Добавить в корзинуПозвонить
Найти в Дзене
Эндокринологиум

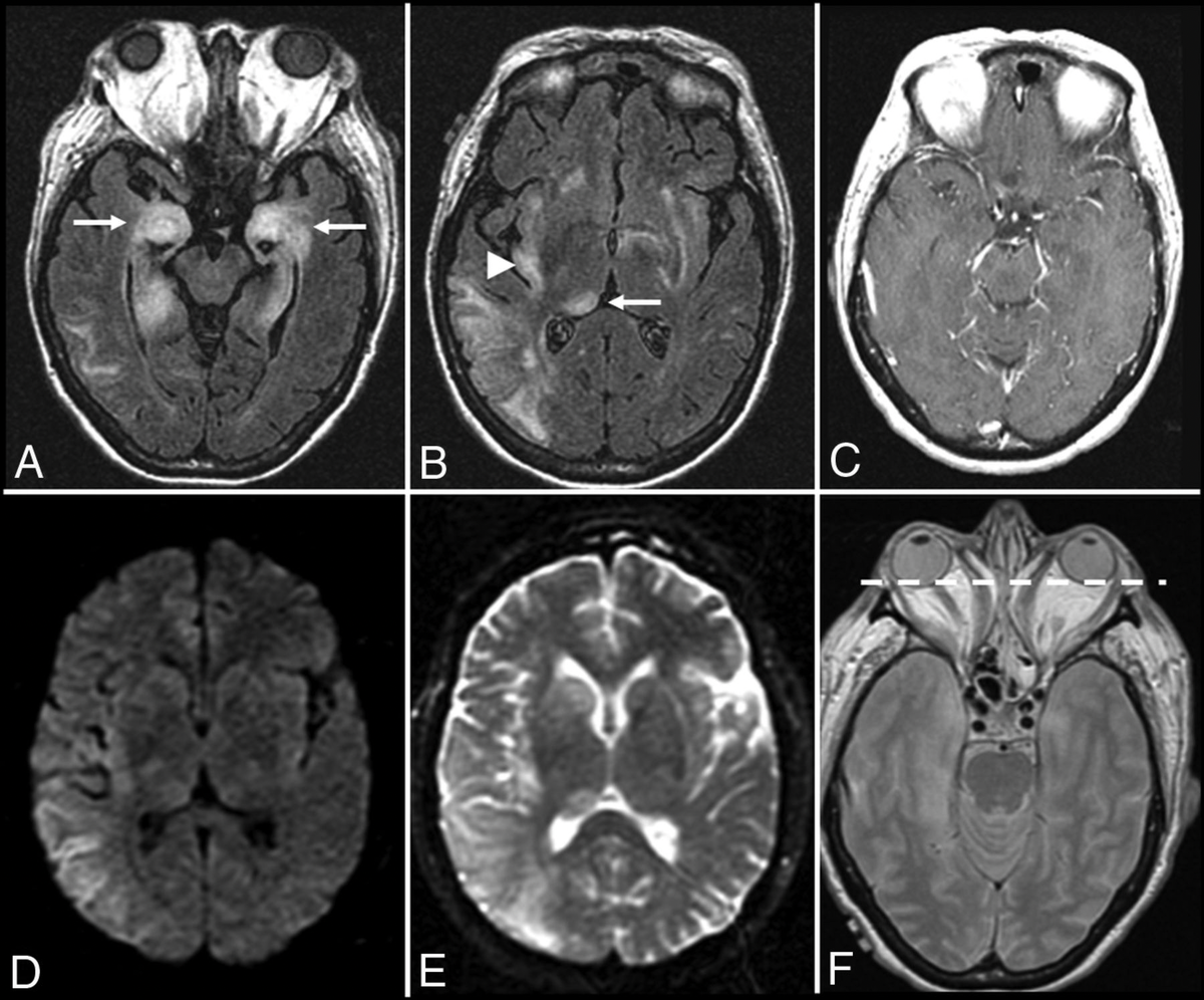
Энцефалопатия Хашимото

Вы наверное уже знаете, что есть такое заболевание - аутоиммунный тиреоидит, а уже вследствие него встречается часто гипотиреоз (сниженная функция щитовидной железы). То есть у человека может быть два заболевания:  Но бывают и гораздо более редкие последствия аутоиммунного тиреоидита. По официальной версии где-то 1-2 случая на 100000 человек. Но на мой взгляд со статистикой все гораздо хуже… Это так называемая энцефалопатия Хашимото. Ее еще иногда называют стероидчувствительной энцефалопатией, связанной с аутоиммунным тиреоидитом (SREAT) или неваскулитный  аутоиммунный менингоэнцефалит (NAIM) или энцефалопатия, связанная с аутоиммунным заболеванием щитовидной железы (EAATD). Заболевание считается редким, неврологическим или даже нейроэндокринным, хотя данных, подтверждающих это пока не представлено. Описан данный синдром впервые в середине 20 века, причем возможно самое раннее описание было в 1949 году: «myxoedematous madness» или микседематозное безумие»! Звучит более чем интригующе

Вы наверное уже знаете, что есть такое заболевание - аутоиммунный тиреоидит, а уже вследствие него встречается часто гипотиреоз (сниженная функция щитовидной железы).

То есть у человека может быть два заболевания: 

  1. Заболевание «причина» - хронический аутоиммунный тиреоидит
  2. Заболевание «»следствие» - первичный гипотиреоз (часто так и пишут: вследствие аутоиммунного тиреоидита».

Но бывают и гораздо более редкие последствия аутоиммунного тиреоидита.

По официальной версии где-то 1-2 случая на 100000 человек. Но на мой взгляд со статистикой все гораздо хуже…

Это так называемая энцефалопатия Хашимото.

Ее еще иногда называют стероидчувствительной энцефалопатией, связанной с аутоиммунным тиреоидитом (SREAT) или неваскулитный  аутоиммунный менингоэнцефалит (NAIM) или энцефалопатия, связанная с аутоиммунным заболеванием щитовидной железы (EAATD).

Заболевание считается редким, неврологическим или даже нейроэндокринным, хотя данных, подтверждающих это пока не представлено.

Описан данный синдром впервые в середине 20 века, причем возможно самое раннее описание было в 1949 году: «myxoedematous madness» или микседематозное безумие»!

Звучит более чем интригующе….

Есть позитивные моменты: хороший эффект при лечении кортикостероидными гормонами (плюс к препарату тироксина при гипотиреозе) на протяжении нескольких лет.

Энцефалопатией называют дистрофическое поражение мозговой ткани распространенного характера в результате воздействия различных факторов – инфекций, интоксикаций, расстройств в обмене веществ. Основная причина развития энцефалопатии – это хроническая гипоксия головного мозга в результате воздействия различных патологических факторов.

Основной лабораторный маркер энцефалопатии Хашимото - антитела к альфа-энолазе (у нас в стране анализ не выполняется) наряду с АТ-ТПО и АТ-ТГ.

Дополнительные лабораторные маркеры:

  • повышение уровня печеночных ферментов: АЛТ, АСТ, ГГТ (55% случаев)
  • повышение уровня тиреотропного гормона (55% случаев)
  • повышение скорости оседания эритроцитов: СОЭ в общем (клиническом) анализе крови (25% случаев)
  • АТ-ТПО и АТ-ТГ в спинномозговой жидкости (в России исследование не выполняется).

Как проявляется эта энцефалопатия Хашимото?

  • изменения личности, которые становятся заметны близкими
  • склонность к агрессивному поведению и общению
  • бредовые мысли и поведение
  • нарушения концентрации внимания и памяти
  • дезориентация в пространстве 
  • головные боли
  • часто подергивания мышц и судороги, тремор, дрожь
  • нарушения координации движений
  • возможен даже паралич и психоз в тяжелых случаях
  • бессонница и трудности засыпания, раннее пробуждение
  • проблемы с речью

Симптомы, как правило, появляются постепенно и наступают в течение нескольких лет.

Соотношение мужчин и женщин среди заболевших: 1:4. 

Средний возраст начала заболевания составляет 44 года, при этом 20% случаев возникают до достижения 18-летнего возраста. Большинство зарегистрированных случаев происходит в течение пятого десятилетия жизни пациента.

Важным моментом является то, что нет корреляции развития энцефалопатии Хашимото с высоким уровнем ТТГ

По данным исследований нарушения гормонального фона щитовидной железы при энцефалопатии (>80% случаев): 

  • субклинический гипотиреоз (35% случаев)
  • явный гипотиреоз (20% случаев)
  • гипертиреоз (5% случаев)
  • эутиреоидизм на фоне приема левотироксина (10% случаев) - т.е. нормальный уровень гормонов в результате лечения.
  • эутиреоидный, не принимающий левотироксин (20% случаев) - т.е. нормальный уровень гормонов у людей, не принимающих тот же л-тироксин.

Профилактика развития энцефалопатии.

Специфических профилактических мер при энцефалопатии к сожалению нет.

Снизить риск позволяет поддержание здорового образа жизни и правильное питание, отказ от вредных привычек, достаточный и полноценный сон, снижение уровня стресса. При занятиях травмоопасными видами спорта (бокс и другие боевые искусства, футбол и хоккей, гонки) нужно тщательно соблюдать меры безопасности или выбрать более спокойные виды физической нагрузки.

Если диагностированы заболевания сердечно-сосудистой системы, сахарный диабет или болезни печени, требуется уделять достаточное внимание их лечению (нормализации артериального давления, уровня глюкозы крови, стабилизации функции печени и почек).

В любом случае гипотиреоз при аутоиммунном тиреоидите требует компенсации (использования препаратов тироксина в случае необходимости).

https://www.ajnr.org/content/38/6/1070?ijkey=f1b602adce673f24116fe740e0aa77d8b01e453c&keytype2=tf_ipsecsha
https://www.ajnr.org/content/38/6/1070?ijkey=f1b602adce673f24116fe740e0aa77d8b01e453c&keytype2=tf_ipsecsha