Найти в Дзене
Parodoctor

Рецессия десны - когда стоит присмотреться к прикусу. Элайнеры и результат за 11 месяцев

Как можно понять, что с прикусом что-то неладное творится? Да, хотя бы, по оголённым корням зубов. Если они показались из десны, но межзубные сосочки в норме - это явный признак перегрузки тканей пародонта. Ну или вы являетесь сторонником карательной домашней гигиены и яростно натираете всё то, что под руку попалось, жёсткой щёткой да с абразивной (отбеливающей, к примеру) зубной пастой. Но тогда бы мы наблюдали ещё и следы от механического повреждения эмали . Зубы наклонены коронковыми частями вперёд (к срединной линии). И "закручены" в сторону полости рта: При таком наклоне корни со щёчной стороны стремятся к оголению. Что, собственно, произошло с пациенткой. Перед ортодонтической коррекцией была выполнена небоьшая пластика рецессий туннельным методом (но это всё индивидуально). Получилось добиться уменьшения глубины рецессий (фото на тапочек): Но для того, что бы рецессии снова не возникли, нужно было менять "фундамент" - перестраивать прикус на правильный лад. Как инструмент был
Оглавление

Как можно понять, что с прикусом что-то неладное творится?

Да, хотя бы, по оголённым корням зубов. Если они показались из десны, но межзубные сосочки в норме - это явный признак перегрузки тканей пародонта.

Ну или вы являетесь сторонником карательной домашней гигиены и яростно натираете всё то, что под руку попалось, жёсткой щёткой да с абразивной (отбеливающей, к примеру) зубной пастой. Но тогда бы мы наблюдали ещё и следы от механического повреждения эмали .

Ангуляция зубов - мезиодистальный наклон

Зубы наклонены коронковыми частями вперёд (к срединной линии).

-2

И "закручены" в сторону полости рта:

Рецессии десны
Рецессии десны

При таком наклоне корни со щёчной стороны стремятся к оголению. Что, собственно, произошло с пациенткой.

Перед ортодонтической коррекцией была выполнена небоьшая пластика рецессий туннельным методом (но это всё индивидуально). Получилось добиться уменьшения глубины рецессий (фото на тапочек):

После пластики рецессий (единички не трогали, работали с зубами 4, 5, 6 - верх)
После пластики рецессий (единички не трогали, работали с зубами 4, 5, 6 - верх)

Но для того, что бы рецессии снова не возникли, нужно было менять "фундамент" - перестраивать прикус на правильный лад.

Ортодонтическая коррекция прикуса для предотвращения развития рецессий десны - элайнеры

Как инструмент были выбраны элайнеры - система прозрачных кап, которые пациентке нужно менять раз в 14 дней (шаг).

Выполнили следующие исследования перед разработкой плана лечения:

  1. КЛКТ с суставами в прикусу (рот закрыт);
  2. цифровое сканирование челюстей;
  3. фотопротокол.

С данным набором доктор дистанционно обращается к техникам, работающим от фирмы - производителя элайнеров. Совместными усилиями, путём глубокой проработки данных, составляется так называемый МУЛЬТИК - видео, показывающее движение зубов каждого конкретного пациента. Посмотреть мультик можно в моём ТГ канале:

Parodoctor

После просмотра пациент может высказать свои пожелания по эстетике и проект будет доработан под запрос. По функции не может, это прерогатива доктора. Если всё ок - оплата элайнеров и запуск их в печать.

Обычно, коррекция прикуса занимает 1.5 - 2 года. Но тут управились меньше, чем за год.

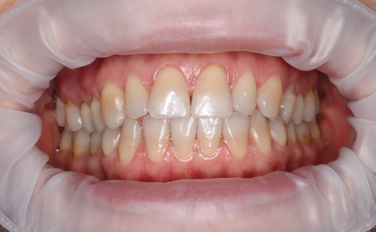
Вот фотографии конечного результата после снятия аттачментов и установки ретейнеров (а будут ещё и капы ночного ношения - первый год пациент спит в них):

Мне уже не раз под статьями о коррекции прикуса на элайнерах писали, что недоделка и работа халтурная - дескать, зуюбы-то в боках не смыкаются. Но это лишь свидетельствует об отсутствии у комментатора знаний по теме (или опыта работы с конструкциями):

элайнер - капа, имеющая ТОЛЩИНУ, а капы аж 2. Вот на толщину двух поверхностей смыкания не будет в первое время после прекращения ношения аппаратуры. Вскоре, зубы обязательно сомкнутся.
-7

И, казалось бы, не ради эстетики всё затевалось. Однако, в коллаже можно наблюдать, что улыбка придала лицу бОльшую гармонию:

Исправление прикуса на элайнерах
Исправление прикуса на элайнерах

Вывод

Если не выявлены воспалительные заболевания пародонта (пародонтит), а корни оголяются - обратите внимание на прикус, отправляйтесь к ортодонту. Скорее всего, именно в сторону патологии прикуса стоит "копать" (туда же и клиновидные дефекты).

Только исправление фундамента поможет удержать стены в целости и сохранности. Симптоматическое шаманство не во благо.

Больше ортодонтии в подборке:

Ортодонтические варианты | Parodoctor | Дзен

С уважением, Лежачёва Наталия Александровна, хирург-пародонтолог и главный врач стоматологии Parodent, СПБ.