Добавить в корзинуПозвонить
Найти в Дзене
Наука для всех

Болезнь «попкорновых легких» добралась и до России. Что известно о заболевании

Помните, как ещё совсем недавно твердили о «безопасности» вейпов? Мол, это же просто пар, никакой смолы, никакого никотина (ну, почти). Так вот, похоже, сказка закончилась. В России зафиксировали случаи так называемой «болезни вейперов» – EVALI. Пострадали подростки. EVALI – это аббревиатура, которая расшифровывается как «повреждение легких, связанное с использованием электронных сигарет или вейпов» (E-cigarette, or Vaping, product use-Associated Lung Injury). Звучит, конечно, мудрено, но суть проста: вейпы, которые многие считали безобидной альтернативой сигаретам, оказались не такими уж и безобидными. Впервые об этой болезни заговорили в США в 2019 году. Там случилась настоящая вспышка: тысячи людей, в основном молодых, оказались на больничных койках с серьезными проблемами с легкими. И, к сожалению, не обошлось без летальных исходов. По данным Центров по контролю и профилактике заболеваний США (CDC), к февралю 2020 года было зарегистрировано более 2800 случаев госпитализации и 68 ле
Оглавление

Помните, как ещё совсем недавно твердили о «безопасности» вейпов? Мол, это же просто пар, никакой смолы, никакого никотина (ну, почти). Так вот, похоже, сказка закончилась. В России зафиксировали случаи так называемой «болезни вейперов» – EVALI. Пострадали подростки.

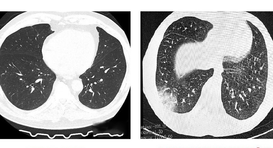
«Попкорновые легкие»

EVALI – это аббревиатура, которая расшифровывается как «повреждение легких, связанное с использованием электронных сигарет или вейпов» (E-cigarette, or Vaping, product use-Associated Lung Injury). Звучит, конечно, мудрено, но суть проста: вейпы, которые многие считали безобидной альтернативой сигаретам, оказались не такими уж и безобидными.

Впервые об этой болезни заговорили в США в 2019 году. Там случилась настоящая вспышка: тысячи людей, в основном молодых, оказались на больничных койках с серьезными проблемами с легкими. И, к сожалению, не обошлось без летальных исходов. По данным Центров по контролю и профилактике заболеваний США (CDC), к февралю 2020 года было зарегистрировано более 2800 случаев госпитализации и 68 летальных случаев, связанных с EVALI. А Теперь первые случаи болезней, связанных с вейпами зафиксированы в России.

Двое подростков из Томска попали в больницу с похожими симптомами. Одному поставили диагноз «облитерирующий бронхиолит», а второму – «токсическое воздействие курительных смесей на центральную нервную систему». И если с первым все более-менее понятно (это и есть EVALI), то со вторым диагнозом пока не все ясно. Возможно, парень курил не обычные жидкости для вейпа, а какую-то уж совсем запрещенную химозу. Но это пока только предположения.

Облитерирующий бронхиолит – это что-то страшное?

Честно говоря, да. Это воспаление и рубцевание самых мелких бронхов – бронхиол. Представьте себе тоненькие трубочки, по которым воздух поступает в легкие. Так вот, при облитерирующем бронхиолите эти трубочки сужаются, а иногда и вовсе зарастают. Воздуху становится трудно проходить, и человек начинает задыхаться.

А «попкорновыми легкими» эту болезнь прозвали из-за характерного звука, который слышен при прослушивании легких – он напоминает треск лопающегося попкорна. Жутковато, правда?

Изначально этот термин появился в связи с производством пищевых ароматизаторов. Рабочие, которые вдыхали пары диацетила (вещества, придающего маслянистый вкус), заболевали облитерирующим бронхиолитом. Позже выяснилось, что диацетил используется и в некоторых жидкостях для вейпов.

Какие симптомы

-3

Симптомы EVALI очень похожи на симптомы обычной простуды, гриппа и коронавирусной инфекции. Смотрите сами:

  • Одышка, кашель, боль в груди - в 95% случаев
  • Тошнота, рвота, диарея, боли в животе – тоже довольно часто - 77%
  • Повышение температуры, озноб, потеря веса – 85% случаев
  • Учащенное сердцебиение, нехватка кислорода – и это бывает.

Ну и как тут понять, что это не просто простуда, а серьезное заболевание легких? Без специальных исследований – никак. И в этом-то и проблема. Нет какого-то одного анализа, который бы сразу показал: «Да, это Evali». Врачи ставят диагноз, исключая другие возможные причины.

Специфического лечения, увы, нет. Врачи борются с симптомами, пытаются снять воспаление. Чаще всего используют кортикостероиды – гормональные препараты, которые подавляют воспалительный процесс. В тяжелых случаях приходится подключать человека к аппарату ИВЛ.

Как развивается EVALI

-4

Точного ответа на этот вопрос пока нет. Ученые выдвигают разные гипотезы, но единого мнения пока не сложилось. Вот некоторые из них:

  • Острое повреждение легочной ткани. Вещества, содержащиеся в паре вейпов, могут напрямую повреждать клетки легких.
  • Накопление масляных компонентов. В жидкостях для вейпов часто используются масла, например, ацетат витамина Е. Эти масла могут накапливаться в клетках легких и вызывать воспаление.
  • Иммунный ответ. Организм может воспринимать вещества из пара вейпов как чужеродные и атаковать их, вызывая воспаление.
  • Липоидная пневмония. Это воспаление легких, которое развивается при вдыхании маслянистых веществ.
  • Нарушение работы ресничек. Реснички – это такие крошечные волоски, которые выстилают дыхательные пути и помогают очищать их от слизи и инородных частиц. Ароматизаторы, содержащиеся в жидкостях для вейпов, могут нарушать работу этих ресничек.

EVALI – это вершина айсберга. Вейпинг вреден и по другим причинам. Пар вейпов иссушает слизистую оболочку дыхательных путей. А это, в свою очередь, облегчает проникновение инфекций. Нарушается газообмен в легких и человеку становится труднее дышать, возникает нехватка кислорода. Повышается риск сердечно-сосудистых заболеваний вплоть до развития атеросклероза, инсульта, инфаркта.

Что в России и в мире с вейпами

В России вейпы стали популярны относительно недавно, но уже успели завоевать армию поклонников, особенно среди молодежи. Точной статистики по заболеваемости EVALI у нас пока нет, но случай в Томске – это, как говорится, первый звоночек. И, скорее всего, не последний.

В мире ситуация еще серьезнее. В США, как я уже говорил, была настоящая эпидемия EVALI. Многие страны уже начали принимать меры: запрещают ароматизированные жидкости для вейпов, ограничивают продажу электронных сигарет, повышают возрастные ограничения.

В конце января 2025 года в Государственной Думе подготовили к обсуждению законопроект, полностью запрещающий в России оборот вейпов, а также никотиносодержащих и безникотиновых жидкостей для них. Инициативу, которую, по словам спикера Вячеслава Володина, поддержали все фракции, планировалось включить в примерный план работы нижней палаты парламента на март 2025 года — законопроект может быть рассмотрен палатой в весеннюю сессию.

И, конечно, нужны дальнейшие исследования. EVALI – новая и малоизученная болезнь. Нужно понять, как она развивается, как ее лечить, как предотвратить.