Добавить в корзинуПозвонить
Найти в Дзене

Отбеливание зубов в Твери

Отбеливание зубов — это популярная стоматологическая процедура, направленная на улучшение цвета зубной эмали. Со временем зубы могут темнеть или желтеть под воздействием различных факторов, таких как употребление кофе, чая, красного вина, табака или естественные возрастные изменения. Отбеливание зубов помогает вернуть улыбке белизну и сияние, что существенно улучшает внешний вид и уверенность в себе. В каких ситуациях стоит записаться на стоматологическую услугу: В стоматологии «Династия Н» мы предлагаем несколько методов отбеливания зубов, которые подбираются индивидуально в зависимости от состояния ваших зубов и ваших пожеланий: 2. Химическое отбеливание — более длительный, потребуется 2-3 сеанса отбеливания у стоматолога, но также очень действенный метод, который сделает ваши зубы белее. При химическом отбеливании активация геля происходит за счет смешивания с химическим катализатором и не требуется применение внешнего катализатора, такого как лазер. 3. Домашнее профессиональное отб
Оглавление

Отбеливание зубов — это популярная стоматологическая процедура, направленная на улучшение цвета зубной эмали. Со временем зубы могут темнеть или желтеть под воздействием различных факторов, таких как употребление кофе, чая, красного вина, табака или естественные возрастные изменения. Отбеливание зубов помогает вернуть улыбке белизну и сияние, что существенно улучшает внешний вид и уверенность в себе.

Проблемы, которые может решить отбеливание зубов

  1. Эстетика.
    Белые зубы считаются признаком здоровья и привлекательности. Процедура отбеливания позволяет добиться яркой, естественной улыбки, устраняя пятна и потемнения на зубной эмали.
  2. Уверенность в себе.
    Люди с белыми зубами чувствуют себя увереннее в общении. Отбеливание помогает улучшить самооценку и делает улыбку более открытой и приятной.

Показания к отбеливанию

В каких ситуациях стоит записаться на стоматологическую услугу:

  • Желание пациента сделать улыбку ярче, светлее.
  • Возрастные изменения — эмаль стала темнее.

Противопоказания

  • Некариозные повреждения – заболевание, связанное с недоразвитием тканей. Чаще всего поражает зубную эмаль, а в тяжелых случаях – дентин.
  • Гиперплазия – избыточное образование зубной ткани. Клинически никак не проявляется, то есть не беспокоит пациента.
  • Флюороз – заболевание, развивающееся при длительном употреблении воды или продуктов питания с высоким содержанием соединений фтора. Проявляется в виде пятен и дефектов на зубной эмали разного цвета и формы.
  • Повышенная чувствительность.
  • Травмы зубов.
  • Наследственные нарушения.
  • Медикаментозные нарушения.
  • Патологическая стираемость зубов.
  • Эрозия эмали.
  • Клиновидный дефект.

Технологии отбеливания зубов

В стоматологии «Династия Н» мы предлагаем несколько методов отбеливания зубов, которые подбираются индивидуально в зависимости от состояния ваших зубов и ваших пожеланий:

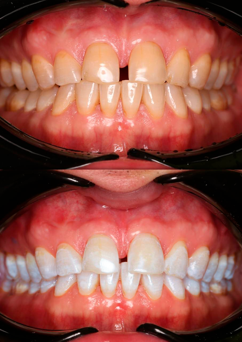
  1. Лазерное отбеливание быстрый и безопасный способ, который позволит за 1 сеанс осветлить зубы на несколько тонов. Во время лазерного осветления зубов отбеливающий гель активируется лазерными лучами.
Результат лазерного отбеливания стоматолога- терапевта клиники "Династия Н" Ольги Игоревны Конченковой
Результат лазерного отбеливания стоматолога- терапевта клиники "Династия Н" Ольги Игоревны Конченковой

2. Химическое отбеливание — более длительный, потребуется 2-3 сеанса отбеливания у стоматолога, но также очень действенный метод, который сделает ваши зубы белее. При химическом отбеливании активация геля происходит за счет смешивания с химическим катализатором и не требуется применение внешнего катализатора, такого как лазер.

3. Домашнее профессиональное отбеливание в индивидуальных капах под наблюдением стоматолога . Результат такого метода накопительный, поэтому для белоснежной улыбки потребуется носить капы курсами, согласно рекомендациям врача. Домашнее профессиональное отбеливание — это один из самых безопасных методов. Оно осуществляется только после консультации и выбора оптимальной концентрации отбеливающего агента. Используя низкие концентрации, процесс требует применения в виде курса, что делает этот способ более щадящим, например, при флюорозе или повышенной чувствительности зубов. Кроме того, данный метод позволяет самостоятельно контролировать степень достижения результата и часто применяется для поддержания или улучшения результатов, достигнутых в клинических условиях.

Система лазерного отбеливания Doctor Smile в нашей клнике
Система лазерного отбеливания Doctor Smile в нашей клнике

Этапы осветления зубов с помощью методики Opalescence

Opalescence — это одна из популярных и эффективных систем отбеливания зубов, которая обеспечивает заметные результаты и безопасна для эмали.

Системы отбеливания зубов Opalescence одна из самых популярных в нашей клинике. Фото: Яднекс.Картинки
Системы отбеливания зубов Opalescence одна из самых популярных в нашей клинике. Фото: Яднекс.Картинки

1. Консультация и оценка состояния зубов

Перед началом процедуры вам предстоит пройти консультацию у стоматолога. Специалист проведет полное обследование ваших зубов и десен, определит их состояние и установит наличие кариеса или других проблем для безопасного отбеливания и достижения наилучших результатов.

2. Выбор отбеливающего геля

В системе Opalescence есть гели с различной концентрацией перекиси водорода, которые позволяют достичь разных уровней отбеливания в зависимости от ваших целей и чувствительности зубов.

3. Создание изоляции и нанесение геля

Для защиты тканей десен и слизистой оболочки во время процедуры используется специальный барьер для избежания нежелательного контакта отбеливающего геля с деснами, минимизируя риск раздражения. Далее стоматолог наносит на зубы отбеливающий гель Opalescence и равномерно распределяет по поверхности зубов. Время воздействия может варьироваться в зависимости от используемого геля и необходимой концентрацией действующего вещества и желаемого эффекта.

4. Снятие геля и оценка результата

По истечении необходимого времени стоматолог аккуратно снимает гель с зубов и оценивает достигнутый результат. При необходимости процедура может быть повторена для достижения более светлого оттенка.

Стоматология «Династия Н» приглашает вас на профессиональное отбеливание зубов в Твери.

Хотите ли вы быстро получить результат в клинике или предпочитаете постепенное преображение улыбки дома с использованием кап, мы предоставим вам лучший сервис. Доверьтесь профессионалам «Династии Н» и насладитесь красотой и здоровьем вашей улыбки!