Найти в Дзене

Основы ультразвукового сопровождения малоинвазивных вмешательств

В современной хирургической практике всё большее внимание уделяется малоинвазивным вмешательствам, позволяющим осуществить лечебное воздействие или диагностическую процедуру с незначительными повреждениями тканей и с минимальным риском для больного. Несмотря на то, что выполнение подобных вмешательств является хирургической процедурой и осуществляется специалистом хирургического профиля, огромную важность имеет работа врача ультразвуковой диагностики, который является «глазами» хирурга при наведении инструментария и выполнении манипуляций в тканях и органах пациента. Первичная подготовка врача ультразвуковой диагностики не предполагает обучение навыкам совместной работы с хирургом при выполнении малоинвазивных вмешательств, что для многих начинающих специалистов УЗД является фактором, препятствующим принятию ими решения об участии в подобных процедурах. Целью настоящей работы является попытка предоставить врачу ультразвуковой диагностики базовые знания о тактике ультразвукового сопрово
Изображение из свободного доступа
Изображение из свободного доступа

В современной хирургической практике всё большее внимание уделяется малоинвазивным вмешательствам, позволяющим осуществить лечебное воздействие или диагностическую процедуру с незначительными повреждениями тканей и с минимальным риском для больного. Несмотря на то, что выполнение подобных вмешательств является хирургической процедурой и осуществляется специалистом хирургического профиля, огромную важность имеет работа врача ультразвуковой диагностики, который является «глазами» хирурга при наведении инструментария и выполнении манипуляций в тканях и органах пациента. Первичная подготовка врача ультразвуковой диагностики не предполагает обучение навыкам совместной работы с хирургом при выполнении малоинвазивных вмешательств, что для многих начинающих специалистов УЗД является фактором, препятствующим принятию ими решения об участии в подобных процедурах. Целью настоящей работы является попытка предоставить врачу ультразвуковой диагностики базовые знания о тактике ультразвукового сопровождения малоинвазивных вмешательств и предотвращении возможных осложнений.

Малоинвазивными вмешательствами называются любые, преимущественно хирургические процедуры, которые обеспечивают меньшее вмешательство в организм, чем применяемые для той же цели открытые операции. В современной клинической практике большинство малоинвазивных вмешательств выполняется под лучевым контролем, что стало возможным благодаря достижениям высоких технологий и значительному прогрессу лучевой диагностики.

Интервенционная радиология включает в себя все малоинвазивные вмешательства, проводимые под контролем и с использованием методов лучевой визуализации. Одним из наиболее часто используемых методов лучевого исследования для сопровождения малоинвазивных вмешательств является ультразвуковое исследование. Причиной такого предпочтительного отношения врачей к использованию ультразвукового метода является отсутствие лучевой нагрузки при проведении ультразвуковых исследований, возможность определения взаиморасположения органов с учётом их физиологического движения во время манипуляции, возможность выбора оптимальной траектории пункции по минимальному расстоянию до зоны интереса или по наиболее безопасной траектории, адекватная оценка движения пункционной иглы во время манипуляции и оценка изменений в органах после манипуляции.

Среди всех методик ультразвукового сопровождения малоинвазивных вмешательств наиболее широко распространена технология "Free hand", то есть проведение пункций со "свободной иглой" без применения каких-либо дополнительных приспособлений, облегчающих фиксацию и наведение иглы на зону интереса. Отчасти это объясняется недостаточной технической оснащённостью многих отделений ультразвуковой диагностики, но данная методика имеет и ряд преимуществ, в частности, она даёт возможность более свободно манипулировать иглой при проведении вмешательств, что значительно затруднено при проведении пункций с помощью биопсийных приставок.

Работа врача ультразвуковой диагностики не ограничивается только активным участием в процессе выполнения малоинвазивного вмешательства. Пациент подвергается комплексному ультразвуковому исследованию до вмешательства и динамическому наблюдению после выполнения процедур. В связи с этим, выделяют три этапа ультразвукового исследовании я при малоинвазивных вмешательствах:

1. Доманипуляционный этап, включающий обзорное исследование области будущего вмешательства (брюшной полости, забрюшинного пространства, шеи и т.д.), детальное изучение, подлежащего вмешательству и прицельный осмотр зоны интереса (очага, полости и т.д.).

2. Манипуляционный этап – непосредственное ультразвуковое сопровождение вмешательства и выявление ранних осложнений.

3. Постманипуляционный этап, задачами которого являются оценка эффективности манипуляций и выявление осложнений: ранних (до 3 суток), отсроченных (4-15 суток) и отдалённых (от 16 суток до 3 месяцев). На этом же этапе проводится оценка степени восстановления структуры и функции органа.

Показания к малоинвазивным вмешательствам весьма обширны, и перечень их постоянно пополняется в связи с продолжающимся развитием ультразвуковой техники и хирургических технологий. В общих чертах, все манипуляции можно разделить на две группы – диагностические вмешательства и лечебные.

Врач ультразвуковой диагностики обязательно должен учитывать наличие противопоказаний к малоинвазивным вмешательствам, которые можно подразделить на абсолютные и относительные. Абсолютные противопоказания: декомпенсированные нарушения свёртывающей системы крови, отсутствие адекватного контакта с пациентом (например, острый психоз), особо опасные инфекции и отсутствие информированного согласия пациента. К относительным противопоказаниям относят общее тяжёлое состояние пациента, требующее неотложных мероприятий, неотчётливая визуализация области интереса, отсутствие безопасной траектории для проведения иглы, механическая желтуха (при пункциях печени, не связанных с дренированием желчных путей и декомпрессией). Важным противопоказанием также является невозможность выполнения экстренного оперативного вмешательства (при возникновении осложнений от малоинвазивных манипуляций), что в значительной мере ограничивает возможность выполнения некоторых процедур в амбулаторно-поликлинических условиях.

В подавляющем большинстве случаев, малоинвазивные вмешательства под ультразвуковым контролем выполняются совместно двумя специалистами – врачом УЗД и хирургом. Самостоятельное выполнение некоторых вмешательств одним врачом, владеющим навыками выполнения хирургических манипуляций и ультразвуковой диагностики возможно, но крайне затруднено.

Основными задачами врача ультразвуковой диагностики при проведении подобных вмешательств являются следующие:

1. Точная локализация «зоны интереса» (очага, полости, сосуда, протока и т.д.)

2. Определение возможности малоинвазивного доступа

3. Определение точки прокола и направления входа пункционной иглы

4. Выбор датчика.

5. Выбор оптимальных положений датчика во время процедуры

6. Определение глубины прохода иглы до достижения «зоны интереса»

7. Сопровождение иглы при её проведении хирургом до достижения «зоны интереса»

8. Определение безопасности взятия биопсии с учётом глубины проникновения иглы (при использовании автоматической биопсийной системы)

9. Контроль положения конца иглы при биопсии тканевых образований и откачивании жидкостей из полостных образований

10. Контроль введения жидкостей в патологические полости

11. Визуализация проводников и катетеров при их установке

Следует учитывать, что не все органы и структуры, доступные для ультразвукового исследования, доступны для малоинвазивных вмешательств под ультразвуковым контролем. Некоторые органы могут в значительной мере перекрываться структурами, перфорация которых иглой может быть нежелательна или даже опасна (полые органы брюшной полости, крупные сосуды); пункция некоторых структур может быть связана с значительным риском кровотечения или развития иных серьёзных осложнений.

Для успешного выполнения пункций и иных вмешательств под ультразвуковым наведением очень важной является адекватная подготовка пациента к исследованию. В значительной мере работа врача ультразвуковой диагностики облегчается тем, что многие органы и структуры хорошо визуализируются и не требуют дополнительной подготовки (например, периферические сосуды и лимфатические узлы, щитовидная и молочная железа, мягкие ткани грудной и брюшной стенки, конечностей, плевральная полость и полость брюшины при наличии жидкости). В то же время, для проведения пункций органов брюшной полости и малого таза, как правило, требуется тщательная подготовка пациента, направленная на снижение газообразования в желудочно-кишечном тракте, в связи с чем, адекватным является назначение фармакологических средств, снижающих газообразование или адсорбентов.

Точная локализация зоны интереса является крайне важной задачей. Врач ультразвуковой диагностики должен отчётливо видеть границы патологического очага, подлежащего пункции. В клинической практике нередки ситуации, когда патологическое образование отчётливо визуализируется при КТ и МРТ (особенно, при искусственном внутривенном контрастировании), но оказывается практически изоэхогенным при УЗИ, либо границы очага крайне неотчётливы на фоне диффузных изменений органа. В подобной ситуации у врача есть выбор дальнейшей тактики работы с пациентом: повторить исследование с тщательной подготовкой пациента, провести поиск нестандартных ультразвуковых доступов к «зоне интереса», рассмотреть вопрос об использовании других средств лучевой визуализации для выполнения малоинвазивного вмешательства (например, традиционное рентгенологическое исследование или КТ). В ряде случаев врач вынужден отказаться от выполнения малоинвазивного вмешательства под лучевым контролем в пользу других методов, например, в пользу пункции под контролем лапароскопии или интраоперационной пункции.

Возможность малоинвазивного доступа к органам и структурам под ультразвуковым наведением определяется отчасти глубиной их залегания, но в наибольшей степени на это влияет наличие предлежащих структур, перфорация которых невозможна (кости) или крайне нежелательна (органы желудочно-кишечного тракта, крупные сосуды, легочная ткань, органы с интенсивным кровоснабжением) (Рис. 1).

-2

Рис. 01. Опухоль в головке поджелудочной железы частично перекрыта фрагментом кишки, содержащим газ, что является осложняющим фактором при выполнении пункции.

Когда возможность выполнения процедуры определена, перед врачом ультразвуковой диагностики встаёт задача определения точки прокола кожи и направления движения иглы. Следует принять во внимание, что основную роль в решении этой задачи играет именно врач ультразвуковой диагностики, но с обязательным участием хирурга. Точка прокола кожи и направление движения иглы выбираются исходя из следующих правил:

1. Отсутствие предлежащих мешающих структур, прокол которых невозможен или опасен (Рис. 2).

-3

Рис. 02. Изображение адаптировано из свободного доступа. Схема выбора точки прокола для пункции очага в верхних отделах VIII сегмента печени. Положение иглы, перпендикулярное поверхности кожи невозможно из-за неизбежного повреждения плеврального синуса. Доступ возможен только через нижележащее межреберье с наклонным положением иглы.

2. По возможности – отсутствие крупных сосудов за зоной пункции по ходу движения иглы. Данное правило не является абсолютным, однако его следует учитывать, особенно при использовании биопсийной системы, когда необходимо контролировать движение иглы с учётом глубины «выстрела» и не допустить травмирование структур, лежащих за зоной интереса.

-4

Рис. 03. Ультразвуковое изображение узла в правой доле щитовидной железы и схема наиболее благоприятного (зеленая стрелка) и рискованного (красная стрелка) направления движения иглы при выполнении пункции, с учётом наличия близлежащих крупных сосудов. При движении иглы по «зеленой стрелке» крупные сосуды остаются сбоку от траектории движения и не могут быть травмированы.

3. По возможности – наименьшая травматизация органов (Рис. 04).

-5

Рис. 04. Ультразвуковое изображение и схема подпеченочного абсцесса и положения иглы (зелёная стрелка), исключающего травматизацию печени при проведении пункции.

4. Максимально короткое расстояние от точки прокола кожи до зоны, подлежащей пункции. Данное правило также не является абсолютным, поскольку в ряде случаев, короткий доступ невозможен в силу анатомических причин и наличия перекрывающих структур.

5. По возможности – перпендикулярное положение иглы по отношению к поверхности кожи. Правило диктуется удобством работы хирурга, выполняющего пункцию, но именно это правило наиболее часто не соблюдается в силу особенностей анатомического расположения органов и визуализации патологических образований. В большинстве случаев игла располагается наклонно к центральному лучу ультразвукового датчика.

-6

Рис. 05. Наиболее частые варианты расположения иглы относительно ультразвукового датчика.

Задача выбора ультразвукового датчика определяется в первую очередь глубиной залегания зоны интереса, диктующей необходимость использования датчика с определенной частотой ультразвука. В то же время, следует учитывать, что на выбор датчика может влиять и размер ультразвукового «окна», и необходимость выделения необходимого пространства для выполнения прокола кожи. Так, в частности, при выполнении пункций через межреберье, где размер ультразвукового окна крайне невелик, нередко вместо линейного или конвексного датчика врач использует секторный или микроконвексный датчик – ректовагинальный, обеспечивающий широкий обзор через узкое акустическое окно и дающий возможность выполнить пункцию в непосредственной близости от края датчика.

Выбор оптимального положения датчика при осуществлении ультразвукового наведения и контроля иглы диктуется необходимостью отчётливой визуализации как области интереса, так и хирургической иглы. В связи с этим нередки случаи, когда датчик располагается не в типичных положениях, используемых для визуализации органа. Кроме того, врач ультразвуковой диагностики должен учитывать необходимость предоставления достаточного пространства хирургу для выполнения прокола кожи и дальнейших манипуляций иглой в тканях организма.

Следующей важной задачей является определение глубины прокола от поверхности кожи до достижения зоны, подлежащей пункции (Рис. 6, 7). От глубины прохода иглы зависит выбор инструментария, используемого хирургом, и в частности – выбор длины иглы. При определении глубины прокола следует учитывать расположение точки входа и локализацию зоны интереса, а также наличие мешающих структур, повреждение которых нежелательно. Дополнительно следует добавить 0.5 см. для учёта утолщения мягких тканей за счёт инфильтрационной анестезии, если таковая применяется.

-7

Рис. 06. Схема определения глубины прокола до достижения «зоны интереса».

1 – ультразвуковой датчик

2 – «Зона интереса» (прим. патологический очаг)

3 – структура, не подлежащая травматизации (прим. желудок или фрагмент кишки)

4 – точка прокола кожи

5 – измеряемое расстояние глубины прокола

-8

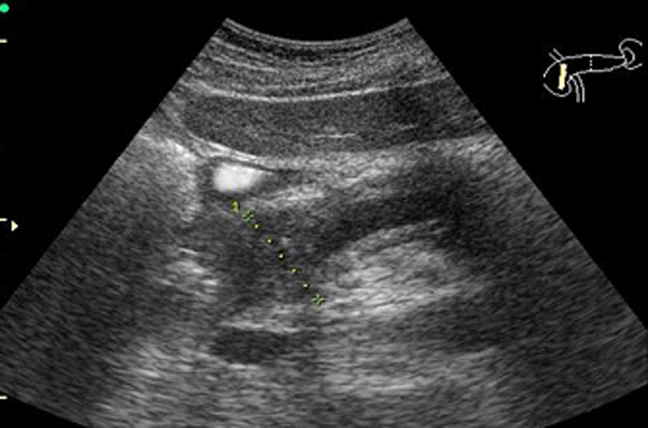
Рис. 07. Ультразвуковое изображение кистозного образования в правой доле печени с указанием определения глубины прокола при пункции кисты печени.

Как правило, игла выбирается большей длины, чем получено при измерении, поскольку есть необходимость не только достижения кончиком иглы образования, но и проникновение внутрь на достаточную глубину. Кроме того, в силу эластичности тканей, пунктируемое образование может смещаться, что ещё дополнительно увеличивает расстояние для доступа.

В случае, если точка прокола кожи располагается далеко от датчика, расстояние до зоны интереса измеряется отдельно, в точке прокола, с дальнейшей перестановкой датчика в зону, откуда будет производиться наблюдение за иглой (рис. 8, 9).

-9

Рис. 08. Определение глубины прокола при удалённом расположении точки пункции от датчика. 1 – измерение глубины прокола. 2 – положение датчика при проведении пункции.

-10

Рис 09. Определение глубины прокола и контроль положения иглы при пункции печени.

А - Ультразвуковая локация через межреберье, определение глубины прокола

Б - Ультразвуковая локация через подрёберный доступ, контроль положения иглы во время пункции

Ультразвуковое сопровождение проведения иглы через ткани организма является наиболее важной задачей совместной работы хирурга и врача ультразвуковой диагностики. Следует стремиться к тому, чтобы игла располагалась в плоскости ультразвукового луча продольно, поскольку поперечное её изображение крайне неотчётливо, особенно при проведении пункций на большой глубине и с использованием низкочастотных датчиков (рис. 10, 11).

-11

Рис. 10. Визуализация иглы при её продольном расположении относительно плоскости ультразвукового луча. Схема расположения иглы и ультразвуковое изображение при пункции узла щитовидной железы.

-12

Рис. 11. Визуализация иглы при её поперечном расположении относительно плоскости ультразвукового луча. Схема расположения иглы и ультразвуковое изображение при пункции узла щитовидной железы.

Одним из несомненных достоинств выполнения пункция со «свободной иглой» является возможность «маневрирования» в тканях организма и выполнения пункций даже в тех случаях, когда зона интереса частично перекрывается мешающими структурами. Отсутствие жёсткого канала, направляющего движение иглы позволяет изменять направление движения и «огибать» или даже слегка смещать, отодвигать структуры, не подлежащие травматизации (сосуды, петли кишечника).

В современной хирургической практике широко используются механические устройства для взятия гистологического материала, со «стреляющей» иглой. Врач ультразвуковой диагностики, осуществляющий ультразвуковое сопровождение пункции, выполняемой с помощью данной системы, должен учитывать, что во время «выстрела» контроль иглы невозможен, поскольку движение иглы осуществляется с большой скоростью. В связи с этим, необходимо точно рассчитывать положение конца иглы с учётом глубины проникновения, как правило, это значения 15 мм или 22 мм. Если размер образования превышает указанное расстояние, то вероятность возникновения осложнений будет небольшой (рис. 12). Если же образование имеет меньшие размеры и в непосредственной близости от его заднего контура располагается структура, не подлежащая травматизации (например, крупный сосуд), то необходимо выбрать положение иглы, при котором данная структура не будет повреждена, либо выполнить иную, менее травматичную процедуру (например, тонкоигольную аспирационную биопсию) (рис. 13).

-13

Рис. 12. Ультразвуковое изображение опухоли головки поджелудочной железы. Размер опухоли превышает глубину проникновения иглы в момент взятия биопсийного материала (15 или 22 мм), следовательно, пункция возможна даже несмотря на наличие сосуда (селезёночной вены), расположенного непосредственно за образованием.

-14

Рис. 13. Ультразвуковое изображение опухоли тела поджелудочной железы. Размер опухоли значительно меньше глубины проникновения иглы в момент взятия биопсийного материала (15 или 22 мм), следовательно, пункция с помощью автоматической биопсийной системы невозможна. Есть высокий риск повреждения сосудов, лежащих кзади от тела поджелудочной железы (селезеночной вены, верхней брыжеечной артерии, аорты).

Пункция кистозных образований различных органов, как правило, выполняется не только с диагностической, но и с лечебной целью, так как позволяет осуществлять аспирацию жидкости и введение веществ, способствующих спадению полости и последующему склерозированию. Врач ультразвуковой диагностики, осуществляющий ультразвуковое сопровождение данной хирургической манипуляции, должен учитывать, что по мере уменьшения количества жидкости в пунктируемой полости, положение иглы может изменяться и привести либо к «выпадению» иглы из полости или к перфорации её дальней стенки и повреждению соседних структур, в связи с чем, необходим постоянный контроль положения конца иглы и его коррекция (рис. 14, 15).

-15

Рис. 14. Варианты изменения положения конца иглы в зависимости от направления спадения кистозной полости при аспирации жидкости.

-16

Рис. 15. Положение иглы при аспирации жидкости из кисты печени.

Малоинвазивные интервенционные вмешательства подразумевают не только пункции различных отграниченных образований, но и введение различных проводников, дренажей и катетеров в трубчатые структуры организма – сосуды и протоки. Ультразвуковое сопровождение подобных манипуляций значительно более трудоёмко и требует особенно слаженной работы хирурга и врача ультразвуковой диагностики ввиду небольшого диаметра пунктируемых структур, различной их топографией и, нередко, большой глубиной залегания.

Как правило, пункция трубчатых структур осуществляется по классической методике Сельдингера и особенностью является только наличие ультразвукового сопровождения. Следует учитывать, что для успешной катетеризации трубчатых структур, особенно малого диаметра, важным является выбор пункционного доступа, при котором игла будет располагаться по отношению к стенке сосуда или протока под наиболее острым углом. Это условие ставит перед врачом ультразвуковой диагностики задачу выбора датчика и зон акустического доступа, обеспечивающих успешное выполнение процедуры. С учётом малого диаметра пунктируемых структур и небольшой толщины используемого пункционного инструментария, следует стремиться, по возможности, использовать линейные датчики с наибольшей частотой ультразвука для пунктирования трубчатых структур, располагающихся параллельно коже, и микроконвексные датчики для доступа к сосудам и протокам, располагающимся под большими значениями угла по отношению к коже.

Таким образом, знание основных принципов ультразвукового сопровождения малоинвазивных вмешательств поможет врачу ультразвуковой диагностики освоить новые профессиональные навыки, расширить объём оказываемых услуг и способствовать более широкому использованию малоинвазивных вмешательств в клинической практике.

Опубликовано в издании: Лучевая диагностика и терапия, 2013.-N 4.-С.28-34.