Добавить в корзинуПозвонить
Найти в Дзене
В мире медицины

К чему может привести кариес: о медиастините

Давным-давно на одной лекции по торакальной хирургии лектор рассказывал нам страшную историю о том, что пациент пришел лечить зуб, а в итоге погиб от медиастинита. Спустя много лет на КТ органов грудной клетки с контрастом мне самой довелось увидеть, что это такое и как это, на самом деле, страшно. И причиной тому явился (да, вы угадали) пораженный периодонтитом зуб. Воспаление клетчатки средостения. Последнее представляет собой пространство между лёгкими, в котором находятся сердце, магистральные сосуды, пищевод, трахея, тимус и лимфатические узлы. Могут быть самыми разными, назову основные: О последнем пункте поговорим в рамках случая с зубом. Это называется контактным одонтогенным медиастинитом. Это вторичная форма медиастинита, а развивается она на фоне контактного проникновения инфекционного агента в клетчатку средостения. Развивается такая форма в виде осложнения воспалительного процесса другой локализации (флегмона шеи, гнойное воспаление плевры, деструктивная пневмония, фурун
Оглавление
Давным-давно на одной лекции по торакальной хирургии лектор рассказывал нам страшную историю о том, что пациент пришел лечить зуб, а в итоге погиб от медиастинита.

Спустя много лет на КТ органов грудной клетки с контрастом мне самой довелось увидеть, что это такое и как это, на самом деле, страшно. И причиной тому явился (да, вы угадали) пораженный периодонтитом зуб.

Что такое медиастинит?

Воспаление клетчатки средостения. Последнее представляет собой пространство между лёгкими, в котором находятся сердце, магистральные сосуды, пищевод, трахея, тимус и лимфатические узлы.

Схематичное расположение средостения в грудной клетке
Схематичное расположение средостения в грудной клетке

Причины медиастинита

Могут быть самыми разными, назову основные:

  • открытая и закрытая травма грудной клетки;
  • перфорация пищевода (довелось увидеть последствия неправильной интубации трахеи на КТ, закончившейся разрывом пищевода);
  • инвазивные медицинские манипуляции (медиастиноскопия, например);
  • сепсис;
  • контактное распространение инфекции (наиболее часто).

О последнем пункте поговорим в рамках случая с зубом. Это называется контактным одонтогенным медиастинитом.

Что означает контактный?

Это вторичная форма медиастинита, а развивается она на фоне контактного проникновения инфекционного агента в клетчатку средостения.

Развивается такая форма в виде осложнения воспалительного процесса другой локализации (флегмона шеи, гнойное воспаление плевры, деструктивная пневмония, фурункулы носа, гнойное воспаление придаточных пазух носа, абсцесс миндалины, периодонтит зуба и т.д.)

Как происходит распространение инфекции?

При одонтогенном контактном механизме воспалительный процесс достигает средостения через клетчаточные пространства дна ротовой, поднижнечелюстной и подбородочной областей.

Чем опасен медиастинит?

Несмотря на широкое использование метода КТ в качестве диагностики и большой выбор антибактериальных препаратов, крайне неблагоприятный прогноз при медиастините составляет примерно 40%.

Немаловажным фактором, от которого зависит исход заболевания, является своевременная диагностика данного осложнения. Кроме того, сопутствующая патология также влияет на течение медиастинита. Сахарный диабет в разы усугубляет его течение (как и было в случае с пациентом, погибшего от медиастинита).

Как выглядит на КТ?

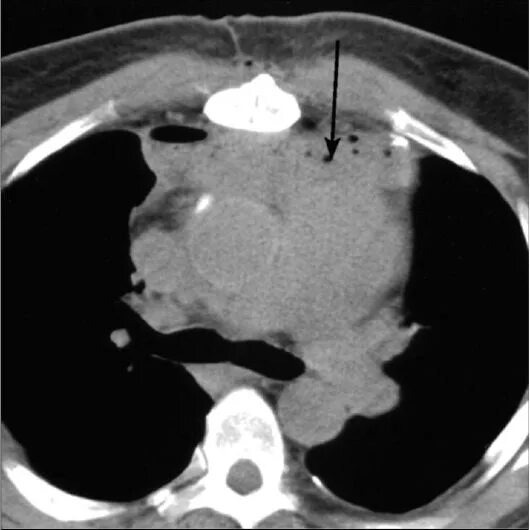
На представленном ниже примере в переднем отделе верхнего этажа средостения определяется воспалительный инфильтрат жидкостной структуры с наличием пузырьков воздуха (от деятельности бактерий), распространяющийся кверху до клетчаточного пространства шеи.

Инфильтрат определяется кпереди от аорты и лёгочного ствола на уровне бифуркации трахеи. КТ ОГК, средостенное окно, натив
Инфильтрат определяется кпереди от аорты и лёгочного ствола на уровне бифуркации трахеи. КТ ОГК, средостенное окно, натив

Другой пациент с медиастинитом на фоне флегмоны шеи.

В процесс вовлечен перикард. Двусторонний гидроторакс с компрессионным ателектазом левого лёгкого.
В процесс вовлечен перикард. Двусторонний гидроторакс с компрессионным ателектазом левого лёгкого.

Краткие итоги по медиастиниту:

  • заболевание угрожает жизни;
  • не существует определенной схемы лечения медиастинита, а каждый случай требует индивидуального подхода к выбору хирургической тактики;
  • при ранней диагностике и комплексном подходе человек может полностью выздороветь;
  • с целью профилактики медиастинита необходимо своевременно лечить инфекционные заболевания, минимизировать механическое повреждение тканей при хирургических вмешательствах челюстно-лицевой области и вовремя проводить санацию очагов хронической инфекции.