Добавить в корзинуПозвонить
Найти в Дзене
Атмосфера трезвости

Электронные сигареты вызвали первые случаи EVALI у российских подростков

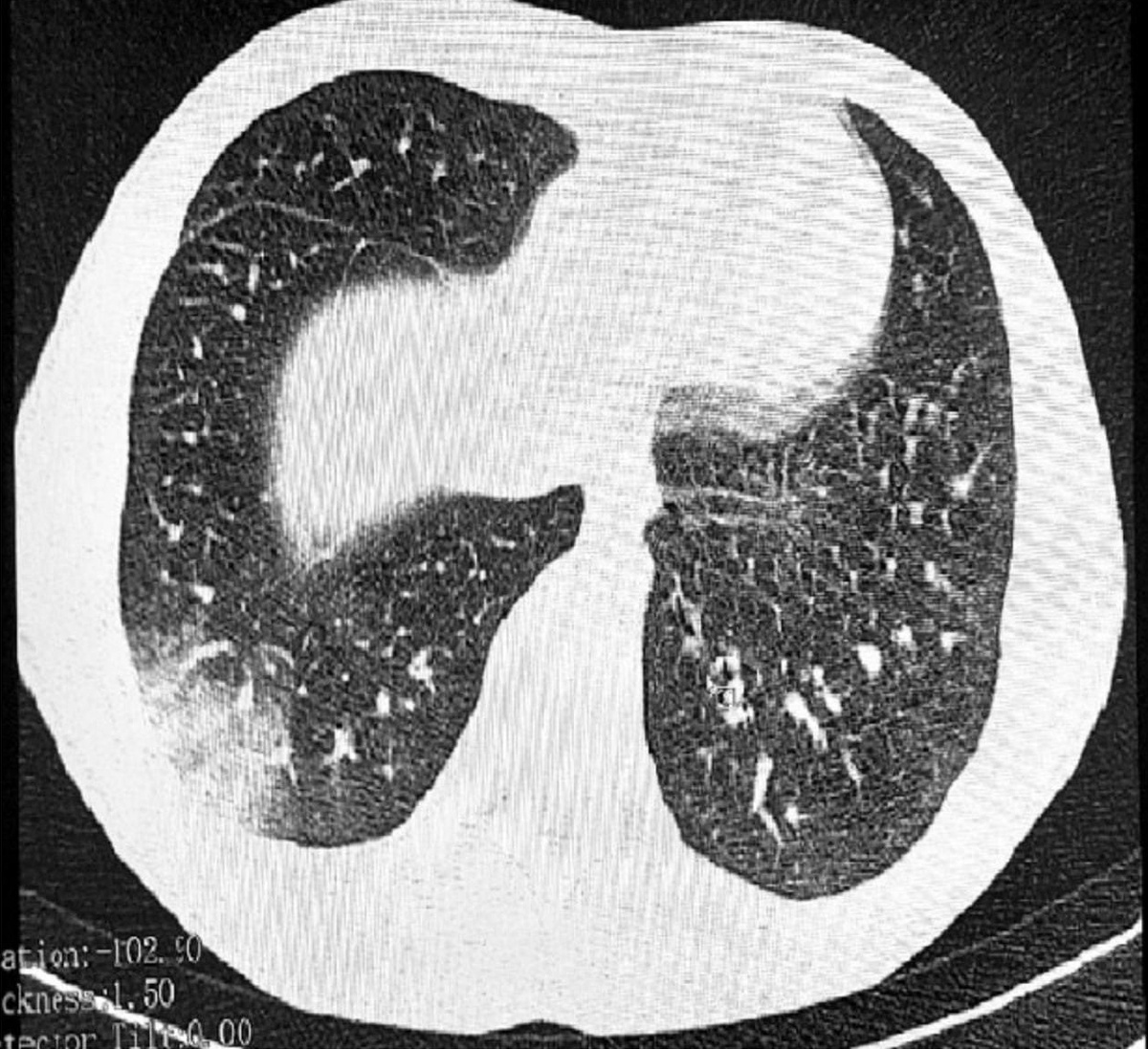
В Российской Федерации впервые были зарегистрированы случаи заболевания, связанного с курением электронных сигарет, которое в США известно как EVALI (повреждение легких, связанное с использованием электронной сигареты или продукта vaiping). Это очень серьезное заболевание легких человека, которое характеризуется тяжелым воспалением и рубцеванием мелких бронхов (бронхиол) легких. В Томске у двух подростков были обнаружены последствия: у одного - облитерирующий бронхиолит (форма EVALI), а у другого - отравление центральной нервной системы, вызванное курением смесей для электронных сигарет. Заболевание трудно диагностировать, но одним из ярких симптомов являются характерные хрипы в легких, напоминающие звук лопающегося попкорна. Из-за этого заболевание получило еще одно название - "попкорновая болезнь". На данный момент, к сожалению, не существует эффективного лечения EVALI. Ситуация требует пристального внимания и дальнейшего изучения причин и последствий использования электронных сигаре
Снимок из открытых источников
Снимок из открытых источников

В Российской Федерации впервые были зарегистрированы случаи заболевания, связанного с курением электронных сигарет, которое в США известно как EVALI (повреждение легких, связанное с использованием электронной сигареты или продукта vaiping). Это очень серьезное заболевание легких человека, которое характеризуется тяжелым воспалением и рубцеванием мелких бронхов (бронхиол) легких.

В Томске у двух подростков были обнаружены последствия: у одного - облитерирующий бронхиолит (форма EVALI), а у другого - отравление центральной нервной системы, вызванное курением смесей для электронных сигарет.

Заболевание трудно диагностировать, но одним из ярких симптомов являются характерные хрипы в легких, напоминающие звук лопающегося попкорна. Из-за этого заболевание получило еще одно название - "попкорновая болезнь".

На данный момент, к сожалению, не существует эффективного лечения EVALI. Ситуация требует пристального внимания и дальнейшего изучения причин и последствий использования электронных сигарет, особенно среди подростков. Но одно уже можно сказать точно: отказ от так называемого "парения" поможет сохранить человеку свои легкие. Берегите себя!

Ранее на нашем канале мы уже писали о проблеме, связанной с вейпами, в статье о редком заболевании легких, известном как "попкорновая болезнь". Вы можете найти и прочитать эту статью, перейдя по следующей ссылке: https://dzen.ru/a/Ze00OwBQmC8HlcGa