Добавить в корзинуПозвонить
Найти в Дзене
АиФ Удмуртия

Опухоль, объёмом 189 куб. см., удалили из головы жительницы Удмуртии

Опухоль, объёмом 189 кубических сантиметров, удалили из головы жительницы региона, сообщает Минздрав Удмуртии. В ижевскую городскую клиническую больницу № 7 обратилась 60-летняя женщина с жалобами на головные боли и потерю памяти. Во время обследования у неё обнаружили гигантскую опухоль, которая занимала почти 14% объёма полости черепа. «Тревогу забили её коллеги, когда женщина стала ошибаться в документах и перестала справляться со своими рабочими обязанностями, изменился характер, она перестала ухаживать за собой. Родственники отправили её на обследование, где была выявлена опухоль мозга – менингиома больших размеров. Было принято решение о проведении операции, которая длилась более 5 часов», – сказал врач-нейрохирург Ольга Мурашова. Новообразование удаляли нейрохирурги ГКБ № 7 Владимир Пашкин и Ольга Мурашова. Врачам удалось полностью удалить опухоль, сейчас женщина находится в стабильном состоянии и восстанавливается. Напомним, ранее врачам удалось удалить огромную раковую опухоль
   Опухоль, объёмом 189 куб. см., удалили из головы жительницы Удмуртии
Опухоль, объёмом 189 куб. см., удалили из головы жительницы Удмуртии

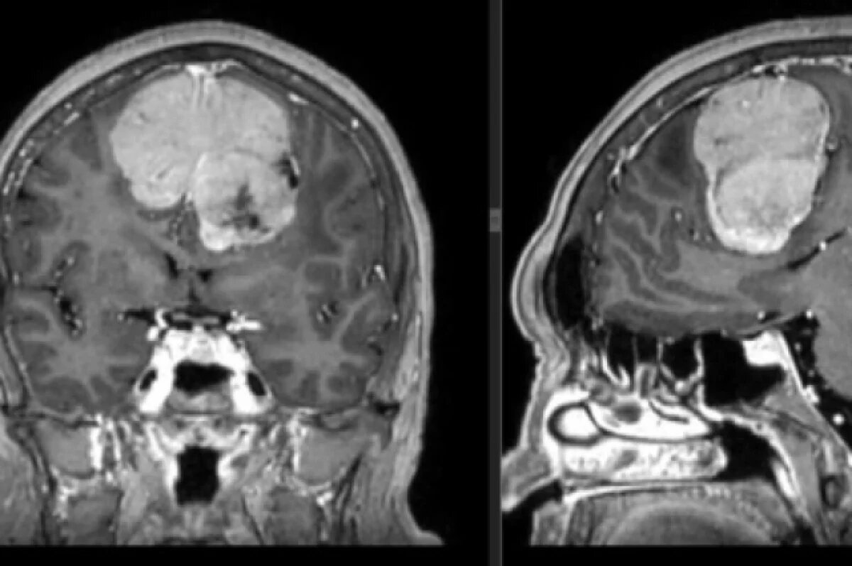
Опухоль, объёмом 189 кубических сантиметров, удалили из головы жительницы региона, сообщает Минздрав Удмуртии.

В ижевскую городскую клиническую больницу № 7 обратилась 60-летняя женщина с жалобами на головные боли и потерю памяти. Во время обследования у неё обнаружили гигантскую опухоль, которая занимала почти 14% объёма полости черепа.

«Тревогу забили её коллеги, когда женщина стала ошибаться в документах и перестала справляться со своими рабочими обязанностями, изменился характер, она перестала ухаживать за собой. Родственники отправили её на обследование, где была выявлена опухоль мозга – менингиома больших размеров. Было принято решение о проведении операции, которая длилась более 5 часов», – сказал врач-нейрохирург Ольга Мурашова.

Новообразование удаляли нейрохирурги ГКБ № 7 Владимир Пашкин и Ольга Мурашова. Врачам удалось полностью удалить опухоль, сейчас женщина находится в стабильном состоянии и восстанавливается.

Напомним, ранее врачам удалось удалить огромную раковую опухоль из кишечника жителя Воткинска.