Добавить в корзинуПозвонить
Найти в Дзене

Крупная ангиомиолипома почки

Ангиомиолипома почки — это самая распространенная доброкачественная опухоль почек. солидного строения, состоящая из различного количества зрелой жировой ткани, гладких мышц и толстостенных сосудов. Может длительное время никак не проявлять себя клинически. Основным методом диагностики ангиомиолипомы является мультиспиральная компьютерная томография (МСКТ), где данная опухоль зачастую имеет плотность жировой ткани. Частота встречаемости составляет от 12 до 30 случаев на 100 тыс. населения. У пациентов с ангиомиолипомами, в большинстве случаев, прогноз благоприятный, не требует планового ее удаления, но обязывает проводить контроль функциональной способности почек. Пациентка 51 года обратилась для планового обследования. Жалоб не предъявляет. Со слов пациентки, впервые образование в почке было выявлено около 30 лет назад. Выполнялось как ультразвуковое исследование, так и компьютерная томография. При ультразвуковом исследовании по наружной поверхности правой почки определяется гиперэхоге
изображение из свободного доступа
изображение из свободного доступа

Ангиомиолипома почки — это самая распространенная доброкачественная опухоль почек. солидного строения, состоящая из различного количества зрелой жировой ткани, гладких мышц и толстостенных сосудов. Может длительное время никак не проявлять себя клинически. Основным методом диагностики ангиомиолипомы является мультиспиральная компьютерная томография (МСКТ), где данная опухоль зачастую имеет плотность жировой ткани. Частота встречаемости составляет от 12 до 30 случаев на 100 тыс. населения. У пациентов с ангиомиолипомами, в большинстве случаев, прогноз благоприятный, не требует планового ее удаления, но обязывает проводить контроль функциональной способности почек.

Пациентка 51 года обратилась для планового обследования. Жалоб не предъявляет. Со слов пациентки, впервые образование в почке было выявлено около 30 лет назад. Выполнялось как ультразвуковое исследование, так и компьютерная томография.

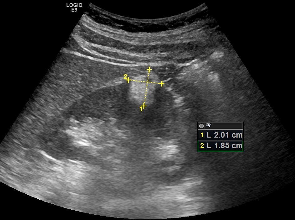
При ультразвуковом исследовании по наружной поверхности правой почки определяется гиперэхогенное образование, размерами до 20 мм, неправильной овальной формы, распространяющееся почти на всю толщину паренхимы и умеренно выбухающее за контур почки.

Рис. 01. Ангиомиолипома почки.
Рис. 01. Ангиомиолипома почки.
Рис. 02. Ангиомиолипома почки.
Рис. 02. Ангиомиолипома почки.

Контуры образования достаточно чёткие, но неровные, "дольчатые". Структура неоднородная, с мелкими гипоэхогенными включениями.

Видео 03. Ангиомиолипома почки.

При цветной допплерографии и энергетическом допплеровском картировании образование оказалось полностью аваскулярным.

Рис. 04. Ангиомиолипома почки. ЦДК
Рис. 04. Ангиомиолипома почки. ЦДК
Рис. 05. Ангиомиолипома почки. ЭДК
Рис. 05. Ангиомиолипома почки. ЭДК

Видео 06. Ангиомиолипома почки. Цветное и энергетическое допплеровское картирование

Далее, для улучшения детализации, исследование было продолжено линейным датчиком. Учитывая небольшую толщину подкожной клетчатки, поверхностные отделы почки были доступны при сканировании с частотой 13 МГц.

Рис. 07. Ангиомиолипома почки. Сканирование линейным датчиком
Рис. 07. Ангиомиолипома почки. Сканирование линейным датчиком
Рис. 08. Ангиомиолипома почки. Сканирование линейным датчиком
Рис. 08. Ангиомиолипома почки. Сканирование линейным датчиком

Видео 09. Ангиомиолипома почки. Сканирование линейным датчиком

При сканировании на высокой частоте ультразвука, гораздо отчетливее определяется неровность контуров, неоднородность структуры и выбухание опухоли за пределы паренхимы почки. Но такое исследование возможно только при относительно неглубоком расположении "зоны интереса".

Пациентке рекомендовано продолжить динамическое наблюдение - контрольное УЗИ один раз в год.