Найти в Дзене
New York Dental Center

Мучаетесь с мигренью? Приходите к стоматологу! Разбираем новый кейс лечения зубов и избавления от головной боли.

Продолжая освещать реальные истории пациентов, хочется коснуться вопроса тесной взаимосвязи здоровья зубов и общего самочувствия человека. Каких-то 5-10 лет назад никто особо не задумывался, что боль в голове, шее, висках, мышечные защемления и другие проявления могут быть связаны, например, с неправильным прикусом или отсутствием контактных опор в челюсти. Лишь попадая к специалисту-стоматологу, человек мог установить такую взаимосвязь, и устранить причины болевых симптомов. Сейчас технологии и быстрое распространение информации по сети позволяют расширять свой кругозор. Пациентка обратилась в клинику с отсутствием некоторых зубов и явными признаками стираемости. При нехватке боковых зубов, передние получают очень большую перегрузку, в результате чего начинают стираться края передних резцов. Вскользь, на осмотре женщина поделилась проблемой сильных болей в области головы и шеи, явных причин которым не нашли смежные специалисты. Сама пациентка не связывала эти проявления с отсутств

Продолжая освещать реальные истории пациентов, хочется коснуться вопроса тесной взаимосвязи здоровья зубов и общего самочувствия человека.

Каких-то 5-10 лет назад никто особо не задумывался, что боль в голове, шее, висках, мышечные защемления и другие проявления могут быть связаны, например, с неправильным прикусом или отсутствием контактных опор в челюсти.

Лишь попадая к специалисту-стоматологу, человек мог установить такую взаимосвязь, и устранить причины болевых симптомов. Сейчас технологии и быстрое распространение информации по сети позволяют расширять свой кругозор.

С таким исходном к нам пришла пациентка.
С таким исходном к нам пришла пациентка.

Пациентка обратилась в клинику с отсутствием некоторых зубов и явными признаками стираемости.

При нехватке боковых зубов, передние получают очень большую перегрузку, в результате чего начинают стираться края передних резцов.

Вскользь, на осмотре женщина поделилась проблемой сильных болей в области головы и шеи, явных причин которым не нашли смежные специалисты. Сама пациентка не связывала эти проявления с отсутствием зубов, поэтому и не могла справиться с проблемой долгое время.

Из-за удаления зубов десна ушла.
Из-за удаления зубов десна ушла.

Первоначальное удаление нескольких зубов производилось в другой клинике и было в ее случае очень травматичным, из-за чего возникла атрофия костной ткани. На начальных фото можно увидеть, как вверх уходит десна и ее не видно.

Пациентке также была проведена костная пластика.
Пациентке также была проведена костная пластика.

Случай был довольно сложный. Так как зубы, которые были удалены, располагались в зоне улыбки, нам потребовалось увеличение объема кости. Был применен синус-лифтинг и подсадки костной ткани для увеличения объема десны.

Изготовление слепков для временной конструкции.
Изготовление слепков для временной конструкции.

Потребовался тотальный подход и много хирургических манипуляций. Для полного восстановления нормального функционирования всех жевательных элементов, ортопед выверял прикус, который был не стабильным. Потому что при большом отсутствии зубов было недостаточное количество контактных точек.

Для переопределения и стабилизации прикуса был использован аппарат Койса.

Так выглядит аппарат Койса
Так выглядит аппарат Койса

Этот аппарат предназначен для релаксации мышц и обеспечения устойчивости челюсти, комфортного именно для мышц и суставов. В целом, если у пациентов есть снижение прикуса, из-за чего возникают зажимы, гипертонус, зажим суставного диска, пациенты чувствуют еще и физиологическое улучшение состояния после использования.

Что и получилось в нашем случае.

В короткий срок прошли все болевые симптомы и женщине стало намного легче.

Временная конструкция для верхней челюсти
Временная конструкция для верхней челюсти

Минимум год ушел на хирургию, протокол лечения включал последовательно подсадки, импланты и протезирование. Также были изготовлены капы на нижнюю челюсть для ее выравнивания. Пациентка не планировала устанавливать виниры на нижнюю часть, поэтому композитом были восстановлены режущие края.

Процесс изготовления слепков для верхней челюсти.
Процесс изготовления слепков для верхней челюсти.

На верхние зубы были изготовлены виниры, на боковые были установлены коронки на своих зубах. В третьем сегменте, сохранили и оставили мост, импланты не устанавливали. Для зоны улыбки задача стояла восстановить межзубной десневой сосочек, с чем тоже успешно справились.

Получив проработанную, красивую улыбку (до шестерок включительно, но без восстановления семерок) и сняв проблемную симптоматику, пациентка приостановила лечение, что происходит к сожалению часто, хотя полное завершение плановых работ еще не произошло.

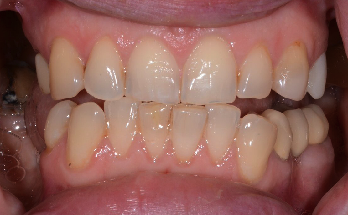
Финальный вариант.
Финальный вариант.

Чтобы не возвращаться к ухудшению самочувствия, лучше проходить регулярно дифференциальную диагностику.

Стоимость работ составила 1 446 280 рублей.

Как вам наша работа?

Мы всегда очень радуемся вашим комментариям и обратной связи!

Очень просим вас быть вежливыми, и уважительно относиться в комментариях к другим пользователям, а также нашим сотрудникам и коллегам.

Приглашаем почитать еще несколько увлекательных историй превращения обычной улыбки в голливудскую:

Мы желаем вам крепких, здоровых зубов и красивых улыбок!

Если у вас возникли проблемы стоматологического характера переходите на наш сайт, там вы можете ознакомиться с нашим коллективом, почитать отзывы и записаться на консультацию.

18+ Имеются противопоказания. Необходима консультация специалиста.