Найти в Дзене
dr.evatanvi

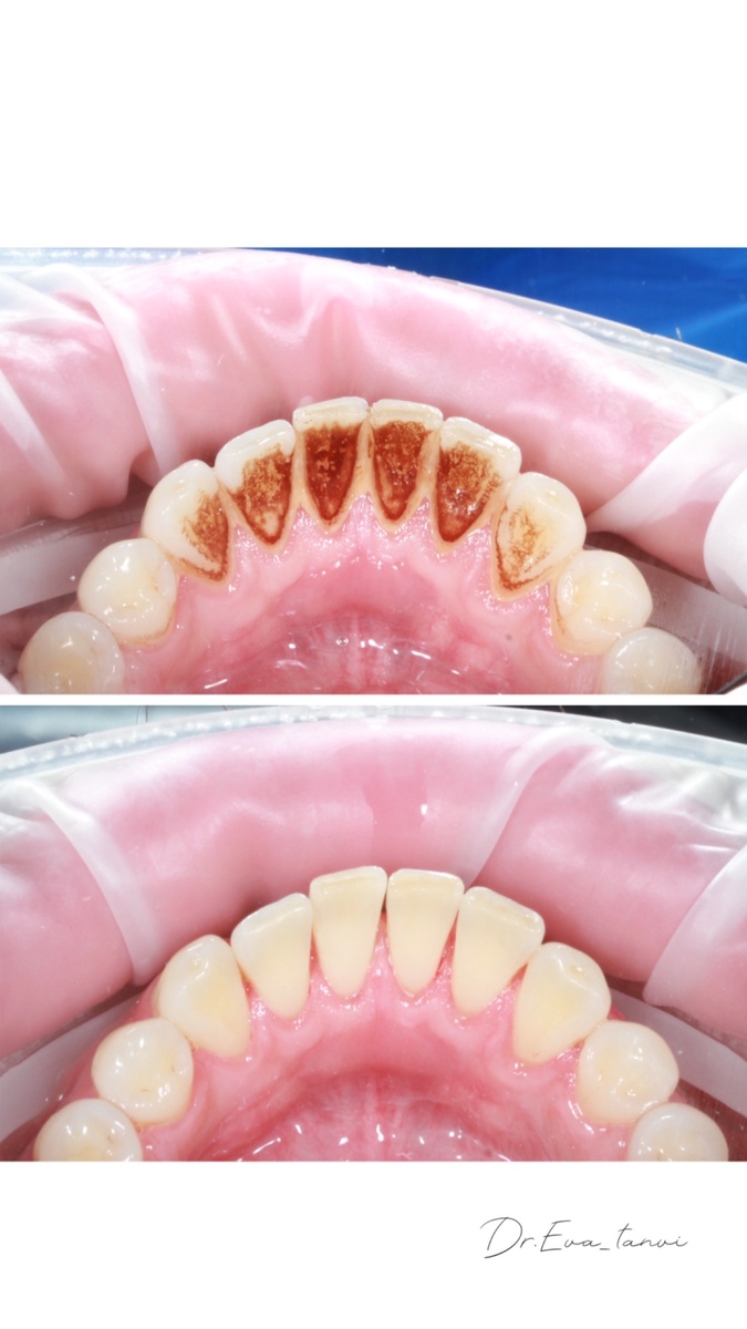
Почему образуется налет на зубах?

Налет на зубах образуется в результате накопления бактерий, остатков пищи и слюны на поверхности зубов. Основные причины его появления: 1. Недостаточная гигиена: Пропуск чистки зубов или нерегулярное использование зубной нити способствует накоплению налета. 2. Еда: Употребление сладостей и кислых продуктов ускоряет размножение бактерий, что приводит к образованию налета. 3. Слюна: Каждый человек имеет уникальный состав слюны, который может способствовать или препятствовать образованию налета. 4. Курение: Табачный дым также способствует образованию налета и discoloration зубов. Регулярная чистка зубов, использование ополаскивателей и посещение стоматолога помогут избежать его образования и сохранить здоровье полости рта. твоя уверенность начинается с улыбки❤️ Телеграмм канал: https://t.me/drEvaTanvi Запись на прием: https://t.me/eva_tanvi

Налет на зубах образуется в результате накопления бактерий, остатков пищи и слюны на поверхности зубов. Основные причины его появления:

1. Недостаточная гигиена: Пропуск чистки зубов или нерегулярное использование зубной нити способствует накоплению налета.

2. Еда: Употребление сладостей и кислых продуктов ускоряет размножение бактерий, что приводит к образованию налета.

3. Слюна: Каждый человек имеет уникальный состав слюны, который может способствовать или препятствовать образованию налета.

4. Курение: Табачный дым также способствует образованию налета и discoloration зубов.

Регулярная чистка зубов, использование ополаскивателей и посещение стоматолога помогут избежать его образования и сохранить здоровье полости рта.

твоя уверенность начинается с улыбки❤️

На первый прием действует скидка -50% 😍

Телеграмм канал:

https://t.me/drEvaTanvi

Запись на прием:

https://t.me/eva_tanvi