Добавить в корзинуПозвонить
Найти в Дзене
Клиника ЛАНЦЕТЪ

👃🏻 ИСТОРИЯ ПАЦИЕНТА

Лечащий врач:
САСОВ Леонид Константинович
врач-оториноларинголог, пластический хирург 🔸 ПРОБЛЕМА ПАЦИЕНТА В сентябре 2024 года пациентка обратилась на консультацию к доктору Сасову с жалобами на затрудненное носовое дыхание, также её беспокоила форма носа: выраженная горбинка, низкое расположение кончика носа, смещение спинки вправо и асимметричная колумелла (ткань, разделяющая носовые ходы). 🔸 ПРОВЕДЕННОЕ ОБСЛЕДОВАНИЕ Во время консультации с помощью КТ носа и околоносовых пазух удалось установить объективные причины нарушения дыхания. Визуально были обнаружены деформированные участки перегородки носа. С применением 3D-реконструкции лица пациентки и наложением мягкотканевых структур, были проанализированы анатомические причины измененной формы носа. Пациентке были предложены различные варианты моделирования, из которых она выбрала наиболее подходящий. 🔸 НАЗНАЧЕННОЕ ЛЕЧЕНИЕ Для устранения всех беспокоящих пациентку проблем лечащий врач рекомендовал провести закрытую функциональную

САСОВ Леонид Константинович, врач-оториноларинголог, пластический хирург
САСОВ Леонид Константинович, врач-оториноларинголог, пластический хирург


Лечащий врач:
САСОВ Леонид Константинович
врач-оториноларинголог, пластический хирург

🔸 ПРОБЛЕМА ПАЦИЕНТА

В сентябре 2024 года пациентка обратилась на консультацию к доктору Сасову с жалобами на затрудненное носовое дыхание, также её беспокоила форма носа: выраженная горбинка, низкое расположение кончика носа, смещение спинки вправо и асимметричная колумелла (ткань, разделяющая носовые ходы).

🔸 ПРОВЕДЕННОЕ ОБСЛЕДОВАНИЕ

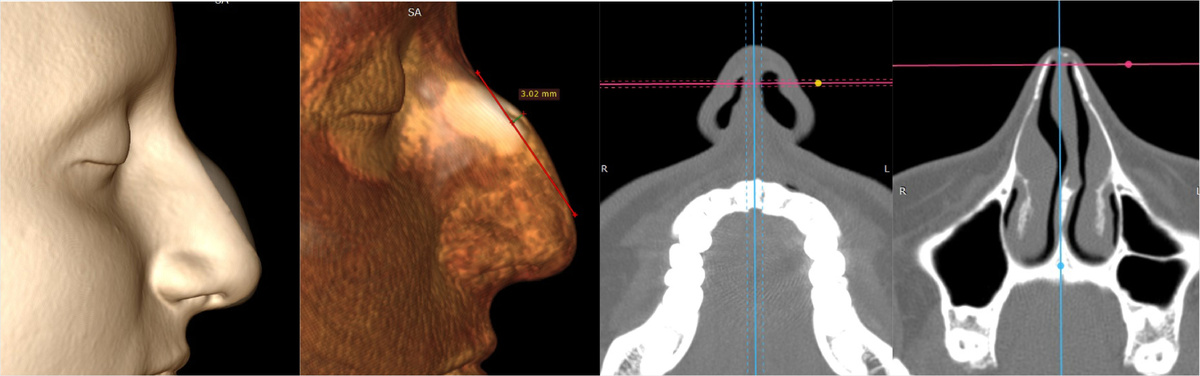
Во время консультации с помощью КТ носа и околоносовых пазух удалось установить объективные причины нарушения дыхания. Визуально были обнаружены деформированные участки перегородки носа.

С применением 3D-реконструкции лица пациентки и наложением мягкотканевых структур, были проанализированы анатомические причины измененной формы носа. Пациентке были предложены различные варианты моделирования, из которых она выбрала наиболее подходящий.

🔸 НАЗНАЧЕННОЕ ЛЕЧЕНИЕ

Для устранения всех беспокоящих пациентку проблем лечащий врач рекомендовал провести закрытую функциональную риносептопластику под комбинированным эндотрахеальным наркозом.

🔸 ПОДГОТОВКА ПЕРЕД ОПЕРАЦИЕЙ

В течение месяца проводилась тщательная подготовка, включая выбор оптимальной методики для выполнения операции. В соответствии с выбранным вариантом моделирования был произведен точный расчет глубины понижения спинки носа (устранение горбинки) и высоты увеличения проекции кончика носа. В день операции врач обсудил с пациенткой все нюансы предстоящего вмешательства, далее сделали фотографии и провели медикаментозную подготовку.

Снимки КТ носа и околоносовых пазух пациентки
Снимки КТ носа и околоносовых пазух пациентки


🔸 ОПЕРАЦИЯ

Длительность операции составила 5,5 часов. Все поставленные задачи были успешно реализованы, при этом особое внимание уделялось установке высоты кончика носа.

Операция была проведена без единого наружного разреза (закрытая методика) через очень узкое пространство. Этот способ сложнее для хирурга, но дает возможность пациенту быстрее восстановиться после операции: наблюдаются меньшие отеки и гематомы, а также сохраняется чувствительность кончика носа. Эти преимущества почувствовала и наша пациентка.

Фото ДО и ПОСЛЕ операции у нашей пациентки
Фото ДО и ПОСЛЕ операции у нашей пациентки


🔸 РЕАБИЛИТАЦИЯ

После снятия лонгеты гематом не осталось, отеки были минимальными, носовое дыхание значительно улучшилось, а чувствительность кожи носа осталась на высоком уровне. В зависимости от сложности клинического случая длительность реабилитации до снятия лонгеты варьируется от 9 до 14 дней после операции.

☎️ Записаться на консультацию к доктору Сасову можно по телефонам 8 (938) 420-00-24, 8 (800) 500 02 03.

✨ Будьте здоровы и чувствуйте себя прекрасно!