Найти в Дзене

Холедохолитиаз. Случай из практики

Холедохолитиаз обнаруживают у 2,8–19,0 % больных холециститом. Наиболее вероятной причиной для такого разброса частоты холедохолитиаза является разница в применении диагностических методов. Наиболее ценными диагностическими методами в выявлении холедохолитиаза являются Магнитно-резонансная холангиопанкреатография (МРХПГ), интраоперационная холангиография (ИОХГ) и лапароскопическое УЗИ, обладающие сходными чувствительностью и специфичностью, близкими к 100 %. (Натрошвили Илья Гивиевич, Прудков М. И. Частота выявления холедохолитиаза у больных острым холециститом (по результатам ретроспективного многоцентрового исследования) // Вестник ВолГМУ. 2019. №3 (71). URL: https://cyberleninka.ru/article/n/chastota-vyyavleniya-holedoholitiaza-u-bolnyh-ostrym-holetsistitom-po-rezultatam-retrospektivnogo-mnogotsentrovogo-issledovaniya (дата обращения: 28.02.2025).) Традиционное трансабдоминальное ультразвуковое исследование обладает меньшими возможностями, ввиду того, что общий желчный проток не все
Изображение из свободного доступа
Изображение из свободного доступа

Холедохолитиаз обнаруживают у 2,8–19,0 % больных холециститом. Наиболее вероятной причиной для такого разброса частоты холедохолитиаза является разница в применении диагностических методов. Наиболее ценными диагностическими методами в выявлении холедохолитиаза являются

Магнитно-резонансная холангиопанкреатография (МРХПГ), интраоперационная холангиография (ИОХГ) и лапароскопическое УЗИ, обладающие сходными чувствительностью и специфичностью, близкими к 100 %. (Натрошвили Илья Гивиевич, Прудков М. И. Частота выявления холедохолитиаза у больных острым холециститом (по результатам ретроспективного многоцентрового исследования) // Вестник ВолГМУ. 2019. №3 (71). URL: https://cyberleninka.ru/article/n/chastota-vyyavleniya-holedoholitiaza-u-bolnyh-ostrym-holetsistitom-po-rezultatam-retrospektivnogo-mnogotsentrovogo-issledovaniya (дата обращения: 28.02.2025).)

Традиционное трансабдоминальное ультразвуковое исследование обладает меньшими возможностями, ввиду того, что общий желчный проток не всегда удается визуализировать на всём протяжении. Традиционно, "слепой зоной" является область Фатерова соска, где выявить камень или иную патологию удаётся крайне редко. Но следует учитывать, что содержащая газ двенадцатиперстная кишка , так же как и прилегающий отдел толстой кишки тоже способны значительно перекрыть изображение общего желчного протока, затрудняя выявление патологии.

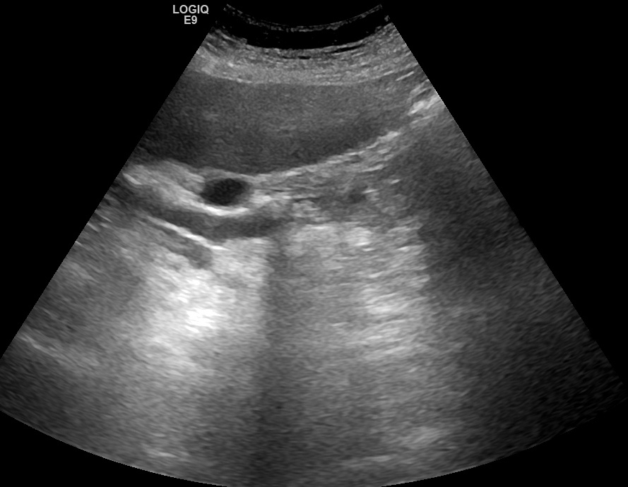
Пациентка 50 лет с холециститом в анамнезе, обратилась с жалобами на появившиеся умеренные боли в правой половине живота.

При ультразвуковом исследовании был выявлен значительно расширенный холедох, но вначале камень не был обнаружен. Такое возможно, когда конкремент находится в зоне, где общий желчный проток перекрыт двенадцатиперстной кишкой, или если камень спустился к самому Фатерову соску. В подобной ситуации может помочь следующий методический прием: пациента надо положить на правой бок, чтоб он полежал так некоторое время (это время можно посвятить изучению левой почки и селезенки) а потом снова просканировать холедох, лучше даже в этом же положении пациента на правом боку. Конкремент под действием силы гравитации смещается ближе к воротам печени и становится видимым, что и было применено в данном случае.

-2

Рис. 01. Конкремент в дистальном отделе расширенного холедоха с несколько неотчетливой дистальной акустической тенью.

Видео 02. Конкремент в дистальном отделе расширенного холедоха

-3

Рис. 03. Конкремент в дистальном отделе расширенного холедоха

Камень достаточно крупный, до 16 мм. Обращает на себя внимание, что дистальнее камня холедох продолжает оставаться расширенным, что косвенно свидетельствует, что выявленный конкремент - не единственный.