Добавить в корзинуПозвонить
Найти в Дзене
Тележенька с костями

Зачем человеку маленькая кость в колене и причём тут прямохождение?

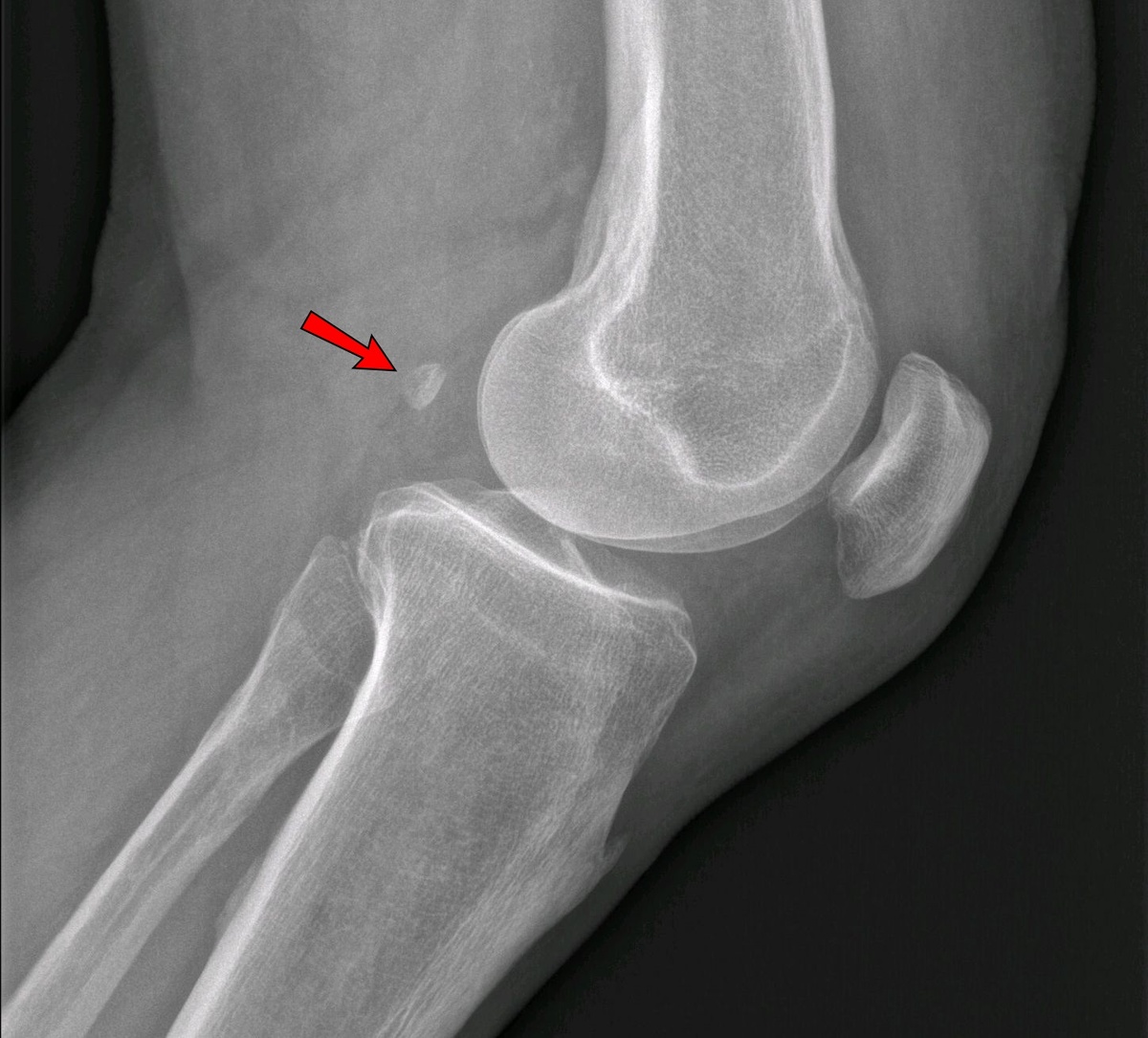
Какая кость похожа на зёрнышко, называется будто итальянская паста, встречается не у всех людей, а ещё, возможно, именно она поспособствовала нашему прямохождению? Это фабелла! Маленькая коленная сесамовидная кость, которая есть у большинства приматов и у 10-30% людей. Кстати, fabella – уменьшительное от faba, что с латинского переводится как «фасоль». Искать фабеллу, как и другие сесамовидные кости, нужно в толще сухожилий, у человека – с задней стороны колена. У приматов она может увеличивать механическую эффективность коленного сустава. А у людей в ходе эволюции фабелла почти исчезла, но в последнюю сотню лет у неё случился камбэк. Одна из версий возвращения фабеллы заключается в питании: люди стали лучше питаться, соответственно, стали выше и тяжелее, нагрузка на колени увеличилась. В ответ на механическое раздражение и для компенсации нагрузки стала появляться и окостеневать фабелла. Встречается фабелла чаще у мужчин, чем у женщин, чаще у пожилых, чем у молодых, а также у людей с

Какая кость похожа на зёрнышко, называется будто итальянская паста, встречается не у всех людей, а ещё, возможно, именно она поспособствовала нашему прямохождению?

Это фабелла! Маленькая коленная сесамовидная кость, которая есть у большинства приматов и у 10-30% людей. Кстати, fabella – уменьшительное от faba, что с латинского переводится как «фасоль».

Искать фабеллу, как и другие сесамовидные кости, нужно в толще сухожилий, у человека – с задней стороны колена. У приматов она может увеличивать механическую эффективность коленного сустава. А у людей в ходе эволюции фабелла почти исчезла, но в последнюю сотню лет у неё случился камбэк.

Одна из версий возвращения фабеллы заключается в питании: люди стали лучше питаться, соответственно, стали выше и тяжелее, нагрузка на колени увеличилась. В ответ на механическое раздражение и для компенсации нагрузки стала появляться и окостеневать фабелла.
-2

Встречается фабелла чаще у мужчин, чем у женщин, чаще у пожилых, чем у молодых, а также у людей с остеоартритом коленного сустава. Эта косточка может вызвать дискомфорт. Есть даже «синдром фабеллы» (заднебоковая боль в колене).

Для какой функции вернулась фабелла – вопрос открытый. Однако исследования этой косточки продолжаются: в новой статье учёные из Королевского колледжа Лондона предположили, что боковая фабелла у предков человека способствовала прямохождению 🧐

Вот такая, казалось бы, незначительная анатомическая деталь, возможно, сыграла свою роль в прямохождении человека.

Поэтому, если болит коленка, быть может, это у вас есть кость, которой нет у других 🦴

•••

Также читайте не менее интересные факты про человеческие зубы: