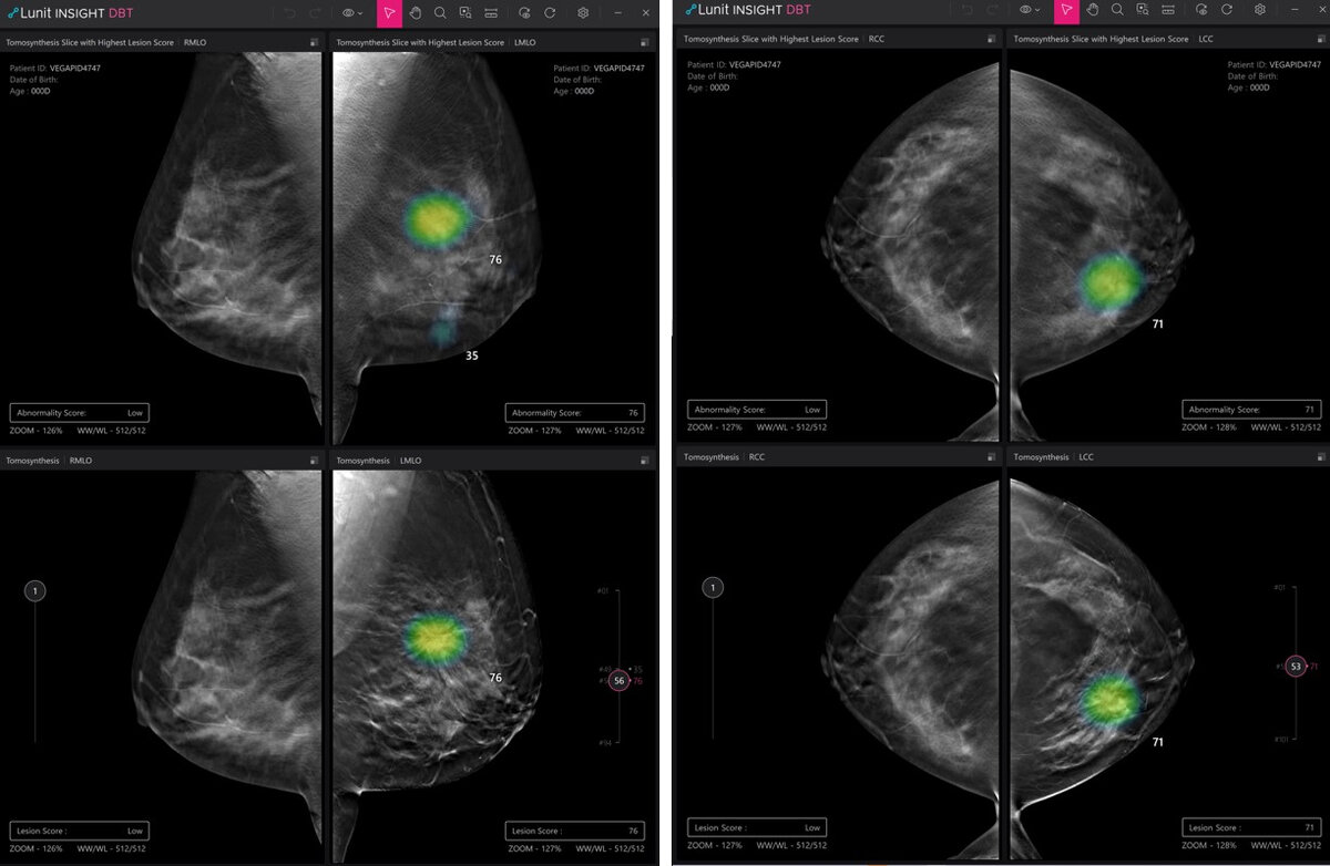
Решение, получившее название «Цифровой томосинтез молочной железы Lunit Insight (Lunit Insight Digital Breast Tomosynthesis)», представляет собой программное решение на основе искусственного интеллекта, помогающее выявлять подозрительные очаги с помощью 3D-маммограмм.
«(Lunit) заложила основу для продаж в европейских странах, получив маркировку CE спустя месяц после того, как компания получила экспортную лицензию от Министерства безопасности пищевых продуктов и лекарственных средств Южной Кореи», — сказал Со Бом Сок, генеральный директор Lunit.
В настоящее время ЕС требует маркировки СЕ Европейского регламента по медицинским устройствам для коммерциализации медицин

Демонстрационные фотографии цифрового томосинтеза молочной железы Lunit Insight (Lunit)
Демонстрационные фотографии цифрового томосинтеза молочной железы Lunit Insight (Lunit)

Компания Lunit, поставщик решений для лечения рака на основе искусственного интеллекта, заявила в понедельник, что получила одобрение Европейского союза на коммерческий запуск своего медицинского программного обеспечения на основе искусственного интеллекта, используемого для выявления рака молочной железы.

Решение, получившее название «Цифровой томосинтез молочной железы Lunit Insight (Lunit Insight Digital Breast Tomosynthesis)», представляет собой программное решение на основе искусственного интеллекта, помогающее выявлять подозрительные очаги с помощью 3D-маммограмм.

«(Lunit) заложила основу для продаж в европейских странах, получив маркировку CE спустя месяц после того, как компания получила экспортную лицензию от Министерства безопасности пищевых продуктов и лекарственных средств Южной Кореи», — сказал Со Бом Сок, генеральный директор Lunit.

В настоящее время ЕС требует маркировки СЕ Европейского регламента по медицинским устройствам для коммерциализации медицинских устройств. Те медицинские устройства, которые ранее получили маркировку CE в соответствии с Директивой о медицинских устройствах, в настоящее время должны пройти повторную сертификацию до мая 2024 года в соответствии с обновленным регламентом CE MDR.

Lunit заявила, что скоро запустит Lunit Insight DBT в Европе. «Lunit намерена запустить продажи решения, начиная с крупных стран ЕС», — сказал представитель компании.

Компания также планирует получить одобрение регулирующих органов на других зарубежных рынках, где компания видит растущий спрос на аналогичные инструменты, базирующиеся на ИИ.

По данным Lunit, спрос на такие инструменты анализа 3D-изображений на мировом рынке растет, поскольку они более точны, чем существующие инструменты для 2D-изображений.

Lunit надеется, что из многих стран Австралия станет следующей страной, которая получит одобрение регулирующих органов, поскольку правила страны в отношении медицинских устройств аналогичны европейским.

«Поскольку Lunit Insight DBT соответствует недавно обновленным и более строгим требованиям Европы, компания ожидает последовательного получения разрешений регулирующих органов в других странах, включая США и Австралию» - сказал Со.

В настоящее время у Lunit есть два других решения на базе ИИ, которые получили обновленное одобрение регулирующих органов в Европе: Lunit Insight CXR, решение ИИ для рентгенографии грудной клетки, и Lunit Insight MMG, еще одно ИИ-решение для маммографии.

На сегодняшний день Lunit предоставила Lunit Insight CXR и MMG примерно в 1000 медицинских учреждений в более чем 40 странах, добавила компания.

Шим Ву Хён (ws@heraldcorp.com)

#южнаякорея #корея #политика #экономика #медицина #технология #искусственныйинтеллект #общество #культура #инвестиция #финансы #бизнес #маммография #томосинтез