Добавить в корзинуПозвонить
Найти в Дзене

Прожить без мозга возможно? Видимо, да.

«Есть такие люди, к которым хочется подойти, взглянуть в глаза, обнять за плечи и ласково спросить: „Как же ты живёшь, без мозгов-то?“» — это цитата из книги Геннадия Эсса. Оказывается, бывает и такое, что без мозгов жить можно. Правда, есть нюансы.
Вот необычная история: Мужчина обратился в больницу после того, как у него появилась лёгкая слабость в левой ноге. Когда сотрудники «Фойе» изучили его историю болезни, они узнали, что в младенчестве ему в голову вставили шунт для отвода жидкости из головного мозга при гидроцефалии. Шунт был удалён, когда ему было 14 лет. Но исследователи решили проверить состояние его мозга с помощью компьютерной томографии (КТ) и другого вида сканирования — магнитно-резонансной томографии (МРТ). Они были поражены, увидев «значительное увеличение» боковых желудочков — обычно крошечных полостей, в которых содержится спинномозговая жидкость, защищающая мозг. Сканирование мозга мужчины показало, что огромная заполненная жидкостью полость, называемая желудочко

«Есть такие люди, к которым хочется подойти, взглянуть в глаза, обнять за плечи и ласково спросить: „Как же ты живёшь, без мозгов-то?“» — это цитата из книги Геннадия Эсса.

Мозг Гомера Симпсона из мультсериала "Симпсоны"
Мозг Гомера Симпсона из мультсериала "Симпсоны"

Оказывается, бывает и такое, что без мозгов жить можно. Правда, есть нюансы.

Вот необычная история:

Мужчина обратился в больницу после того, как у него появилась лёгкая слабость в левой ноге. Когда сотрудники «Фойе» изучили его историю болезни, они узнали, что в младенчестве ему в голову вставили шунт для отвода жидкости из головного мозга при гидроцефалии.

Шунт был удалён, когда ему было 14 лет. Но исследователи решили проверить состояние его мозга с помощью компьютерной томографии (КТ) и другого вида сканирования — магнитно-резонансной томографии (МРТ). Они были поражены, увидев «значительное увеличение» боковых желудочков — обычно крошечных полостей, в которых содержится спинномозговая жидкость, защищающая мозг.

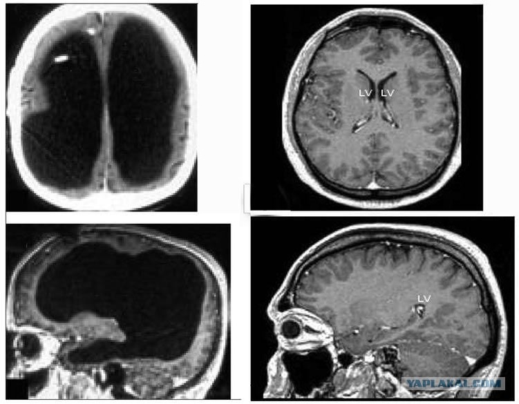
Сканирование мозга мужчины показало, что огромная заполненная жидкостью полость, называемая желудочком, занимала большую часть пространства в его черепе, оставляя лишь тонкий слой мозговой ткани (см. изображение мозга пациента слева вверху).

«Мне сложно [сказать], насколько именно уменьшился мозг, поскольку мы не использовали программное обеспечение для измерения его объёма. Но визуально это более чем 50-75-процентное уменьшение», — говорит Лионель Фейе, невролог из Средиземноморского университета в Марселе, Франция.

Человеку с необычайно маленьким мозгом удаётся жить совершенно нормальной жизнью, несмотря на своё состояние, вызванное скоплением жидкости в черепе. Он работает охранником, женат, у них с женой двое детей.

«Весь мозг был повреждён — лобная, теменная, височная и затылочная доли — как с левой, так и с правой стороны. Эти области контролируют движения, чувствительность, речь, зрение, слух, а также эмоциональные и когнитивные функции», — рассказал Фейе изданию New Scientist.


(На картинке: справа - большое чёрное пятно показывает жидкость, которая заменила большую часть мозга пациента. Для сравнения, на изображениях справа показан обычный мозг без каких-либо отклонений.)

«Весь мозг был повреждён — лобная, теменная, височная и затылочная доли — как с левой, так и с правой стороны. Эти области контролируют движения, чувствительность, речь, зрение, слух, а также эмоциональные и когнитивные функции», — рассказал Фейе изданию New Scientist.

Тесты на интеллект показали, что IQ этого мужчины составляет 75 баллов, что ниже среднего показателя в 100 баллов, но не считается умственной отсталостью или инвалидностью.
(На картинке: справа - большое чёрное пятно показывает жидкость, которая заменила большую часть мозга пациента. Для сравнения, на изображениях справа показан обычный мозг без каких-либо отклонений.) «Весь мозг был повреждён — лобная, теменная, височная и затылочная доли — как с левой, так и с правой стороны. Эти области контролируют движения, чувствительность, речь, зрение, слух, а также эмоциональные и когнитивные функции», — рассказал Фейе изданию New Scientist. Тесты на интеллект показали, что IQ этого мужчины составляет 75 баллов, что ниже среднего показателя в 100 баллов, но не считается умственной отсталостью или инвалидностью.

«Что меня до сих пор поражает, так это то, как мозг может справляться с тем, что, по вашему мнению, несовместимо с жизнью», — комментирует Макс Мюнке, специалист по детским дефектам головного мозга в Национальном институте исследования генома человека в Бетесде, штат Мэриленд, США.

«Если что-то происходит очень медленно в течение довольно долгого времени, возможно, десятилетий, то разные части мозга берут на себя функции, которые обычно выполняет та часть, которая отодвинута в сторону», — добавляет Мюнке, который не участвовал в этом исследовании.

Источник - https://www.newscientist.com/article/dn12301-man-with-tiny-brain-shocks-doctors

💡 Больше полезностей в моём ТГ-канале -
https://t.me/psiholog_skobelkin