Найти в Дзене

УКОРАЧИВАЕМ… ПАЛЕЦ

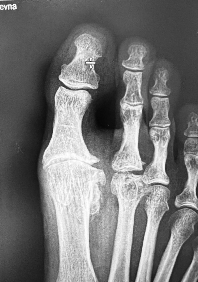
Не удивляйтесь - мы регулярно делаем такую процедуру. Когда люди слышат эту фразу, первая мысль - речь идёт о кончике пальца, который безжалостно «yдaляют». На самом деле никто ничего не удаляет. Вопрос не столько в длине пальца, сколько в длине так называемого «первого луча» - это две фаланги большого пальца и первая плюсневая кость. Избыточно длинной чаще всего является именно первая плюсневая кость. Речь идёт о миллиметрах, буквально 5-7 миллиметров, но они в истории с длинными пальцами имеют принципиальное значение. Дело в том, что анатомически и биомеханически длина костей стоп должна иметь определённые пропорции. Отклонение от этих параметров практически всегда влечёт за собой ортопедические последствия. Если показать вот эту рентгенограмму рентгенологу, он с удовольствием опишет признаки артроза первого плюснефалангового сустава, разрушение головки второй плюсневой кости, дополнительную тень в области наружной сесамовидной кости. Может быть, даже угол между первой и второй плю

Не удивляйтесь - мы регулярно делаем такую процедуру. Когда люди слышат эту фразу, первая мысль - речь идёт о кончике пальца, который безжалостно «yдaляют».

На самом деле никто ничего не удаляет. Вопрос не столько в длине пальца, сколько в длине так называемого «первого луча» - это две фаланги большого пальца и первая плюсневая кость. Избыточно длинной чаще всего является именно первая плюсневая кость. Речь идёт о миллиметрах, буквально 5-7 миллиметров, но они в истории с длинными пальцами имеют принципиальное значение.

Дело в том, что анатомически и биомеханически длина костей стоп должна иметь определённые пропорции. Отклонение от этих параметров практически всегда влечёт за собой ортопедические последствия.

-2

Если показать вот эту рентгенограмму рентгенологу, он с удовольствием опишет признаки артроза первого плюснефалангового сустава, разрушение головки второй плюсневой кости, дополнительную тень в области наружной сесамовидной кости. Может быть, даже угол между первой и второй плюсневыми костями посчитает. Но - голову даю на отсечение - в описании рентгенограммы не будет ни слова об избыточной длине первой плюсневой кости. А она очевидна. Дальше покажу, где это.

Чем же чревата такая особенность? Как ни странно - артрозом сустава большого пальца стопы. Это тот редкий случай, когда кость растёт быстрее мягких тканей, в итоге сухожилия мышц сгибателей и разгибателей большого пальца (4 штуки!!!), очень мощные, тянут, как вожжи, за палец, и прижимают его суставную поверхность, покрытую хрящом, в сторону головки плюсневой кости - тоже покрытой хрящом.

Это избыточное давление неизбежно ведёт к сдавлению хряща, выдавливанию его из сустава.

Усугубляет ситуацию давление на кончик пальца в обуви. Больше того, при ходьбе босиком и в мягкой обуви перекат стопы происходит через головку самой длинной кости, в данном случае - первой.

В результате имеем следующее:

-3

Это вид стопы сбоку. Стрелками показаны остеофиты на тыле сустава большого пальца стопы. Это тот самый хрящ, который выдавило из сустава, но сейчас он уже пропитался кальцием и окостенел. Как результат - минимальные и болезненные движения в суставе.

-4

На фото первый палец не кажется уж очень длинным, но на самом деле (если его еще и распрямить) лишнего здесь много. Справа стопа сразу после операции - почувствуйте разницу.

-5

А вот так это выглядит на рентгене. Нижняя желтая черта показывает длину первой плюсневой кости. Вся кость над чертой (слева) - лишняя (в смысле длины). Справа та же кость уже укорочена до нормы. Верхняя желтая черта показывает одновременно уменьшившуюся длину большого пальца. Даже несмотря на исправление и формы пальца, и длины первого луча.

-6

И вот результат (как мог нарезал из видео с движениями, само виде вставить невозможно, к сожалению).

За счёт уменьшения длины плюсневой кости уменьшается натяжение мягких тканей, после удаления остеофитов пропадает механическое препятствие для движений, в итоге мы получаем нормальные движения без боли. И никакой эндопротез не нужен!

Пользуясь случаем, расскажу историю про длинные пальцы. Однажды, очень давно, когда я еще только начинал заниматься проблемами стоп, пришла ко мне очень, очень высокая пациентка. Не поверите - в шляпке, вуали, перчатках!! Крупная такая. Проблема - слишком большие стопы. И дело даже не в обуви было. Говорит, мужчины, когда видят мои стопы, пугаются, и уходят (или даже убегают, не помню точно). Всплакнула….

Я тоже расчувствовался, жалко стало. Такая большая женщина, и так сложно жить, наверное, тут еще эти стопы. Надо помочь. Смотрю рентген, прикидываю, где, что и на сколько можно укоротить без вреда здоровью. Получилось около трёх сантиметров. С учётом исходного 47-го негусто.

Тем не менее, посетительницу это вполне устроило, распрощались на позитиве, ушла планировать дату операции.

Месяца через три звонит мне коллега, спрашивает, помню ли я пациентку Д., которая хотела укоротить стопы. Оказалось, что по каким-то соображениям она пошла на операцию к коллеге. Так вот доктор загадочным голосом спрашивает, не заподозрил ли я чего необычного? Я не заподозрил. Так меня размер впечатлил, да вуаль со шляпкой. Опуская подробности: дама оказалась вообще не дамой, а совсем наоборот 🤷🏽‍♂️ Коллега мой добрейший, хоть и раскусил подлог, в операции не отказал, и прооперировал-таки одну стопу. К сожалению, получилось не три сантиметра, а меньше, что вывело пациента из себя настолько, что по палате одновременно летали тумбочки, подушки, медсёстры, стойки с капельницами… чудом никто не пострадал, благо, быстро прибежала охрана. Было и продолжение, но это совсем другая история )