Найти в Дзене
Sense Clinic

Минус 20 лет за один визит: как стоматология заменяет пластическую хирургию

Улыбка — один из главных факторов, влияющих на нашу внешность. Но мало кто задумывается, что состояние зубов влияет не только на красоту улыбки, но и на форму лица в целом. Дефекты прикуса, потеря зубов и другие стоматологические проблемы могут значительно изменить черты лица, придавая ему усталый, асимметричный или даже постаревший вид. В этой статье разберем, как проблемы с зубами могут повлиять на внешний облик и какие стоматологические процедуры помогут его скорректировать.   🔹Потеря зубов и старение лица Отсутствие одного или нескольких зубов приводит к уменьшению костной ткани челюсти. В результате щеки западают, уголки губ опускаются, появляются морщины вокруг рта, что визуально добавляет возраст.   🔹Неправильный прикус и асимметрия Дефекты прикуса могут делать лицо несимметричным: например, при глубоком прикусе нижняя челюсть визуально уменьшается, а при открытом — лицо кажется удлиненным.   🔹Износ зубов и изменение профиля лица Стираемость эмали и укороченные зубы могут пр
Оглавление

Улыбка — один из главных факторов, влияющих на нашу внешность. Но мало кто задумывается, что состояние зубов влияет не только на красоту улыбки, но и на форму лица в целом. Дефекты прикуса, потеря зубов и другие стоматологические проблемы могут значительно изменить черты лица, придавая ему усталый, асимметричный или даже постаревший вид.

В этой статье разберем, как проблемы с зубами могут повлиять на внешний облик и какие стоматологические процедуры помогут его скорректировать.  

Как состояние зубов влияет на форму лица?

🔹Потеря зубов и старение лица

Отсутствие одного или нескольких зубов приводит к уменьшению костной ткани челюсти. В результате щеки западают, уголки губ опускаются, появляются морщины вокруг рта, что визуально добавляет возраст.  

🔹Неправильный прикус и асимметрия

Дефекты прикуса могут делать лицо несимметричным: например, при глубоком прикусе нижняя челюсть визуально уменьшается, а при открытом — лицо кажется удлиненным.  

🔹Износ зубов и изменение профиля лица

Стираемость эмали и укороченные зубы могут приводить к тому, что нижняя часть лица становится короче, подбородок кажется более выступающим, а губы — менее объемными.  

Как стоматология помогает скорректировать внешний вид?

Современные стоматологические процедуры способны не только восстановить здоровье зубов, но и вернуть гармоничные черты лица.  

  • Имплантация зубов

При потере зубов установка имплантов предотвращает атрофию костной ткани и сохраняет естественную форму лица.  

  • Ортодонтия (брекеты, элайнеры)

Исправление прикуса помогает сделать лицо более симметричным, придавая ему гармоничные пропорции.  

  • Протезирование и виниры

Конструкции All-on-6 позволяют полностью вернуть утраченные зубы и восстановить их функцию.

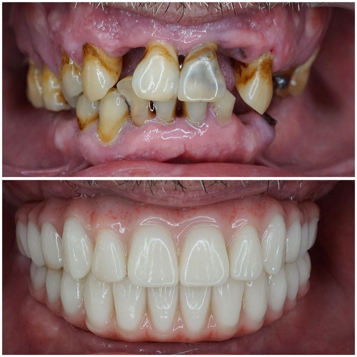
Наша работа в формате до/после
Наша работа в формате до/после

Комплексный подход – ключ к совершенству

Тотальная реабилитация позволяет добиться действительно достойного результата, который меняет людей не только внешне, но и внутренне – возвращает уверенность и молодость.

🔹Пример из нашей практики: В стоматологию Sense Clinic обратился мужчина, который ~30 лет не был в кресле у врача по причине огромного страха. Ситуация была катастрофической и требовала срочного вмешательства. Зубы были настолько разрушены, что спасать их уже было поздно. Мы удалили ему все зубы и установили 12 имплантов на 2-х протезах по технологии All-on-6. Мы провели комплексную реабилитацию, и полностью восстановили пациенту жевательную функцию, вернули высоту прикуса и эстетику. Пациент отметил, что не только стал выглядеть моложе, но и почувствовал уверенность в себе и новых силах!

Мы по сей день наблюдаем за состоянием здоровья его зубов — результат радует и нас, и пациента!

Подведём итог:

Красота лица во многом зависит от состояния зубов. Даже небольшие стоматологические дефекты могут визуально изменить пропорции лица и прибавить возраст. Но грамотный подход к стоматологическому лечению поможет не только вернуть здоровую улыбку, но и улучшить внешний вид в целом.

Если вас беспокоит асимметрия лица, изменение формы губ или другие эстетические нюансы, стоит обратиться к стоматологу — современные методики позволяют решить эти проблемы без хирургического вмешательства.  

Больше пользы и наших работ смотрите в нашем телеграм-канале ☑️