Добавить в корзинуПозвонить
Найти в Дзене

Межмышечная гематома бедра

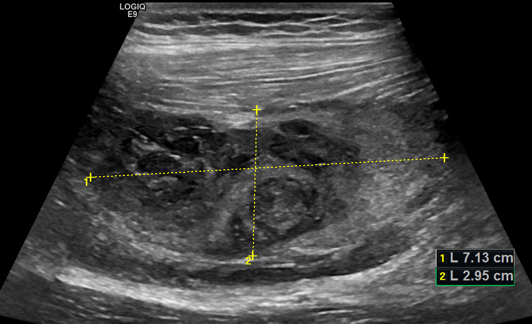
Многие виды спорта предполагают повышенный риск травматизма. Есть информация, что частота спортивных травм составляет примерно 5–7%. Однако если учесть, что этот показатель относится лишь к тем, кто обратился к врачу или в клинику, то процент реального травматизма становится гораздо большим и примерно каждый пятый спортсмен получает травмы. По данным различных литературных источников, разрывы мышц составляют около 4% случаев спортивного травматизма. Спортсмен, 14 лет, получил травму во время тренировки. Задняя поверхность правого бедра При ультразвуковом исследовании мягких тканей правого бедра определяется: По задней поверхности, в верхней и средней трети бедра, под длинной головкой двуглавой мышцы бедра определяется крупное скопление густой неоднородной жидкости размерами 71х46х29 мм с большим количеством плотных сгустков и нитями фибрина (свернувшаяся гематома). Двуглавая мышца оттеснена кнаружи и умеренно компремирована, по внутренней ее поверхности мышечные волокна видны неотчетл

Изображение из свободного доступа
Изображение из свободного доступа

Многие виды спорта предполагают повышенный риск травматизма. Есть информация, что частота спортивных травм составляет примерно 5–7%. Однако если учесть, что этот показатель относится лишь к тем, кто обратился к врачу или в клинику, то процент реального травматизма становится гораздо большим и примерно каждый пятый спортсмен получает травмы. По данным различных литературных источников, разрывы мышц составляют около 4% случаев спортивного травматизма.

Спортсмен, 14 лет, получил травму во время тренировки. Задняя поверхность правого бедра

При ультразвуковом исследовании мягких тканей правого бедра определяется: По задней поверхности, в верхней и средней трети бедра, под длинной головкой двуглавой мышцы бедра определяется крупное скопление густой неоднородной жидкости размерами 71х46х29 мм с большим количеством плотных сгустков и нитями фибрина (свернувшаяся гематома).

Рис. 01. Межмышечная гематома, продольное сканирование
Рис. 01. Межмышечная гематома, продольное сканирование
Рис. 02. Межмышечная гематома, поперечное сканирование
Рис. 02. Межмышечная гематома, поперечное сканирование

Двуглавая мышца оттеснена кнаружи и умеренно компремирована, по внутренней ее поверхности мышечные волокна видны неотчетливо.

-4

Рис. 03. Межмышечная гематома, продольное сканирование, дистальный отдел гематомы, где определяется разрушение мышечных волокон

От верхнего контура гематомы проксимально распространяется скопление густой неоднородной жидкости толщиной слоя до 8 мм шириной до 33 мм, вклинивающееся между головкой бицепса и полусухожильной мышцей и распространяющееся проксимально до подъягодичной складки.

Видео 04. Межмышечная гематома

Заключение: УЗ признаки повреждения двуглавой мышцы правого бедра с развитием крупной межмышечной гематомы.

Рекомендовано выполнить МРТ для уточнения степени повреждения мышцы. Консультация травматолога. Учитывая крупные размеры гематомы и ее состояние - наличие плотных сгустков, консервативная терапия и малоинвазивное лечение в виде пункции и аспирации содержимого будут неэффективны. Наиболее вероятно, предстоит оперативное лечение.