Добавить в корзинуПозвонить
Найти в Дзене
NewsWeekly | Новости

Новые подходы к лечению остеопороза: сочетание гидрогелей и лекарств

Учёные исследовали, как можно эффективнее бороться с остеопорозом, используя сочетание местных и системных методов лечения. Они провели эксперимент на лабораторных крысах, чтобы выяснить, как работают специальные гидрогели с наночастицами и лекарствами в сочетании с классическими препаратами для укрепления костей.
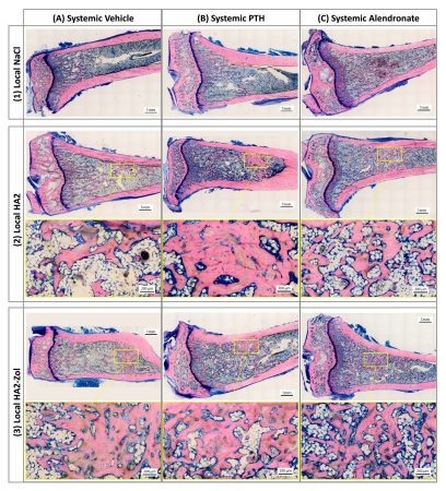
В эксперименте участвовали 36 крыс, которым удалили яичники — это привело к развитию остеопороза, то есть ускоренному разрушению костной ткани. Животных разделили на три группы, каждая из которых получала разную системную терапию. Первая группа (контрольная) получала только физиологический раствор, вторая группа — препарат алендронат (ALN), который замедляет разрушение костей, и третья группа — паратиреоидный гормон (PTH), который помогает формировать новую костную ткань. Через неделю после начала лечения крысам в каждой из трех групп ввели в кости один из трёх составов: обычный гидрогель с наночастицами гидроксиапатита (HA2), тот же гидрогель, но с добавлением золендроновой

Учёные исследовали, как можно эффективнее бороться с остеопорозом, используя сочетание местных и системных методов лечения.

Они провели эксперимент на лабораторных крысах, чтобы выяснить, как работают специальные гидрогели с наночастицами и лекарствами в сочетании с классическими препаратами для укрепления костей.
В эксперименте участвовали 36 крыс, которым удалили яичники — это привело к развитию остеопороза, то есть ускоренному разрушению костной ткани.

Животных разделили на три группы, каждая из которых получала разную системную терапию. Первая группа (контрольная) получала только физиологический раствор, вторая группа — препарат алендронат (ALN), который замедляет разрушение костей, и третья группа — паратиреоидный гормон (PTH), который помогает формировать новую костную ткань.

Через неделю после начала лечения крысам в каждой из трех групп ввели в кости один из трёх составов: обычный гидрогель с наночастицами гидроксиапатита (HA2), тот же гидрогель, но с добавлением золендроновой кислоты (HA2-ZOL) и физиологический раствор (для контроля).

На протяжении 8 недель исследователи наблюдали за изменениями структуры костей с помощью микрокомпьютерной томографии и дополнительно изучали ткани под микроскопом.

Результаты показали, что гидрогели помогли увеличить долю костной ткани. В контрольной группе (без лекарств) введение HA2 или HA2-ZOL увеличивало костный объём в 2,5–3,4 раза уже в первые 2 недели. Но к концу эксперимента часть новой ткани снова разрушалась. Золендроновая кислота в составе HA2-ZOL замедлила этот процесс, и костный объём увеличился в 4,8 раза, особенно если одновременно использовался PTH.

Когда же крысам вводили ALN, добавление HA2-ZOL не давало дополнительных преимуществ. Это объясняется тем, что оба препарата действуют схожим образом и блокируют разрушение костей.

Как гидрогели влияют на кости?

Сканирование показало, что новые костные образования появлялись только в зоне введения гидрогеля. В первые недели после инъекции в трабекулярной (губчатой) части костей появлялись плотные «островки» минералов. Со временем эти зоны превращались в зрелую костную ткань, а клетки-остеокласты помогали перерабатывать их в естественную структуру кости.

Как работали системные препараты?

Алендронат (ALN) показал наилучший эффект в предотвращении потери костной массы: он снизил разрушение на 76% по сравнению с контрольной группой. Паратиреоидный гормон (PTH), хотя и стимулирует рост новой кости, оказался менее эффективен, уменьшив потери всего на 57%. Исследователи объясняют это тем, что в данной модели остеопороз развивается очень быстро, и в таких условиях важнее замедлить разрушение кости, чем наращивать новую ткань.

Учёные утверждают, что открытие может помочь разработать новые стратегии лечения остеопороза, особенно у пациентов с высоким риском переломов. Использование локальных препаратов может стать перспективным методом повышения плотности кости именно в тех местах, где риск перелома наиболее высок.