Добавить в корзинуПозвонить
Найти в Дзене
Доктор Левин

Разоблачение века — как внешне отличить металлокерамику от циркония🤫

Когда тайна происхождения зубов заметна невооруженным глазом В зоны улыбки выбор коронки из металлокерамики или циркония может оказаться сложным из-за большого количества методов изготовления этих протезов. Каждая методика стремится максимально приблизить внешний вид искусственного зуба к натуральному. Металлокерамические коронки могут уступать циркониевым по ряду причин. Эти недостатки компенсируются более доступной стоимостью по сравнению с циркониевыми коронками. Однако различить металлокерамическую и циркониевую коронки на глаз не всегда легко. Металлокерамические коронки. ➡️Это прочный металлический каркас с покрытием из нескольких слоев керамики. Такая многослойная структура делает коронку толстостенной. Именно поэтому зуб под металлокерамическую коронку сильно обтачивают. В итоге конструкция получается массивной, иногда широкой. Зуб может иметь неестественную толщину, что делает металлокерамические коронки более заметными. Циркониевые коронки ➡️Производят из крайне прочного диок
Оглавление

Когда тайна происхождения зубов заметна невооруженным глазом

Как отличить металлокерамические и циркониевые коронки внешне
Как отличить металлокерамические и циркониевые коронки внешне

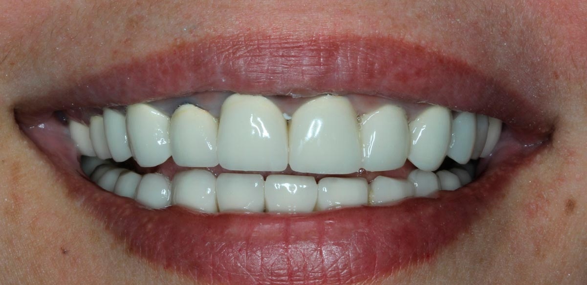
В зоны улыбки выбор коронки из металлокерамики или циркония может оказаться сложным из-за большого количества методов изготовления этих протезов. Каждая методика стремится максимально приблизить внешний вид искусственного зуба к натуральному. Металлокерамические коронки могут уступать циркониевым по ряду причин. Эти недостатки компенсируются более доступной стоимостью по сравнению с циркониевыми коронками. Однако различить металлокерамическую и циркониевую коронки на глаз не всегда легко.

Размер и форма коронок

Металлокерамические коронки.

➡️Это прочный металлический каркас с покрытием из нескольких слоев керамики. Такая многослойная структура делает коронку толстостенной. Именно поэтому зуб под металлокерамическую коронку сильно обтачивают. В итоге конструкция получается массивной, иногда широкой. Зуб может иметь неестественную толщину, что делает металлокерамические коронки более заметными.

Эти металлокерамические коронки выглядят ненатурально, они массивные и широкие
Эти металлокерамические коронки выглядят ненатурально, они массивные и широкие

Циркониевые коронки

➡️Производят из крайне прочного диоксида циркония, который также могут покрывать керамикой. Но циркониевые коронки изначально имеют тонкую стенку, и керамическое покрытие не требует множества слоев, чтобы перекрыть базовый цвет коронки. Зуб обтачивают меньше, протез выглядит легко и естественно, повторяя индивидуальную форму зубов пациента.

Зубы из циркония выглядят максимально естесственно, не отличаются от родных
Зубы из циркония выглядят максимально естесственно, не отличаются от родных

Прозрачность

Металлокерамические коронки

➡️Из-за металлической базы и плотного многослойного керамического покрытия непрозрачны. Лишь режущий край коронки может выглядеть более облегченно благодаря тому, что не содержит металлической основы до самого края зуба.

Светопроницаемость сквозь ☝️металлокерамику и 👉диоксид циркония
Светопроницаемость сквозь ☝️металлокерамику и 👉диоксид циркония

Циркониевые коронки

➡️Имеют высокую степень прозрачности. Они более плотные в зоне десны, но пропускают свет сквозь всю коронку. Поэтому циркониевая коронка хорошо имитирует натуральный зуб.

Цвет

Металлокерамические коронки

➡️Имеют более искусственный вид из-за отсутствия цветового градиента. Цвет керамики может быть практически одинаковым от основания зуба до края.

Воссоздать цветовой переход на металлокерамических коронках возможно, если зубной техник обладает мастерством и художественным талантом
Цвет плотный, градиент малозаметный
Цвет плотный, градиент малозаметный

Циркониевые коронки

➡️Заготовки диоксида циркония имеют более разнообразные оттенки, поэтому коронки могут точно совпадать с цветом окружающих зубов. Благодаря световому переходу от десны до режущего края удается создать естественный цветовой градиент с помощью различных оттенков керамического покрытия.

Мягкий естесственный переход цвета от основания к краю зуба
Мягкий естесственный переход цвета от основания к краю зуба

Флуоресценция

Металлокерамические коронки

➡️Придя в ночной клуб можно неожиданно заметить, что металлокерамические коронки не светятся белым цветом, то есть не обладают флуоресценцией как натуральные зубы. В итоге улыбка может казаться частично или полностью беззубой, зависит от объема протезирования.

Свечение 1-натурального зуба, 2,3,- циркония с напылением и без, 4-металлокерамики
Свечение 1-натурального зуба, 2,3,- циркония с напылением и без, 4-металлокерамики

Циркониевые коронки

➡️Коронки из диоксида циркония обладают свойством флюоресценции, но в разных степенях. Современные напыления для циркониевых коронок содержат флуоресцентные добавки, чтобы скрыть тайну происхождения этих зубов.

По причине того, что длина волны на ультрафиолетовых лампах может отличаться, при одном свечении циркониевые коронки будут такими же белыми как натуральные зубы, а при другом — блеклыми и невзрачными

Изменение десен

Металлокерамические коронки

➡️Основной бич металлокерамических коронок это синюшность десневого края. Сюда относится и рецессия (поднятие) десны с оголением края металлической базы. Все это ухудшает эстетику улыбки и выдает металлокерамические протезы с первого взгляда.

В зоне передних 4 зубов десна имеет синюшный оттенок
В зоне передних 4 зубов десна имеет синюшный оттенок

Циркониевые коронки

➡️Основа коронок из диоксида циркония имеет белый цвет. Даже при рецессии десны эстетика искусственных зубов не нарушается.

🔍Читайте также

1. Коронки на жевательные зубы

2. Коронка или имплантат — что лучше

3. Протезирование верхних и нижних передних зубов

🏥 ЦПС «Доктор Левин»

Задать вопрос ✍️ WhatsApp

Позвонить 📞 +7 (495) 431-91-76

Мы рядом:

📌 Москва, ул. Льва Толстого, 5с1 (Парк Культуры)

📌 Москва, проспект Вернадского, 8А (Университет)

Наука
7 млн интересуются